Suppr超能文献

胆管癌发生的超声预测因素:来自一个地方病流行区的队列研究。

Sonographic Predictors for Developing Cholangiocarcinoma: A Cohort Study from an Endemic Area.

作者信息

Thanakijsombat Natcha, Soonklang Kamonwan, Hiranrat Pantajaree, Limpisook Poemporn, Siripongsakun Surachate

机构信息

Sonographer School, Faculty of Health Science Technology, Chulabhorn Royal Academy, Bangkok, Thailand.

Department of Emergency Medicine, Police General Hospital, Bangkok, Thailand.

出版信息

Asian Pac J Cancer Prev. 2024 Dec 1;25(12):4229-4236. doi: 10.31557/APJCP.2024.25.12.4229.

Abstract

BACKGROUND AND AIM

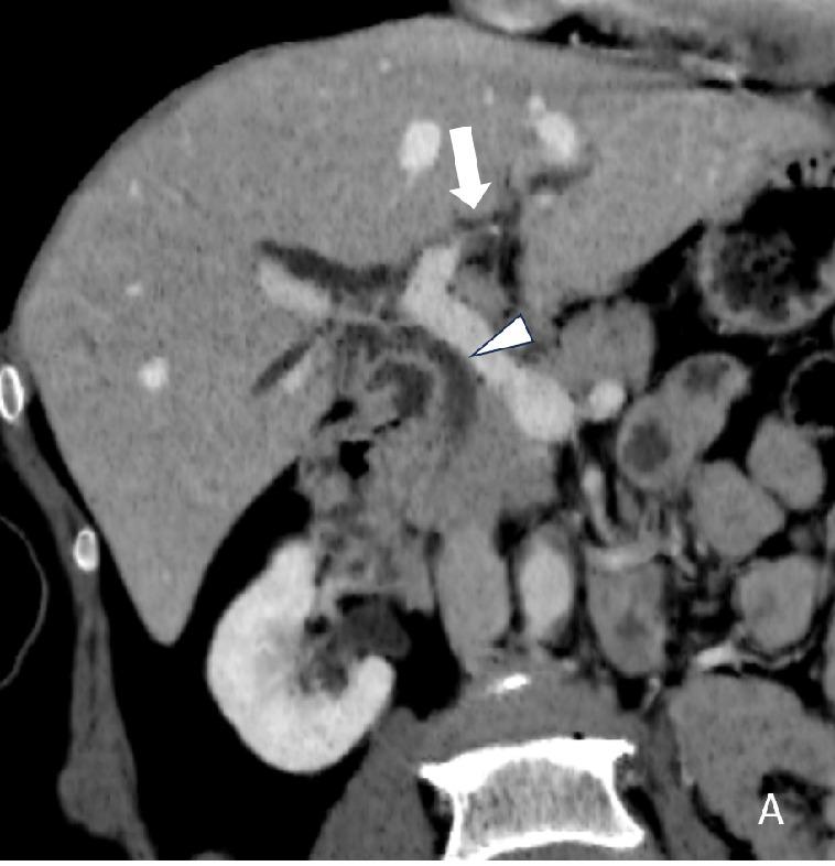
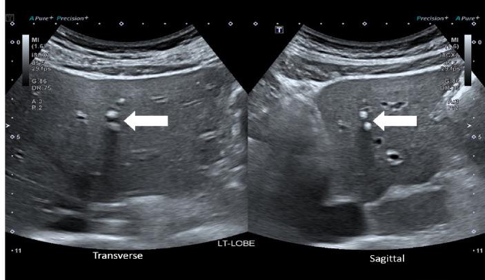
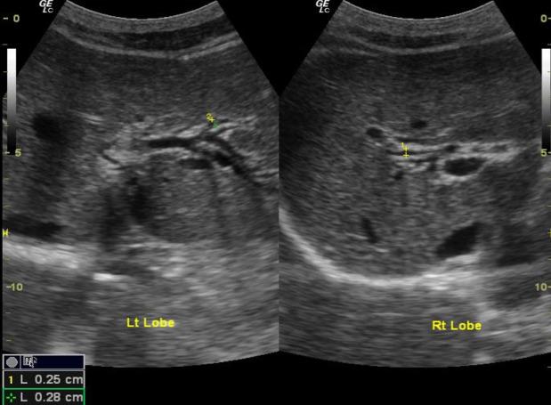
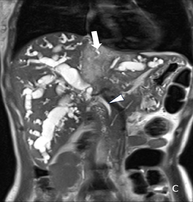
Cholangiocarcinoma (CCA) is an aggressive malignancy with a poor prognosis. Bile duct and peribiliary changes related to CCA may present on ultrasound (US) findings. This study aims to evaluate US findings that could be used as predictors for developing CCA through our surveillance program in an endemic area of Thailand.

METHODS

The study population was 4,337 villagers in Northern Thailand with a 5-year abdominal US surveillance. Patient demographics data and ultrasound findings of calcifications/granulomas, periductal fibrosis, and diffuse bile duct dilatation were included. A logistic regression model was used to determine significant predictors.

RESULTS

There were 4,225 people included with an average age of 45.49±7.66 years. Prevalence of calcifications/granulomas, periductal fibrosis, and diffuse bile duct dilatation detected on baseline sonographic surveillance was 11.7%, 20.5%, and 11.3%, respectively. The univariate analysis for significant predictors for CCA include age (Relative Risk; RR = 1.12), family history of CCA (RR = 2.29), periductal fibrosis (RR=2.38), and diffuse bile duct dilatation  (RR = 7.59). The multivariate analysis the independent predictors were age (RR = 1.12), family history of CCA (RR = 1.92), and diffuse bile duct dilatation (RR = 5.94), respectively.

CONCLUSIONS

The sonographic predictor for CCA surveillance in endemic areas is diffuse bile duct dilatation.  Age and family history of CCA are also helpful clinical markers.

摘要

背景与目的

胆管癌(CCA)是一种侵袭性恶性肿瘤,预后较差。与CCA相关的胆管及胆管周围改变可能在超声(US)检查结果中呈现。本研究旨在评估在泰国一个地方病流行区通过我们的监测项目可作为CCA发生预测指标的超声检查结果。

方法

研究人群为泰国北部4337名村民,进行了为期5年的腹部超声监测。纳入患者人口统计学数据以及钙化/肉芽肿、导管周围纤维化和弥漫性胆管扩张的超声检查结果。采用逻辑回归模型确定显著预测指标。

结果

共纳入4225人,平均年龄45.49±7.66岁。基线超声监测发现的钙化/肉芽肿、导管周围纤维化和弥漫性胆管扩张的患病率分别为11.7%、20.5%和11.3%。CCA显著预测指标的单因素分析包括年龄(相对风险;RR = 1.12)、CCA家族史(RR = 2.29)、导管周围纤维化(RR = 2.38)和弥漫性胆管扩张(RR = 7.59)。多因素分析中独立预测指标分别为年龄(RR = 1.12)、CCA家族史(RR = 1.92)和弥漫性胆管扩张(RR = 5.94)。

结论

地方病流行区CCA监测的超声预测指标是弥漫性胆管扩张。年龄和CCA家族史也是有用的临床标志物。

https://cdn.ncbi.nlm.nih.gov/pmc/blobs/fae9/12008351/451d0c15c72b/APJCP-25-4229-g001.jpg

文献AI研究员

20分钟写一篇综述,助力文献阅读效率提升50倍。

立即体验

用中文搜PubMed

大模型驱动的PubMed中文搜索引擎

马上搜索

文档翻译

学术文献翻译模型,支持多种主流文档格式。

立即体验