Suppr超能文献

一名服用替尔泊肽减肥的年轻男性发生广泛性深静脉血栓形成。

Extensive Deep Vein Thrombosis in a Young Man Taking Tirzepatide for Weight Loss.

作者信息

Farooqi Mohammed Fareeduddin, Mehmood Muhammad Arshad, Khan Maria, Salman Hafiz Muhammad, Agha Adnan

机构信息

Department of Internal Medicine, Tawam Hospital, Al Ain, United Arab Emirates.

Pharmacy Department, Tawam Hospital, Al Ain, United Arab Emirates.

出版信息

AACE Clin Case Rep. 2024 Sep 5;10(6):261-263. doi: 10.1016/j.aace.2024.08.011. eCollection 2024 Nov-Dec.

Abstract

BACKGROUND/OBJECTIVE: Obesity and rapid weight loss are risk factors for developing deep vein thromboses (DVTs). Our aims were to present a patient who developed extensive DVT after relatively rapid and severe weight loss that followed taking tirzepatide and to raise the awareness among health care professionals regarding the risk of DVT that can be associated with significant weight loss due to these agents.

CASE REPORT

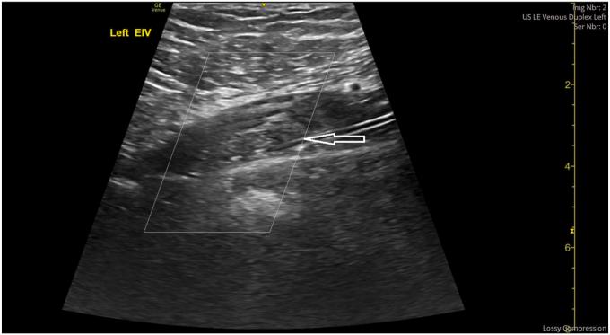
We present the case of a 20-year-old young man, with raised body mass index of >35 kg/m, who was initiated on tirzepatide treatment for weight loss, with 12-kg weight lost over 6 weeks. The patient did not have any risk factors for thrombophilia including family history, any recent travel, immobilization, recent infections, or recent surgeries. He presented with left leg swelling, and physical examination revealed signs of proximal DVT, and ultrasound Doppler and computed tomography venography confirmed extensive left-sided DVT with complete obstruction of the common femoral and iliac veins. He underwent mechanical thrombectomy and was maintained on anticoagulation therapy. His investigations for thrombophilia screening excluded any other cause for DVT, with the etiology attributed to possibly rapid weight loss.

DISCUSSION

Newer and potent glucagon-like peptide 1 receptor agonists like tirzepatide are commonly used nowadays to induce weight loss in obese patients.

CONCLUSION

Adequate risk assessments and close monitoring should be performed in patients initiating glucagon-like peptide 1 receptor agonists, particularly if they have risk factors for developing venous thromboembolism.

摘要

背景/目的:肥胖和快速减重是发生深静脉血栓形成(DVT)的危险因素。我们的目的是介绍一名患者,该患者在服用替尔泊肽后体重相对快速且严重下降,随后发生了广泛的DVT,并提高医疗保健专业人员对这些药物导致的因显著体重减轻而可能引发DVT风险的认识。

病例报告

我们报告一例20岁青年男性病例,其体重指数升高>35kg/m²,开始接受替尔泊肽治疗以减轻体重,6周内体重减轻12kg。该患者没有任何血栓形成倾向的危险因素,包括家族史、近期旅行、制动、近期感染或近期手术史。他出现左腿肿胀,体格检查发现近端DVT体征,超声多普勒和计算机断层静脉造影证实左侧广泛DVT,股总静脉和髂静脉完全阻塞。他接受了机械血栓切除术,并维持抗凝治疗。他的血栓形成倾向筛查排除了DVT的任何其他原因,病因可能归因于体重快速下降。

讨论

如今,新型强效胰高血糖素样肽1受体激动剂如替尔泊肽常用于诱导肥胖患者减重。

结论

对于开始使用胰高血糖素样肽1受体激动剂的患者,应进行充分的风险评估和密切监测,特别是如果他们有发生静脉血栓栓塞的危险因素。

https://cdn.ncbi.nlm.nih.gov/pmc/blobs/0004/11680757/cee84052291c/gr1.jpg

文献AI研究员

20分钟写一篇综述,助力文献阅读效率提升50倍。

立即体验

用中文搜PubMed

大模型驱动的PubMed中文搜索引擎

马上搜索

文档翻译

学术文献翻译模型,支持多种主流文档格式。

立即体验