Suppr超能文献

在未成熟坏死犬牙血管再生过程中,以注射用透明质酸水凝胶或含血凝块的胶原蛋白为支架对其再生潜力进行组织学评估。

Histological evaluation of the regenerative potential of injectable hyaluronic acid hydrogel or collagen with blood clot as scaffolds during revascularization of immature necrotic dog's teeth.

作者信息

Abdelsalam Mohamed S, Elgendy Abeer A, Abu-Seida Ashraf M, Abdelaziz Tarek M, Issa Mohamed H, El-Haddad Khaled E

机构信息

Department of Endodontics, Faculty of Dentistry, Ain Shams University, Cairo, Egypt.

Department of Surgery, Anesthesiology & Radiology, Faculty of Veterinary Medicine, Cairo University, Giza, Egypt.

出版信息

Open Vet J. 2024 Nov;14(11):3004-3016. doi: 10.5455/OVJ.2024.v14.i11.29. Epub 2024 Nov 30.

Abstract

BACKGROUND

Regenerative endodontics' primary objective is to establish a favorable environment in the root canal by removing infection, providing a sturdy scaffold, and sealing the apical end of the tooth tightly. These actions should promote pulp regeneration and root development.

AIM

This study evaluated histologically the regenerative potential of injectable hyaluronic acid (HA) hydrogel or collagen with blood clot as scaffolds during revascularization of immature necrotic dog's teeth.

METHODS

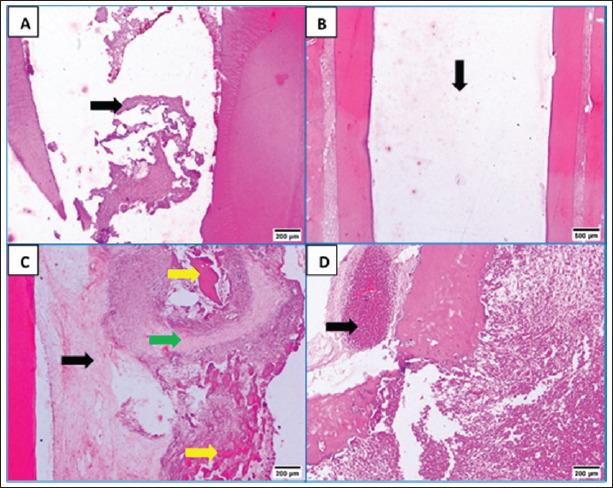
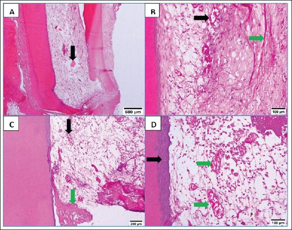
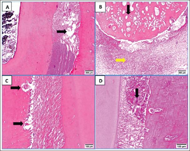
Sixteen permanent immature necrotic premolars with 32 roots were chosen from two 4-5-month-old mongrel dogs. Out of the 32 roots, 24 roots were sealed for 2 weeks after being cleaned with CaOH. According to the treatment protocol, the 24 cleaned roots were randomly assigned to one of three treatment groups (each with 8 roots): blood clot + HA group, blood clot + collagen group, and blood clot group. The control group consisted of the eight infected roots that remained untreated. Three months after the surgery, the assessment of tissue ingrowth in the pulp cavity took into account the kind of cellular components, the intercellular matrix, angiogenesis, and the occurrence of any hard tissue formation. The pulp's capacity for regeneration was described descriptively, taking into account the type of regenerated tissue, the root's apical closure, and any potential periodontal and periapical histological alterations. Semi-quantitative analysis was used to assess the degree of pulp tissue regeneration. Tukey's post hoc test was used after a two-way ANOVA for statistical analysis of all the data.

RESULTS

When comparing the treated groups to the control group, a significant increase in tissue ingrowth and a significant decrease in the periapical inflammatory reaction were noted ( < 0.05). It's interesting to note that blood clot + HA group's inflammatory cell count was significantly greater ( < 0.05) than that of the other treatment groups. Furthermore, blood clot + collagen group and blood clot group did not differ significantly in inflammatory cell count from one another. Tissue ingrowth did not differ significantly ( > 0.05) amongst treated groups.

CONCLUSION

The tissue regeneration of the immature necrotic teeth is improved by revascularization, whether or not it is combined with HA or collagen scaffolds. After revascularization, using HA as a scaffold is less efficient in reducing the inflammation than collagen.

摘要

背景

再生牙髓治疗的主要目标是通过清除感染、提供坚固的支架以及紧密封闭牙齿根尖端,在根管内建立一个有利的环境。这些措施应促进牙髓再生和牙根发育。

目的

本研究通过组织学评估可注射透明质酸(HA)水凝胶或胶原蛋白与血凝块作为支架在未成熟坏死犬牙血管再生过程中的再生潜力。

方法

从两只4 - 5月龄的杂种犬中选取16颗有32个牙根的恒牙未成熟坏死前磨牙。在32个牙根中,24个牙根用CaOH清洗后封闭2周。根据治疗方案,将这24个清洗后的牙根随机分为三个治疗组之一(每组8个牙根):血凝块+HA组、血凝块+胶原蛋白组和血凝块组。对照组由8个未治疗的感染牙根组成。手术后三个月,对牙髓腔内组织长入的评估考虑了细胞成分的种类、细胞间基质、血管生成以及任何硬组织形成的发生情况。描述性地描述了牙髓的再生能力,考虑了再生组织的类型、牙根的根尖封闭情况以及任何潜在的牙周和根尖组织学改变。采用半定量分析评估牙髓组织再生程度。对所有数据进行双向方差分析后,使用Tukey事后检验进行统计分析。

结果

与对照组相比,治疗组的组织长入显著增加,根尖炎症反应显著降低(<0.05)。有趣的是,血凝块+HA组的炎症细胞计数显著高于其他治疗组(<0.05)。此外,血凝块+胶原蛋白组和血凝块组的炎症细胞计数彼此之间无显著差异。治疗组之间的组织长入无显著差异(>0.05)。

结论

无论是否与HA或胶原蛋白支架联合,血管再生均可改善未成熟坏死牙的组织再生。血管再生后,使用HA作为支架在减轻炎症方面比胶原蛋白效率低。

https://cdn.ncbi.nlm.nih.gov/pmc/blobs/6d93/11682749/e96157532e57/OpenVetJ-14-3004-g001.jpg

文献AI研究员

20分钟写一篇综述,助力文献阅读效率提升50倍。

立即体验

用中文搜PubMed

大模型驱动的PubMed中文搜索引擎

马上搜索

文档翻译

学术文献翻译模型,支持多种主流文档格式。

立即体验