Suppr超能文献

去铁胺(DFO)预处理的猫脂肪间充质干细胞的安全性和有效性的临床前评估

Preclinical Assessment of Safety and Efficacy of Deferoxamine (DFO)-pretreated Feline Adipose Mesenchymal Stem Cells.

作者信息

Teng Hailong, Cho Minkyung, Ma Zhiqiang, Ji Xinpeng, Jin Shiyu, Zhou Yuze, Xuan Meifu, Seong Hyun-A, Li Xiangzi, Choi Seong-Ho, Li Qiang

机构信息

Department of Veterinary Medicine, Yanbian University, Yanji, P.R. China.

Engineering Research Center of North-East Cold Region Beef Cattle Science & Technology Innovation, Ministry of Education, Yanbian University, Yanji, P.R. China.

出版信息

In Vivo. 2025 Jan-Feb;39(1):267-279. doi: 10.21873/invivo.13825.

Abstract

BACKGROUND/AIM: This study aimed to investigate the safety and efficacy of deferoxamine (DFO) pretreated feline adipose tissue derived mesenchymal stem cells (fATMSCs) for the treatment of inflammatory disorders.

MATERIALS AND METHODS

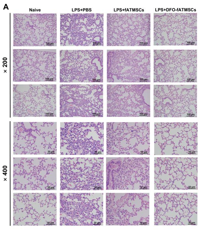
fATMSCs were isolated from feline adipose tissue and characterized using flow cytometry for surface marker expression and differentiation assays for adipogenic, osteogenic, and chondrogenic lineages. Different concentrations of DFO were used to evaluate its impact on fATMSC activity. The therapeutic potential of these preconditioned cells was validated using a mouse model of acute lung injury (ALI) by LPS injection. Comprehensive evaluations, including clinical, hematological, and radiological assessments, were conducted before and after intravenous injection of preconditioned cells in three feline subjects.

RESULTS

25 μM DFO pretreatment significantly up-regulated immunomodulatory genes (Tgfb, Hgf, and Tsg-6) in fATMSCs. In the mouse ALI model, DFO-pretreated fATMSCs exhibited enhanced anti-inflammatory effects, reducing inflammatory cytokines (Tnfa, Il1b, Il6). Clinical safety assessment in felines showed no immediate adverse effects, structural alterations, or tumorigenesis.

CONCLUSION

Utilizing a mouse model of acute lung injury, we demonstrated the potential of DFO-pretreated fATMSCs as a safe and effective therapeutic approach for inflammatory disorders.

摘要

背景/目的:本研究旨在探讨去铁胺(DFO)预处理的猫脂肪组织来源间充质干细胞(fATMSCs)治疗炎症性疾病的安全性和有效性。

材料与方法

从猫脂肪组织中分离fATMSCs,并通过流式细胞术检测表面标志物表达以及进行脂肪生成、成骨和成软骨谱系的分化试验来对其进行表征。使用不同浓度的DFO来评估其对fATMSC活性的影响。通过注射脂多糖建立急性肺损伤(ALI)小鼠模型,验证这些预处理细胞的治疗潜力。在三只猫科动物静脉注射预处理细胞前后,进行了包括临床、血液学和放射学评估在内的综合评价。

结果

25 μM DFO预处理显著上调了fATMSCs中的免疫调节基因(Tgfb、Hgf和Tsg-6)。在小鼠ALI模型中,DFO预处理的fATMSCs表现出增强的抗炎作用,减少了炎性细胞因子(Tnfa、Il1b、Il6)。猫的临床安全性评估显示没有立即出现不良反应、结构改变或肿瘤发生。

结论

利用急性肺损伤小鼠模型,我们证明了DFO预处理的fATMSCs作为炎症性疾病安全有效治疗方法的潜力。

https://cdn.ncbi.nlm.nih.gov/pmc/blobs/9ae3/11705137/ffe3e00977c2/in_vivo-39-270-g0001.jpg

文献AI研究员

20分钟写一篇综述,助力文献阅读效率提升50倍。

立即体验

用中文搜PubMed

大模型驱动的PubMed中文搜索引擎

马上搜索

文档翻译

学术文献翻译模型,支持多种主流文档格式。

立即体验