Suppr超能文献

供体MHC特异性胸腺疫苗接种可实现免疫相容性同种异体移植。

Donor MHC-specific thymus vaccination allows for immunocompatible allotransplantation.

作者信息

Liu Yang, Feng Hexi, Li Ke, Li Ruiyi, Zhang Xiao-Jie, Tian Ye, Fang Yujiang, Zhou Yanjie, Liu Ling, Zhang Xiaoqing

机构信息

Translational Medical Center for Stem Cell Therapy, Shanghai East Hospital, School of Medicine, Tongji University, Shanghai, China.

Translational Research Institute of Brain and Brain-Like Intelligence, Shanghai Fourth People's Hospital, School of Medicine, Tongji University, Shanghai, China.

出版信息

Cell Res. 2025 Feb;35(2):132-144. doi: 10.1038/s41422-024-01049-5. Epub 2025 Jan 3.

Abstract

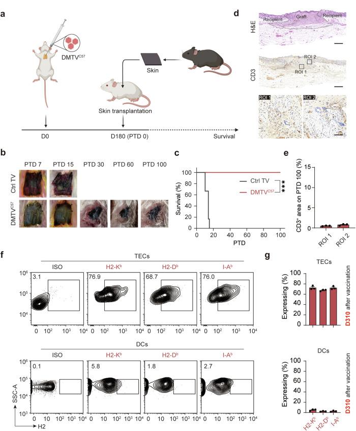
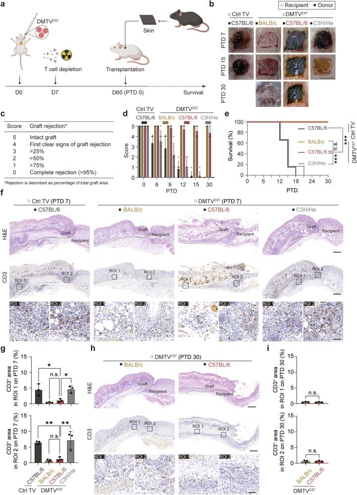
Organ transplantation is the last-resort option to treat organ failure. However, less than 10% of patients benefit from this only option due to lack of major histocompatibility complex (MHC)-matched donor organs and 25%-80% of donated organs could not find MHC-matched recipients. T cell allorecognition is the principal mechanism for allogeneic graft rejection. We herein present a "donor MHC-specific thymus vaccination" (DMTV) strategy to induce T cell tolerance to both autologous and allogeneic donor MHC. Allogeneic MHC molecules were expressed in the recipient thymus through adeno-associated virus-mediated delivery, which led to stable expression of allogeneic MHC together with the autologous MHC in the engineered thymus. During local T cell education, those T cells recognizing either autologous MHC or allogeneic MHC were equally depleted. We constructed C57BL/6-MHC and BALB/c-MHC dual immunocompatible mice via thymus vaccination of C57BL/6-MHC into the BALB/c thymus and observed long-term graft tolerance after transplantation of C57BL/6 skin and C57BL/6 mouse embryonic stem cells into the vaccinated BALB/c mice. We also validated our DMTV strategy in a bone marrow, liver, thymus (BLT)-humanized mouse model for immunocompatible allotransplantation of human embryonic stem cells. Our study suggests that the DMTV strategy is a potent avenue to introduce a donor compatible immune system in recipients, which overcomes the clinical dilemma of the extreme shortage of MHC-matched donor organs for treating patients with end-stage organ failure.

摘要

器官移植是治疗器官衰竭的最后手段。然而,由于缺乏主要组织相容性复合体(MHC)匹配的供体器官,只有不到10%的患者能从这一唯一选择中获益,并且25%-80%的捐赠器官找不到MHC匹配的受者。T细胞同种异体识别是同种异体移植排斥的主要机制。我们在此提出一种“供体MHC特异性胸腺疫苗接种”(DMTV)策略,以诱导T细胞对自体和同种异体供体MHC产生耐受性。通过腺相关病毒介导的递送,将同种异体MHC分子表达于受体胸腺中,这导致在工程化胸腺中同种异体MHC与自体MHC一起稳定表达。在局部T细胞教育过程中,那些识别自体MHC或同种异体MHC的T细胞被同等消耗。我们通过将C57BL/6-MHC胸腺接种到BALB/c胸腺中构建了C57BL/6-MHC和BALB/c-MHC双免疫相容性小鼠,并观察到将C57BL/6皮肤和C57BL/6小鼠胚胎干细胞移植到接种疫苗的BALB/c小鼠后出现长期移植耐受性。我们还在用于人胚胎干细胞免疫相容性同种异体移植的骨髓、肝脏、胸腺(BLT)人源化小鼠模型中验证了我们的DMTV策略。我们的研究表明,DMTV策略是在受体中引入供体相容性免疫系统的有效途径,它克服了治疗终末期器官衰竭患者时MHC匹配供体器官极度短缺的临床困境。

https://cdn.ncbi.nlm.nih.gov/pmc/blobs/d666/11770082/3059bb2e74b1/41422_2024_1049_Fig1_HTML.jpg

文献AI研究员

20分钟写一篇综述,助力文献阅读效率提升50倍。

立即体验

用中文搜PubMed

大模型驱动的PubMed中文搜索引擎

马上搜索

文档翻译

学术文献翻译模型,支持多种主流文档格式。

立即体验