Suppr超能文献

基于多参数磁共振成像的脑白质病变自动分割:卷积神经网络与视觉Transformer的比较

Automatic segmentation of white matter lesions on multi-parametric MRI: convolutional neural network versus vision transformer.

作者信息

Chen Yun-Ting, Huang Yan-Cheng, Chen Hsiu-Ling, Lo Hsin-Chih, Chen Pei-Chin, Yu Chiun-Chieh, Tu Yi-Chin, Liu Tyng-Luh, Lin Wei-Che

机构信息

Department of Diagnostic Radiology, Kaohsiung Chang Gung Memorial Hospital, Chang Gung University College of Medicine, No. 123 Ta-Pei Road, Niao-Sung Dist, Kaohsiung City, 83305, Taiwan.

Taiwan AI Labs, 6F., No. 70, Sec. 1, Chengde Rd., Datong Dist, 103622, Taipei City, Taiwan.

出版信息

BMC Neurol. 2025 Jan 3;25(1):5. doi: 10.1186/s12883-024-04010-6.

Abstract

BACKGROUND AND PURPOSE

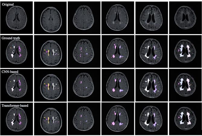
White matter hyperintensities in brain MRI are key indicators of various neurological conditions, and their accurate segmentation is essential for assessing disease progression. This study aims to evaluate the performance of a 3D convolutional neural network and a 3D Transformer-based model for white matter hyperintensities segmentation, focusing on their efficacy with limited datasets and similar computational resources.

MATERIALS AND METHODS

We implemented a convolution-based model (3D ResNet-50 U-Net with spatial and channel squeeze & excitation) and a Transformer-based model (3D Swin Transformer with a convolutional stem). The models were evaluated on two clinical datasets from Kaohsiung Chang Gung Memorial Hospital and National Center for High-Performance Computing. Four metrics were used for evaluation: Dice similarity coefficient, lesion segmentation, lesion F1-Score, and lesion sensitivity.

RESULTS

The Transformer-based model, with appropriate adjustments, outperformed the well-established convolution-based model in foreground Dice similarity coefficient, lesion F1-Score, and sensitivity, demonstrating robust segmentation accuracy. DRLoc enhanced the Transformer's performance, achieving comparable results on internal and benchmark datasets despite limited data availability.

CONCLUSION

With comparable computational overhead, a Transformer-based model can surpass a well-established convolution-based model in white matter hyperintensities segmentation on small datasets by capturing global context effectively, making them suitable for clinical applications where computational resources are constrained.

摘要

背景与目的

脑磁共振成像中的白质高信号是多种神经系统疾病的关键指标,其准确分割对于评估疾病进展至关重要。本研究旨在评估基于3D卷积神经网络和基于3D Transformer的模型在白质高信号分割方面的性能,重点关注它们在有限数据集和类似计算资源下的有效性。

材料与方法

我们实现了一个基于卷积的模型(带有空间和通道挤压与激励的3D ResNet - 50 U - Net)和一个基于Transformer的模型(带有卷积主干的3D Swin Transformer)。这些模型在来自高雄长庚纪念医院和国家高性能计算中心的两个临床数据集上进行了评估。使用了四个指标进行评估:骰子相似系数、病变分割、病变F1分数和病变敏感性。

结果

经过适当调整的基于Transformer的模型在前景骰子相似系数、病变F1分数和敏感性方面优于成熟的基于卷积的模型,展示出强大的分割准确性。DRLoc增强了Transformer的性能,尽管数据可用性有限,但在内部和基准数据集上取得了可比的结果。

结论

在计算开销相当的情况下,基于Transformer的模型通过有效捕捉全局上下文,在小数据集的白质高信号分割中可以超越成熟的基于卷积的模型,使其适用于计算资源受限的临床应用。

https://cdn.ncbi.nlm.nih.gov/pmc/blobs/79a2/11697725/98134cb5e94c/12883_2024_4010_Fig1_HTML.jpg

文献AI研究员

20分钟写一篇综述,助力文献阅读效率提升50倍。

立即体验

用中文搜PubMed

大模型驱动的PubMed中文搜索引擎

马上搜索

文档翻译

学术文献翻译模型,支持多种主流文档格式。

立即体验