Suppr超能文献

用于生物活性壳聚糖绿色生产的新型低温活性几丁质脱乙酰酶的特性研究

Characterization of novel cold-active chitin deacetylase for green production of bioactive chitosan.

作者信息

Abd El-Ghany Mohamed N, Hamdi Salwa A, Zahran Ahmed K, Abou-Taleb Mustafa A, Heikel Abdallah M, Abou El-Kheir Muhammed T, Farahat Mohamed G

机构信息

Botany and Microbiology Department, Faculty of Science, Cairo University, Giza, 12613, Egypt.

Zoology Department, Faculty of Science, Cairo University, Giza, 12613, Egypt.

出版信息

AMB Express. 2025 Jan 4;15(1):5. doi: 10.1186/s13568-024-01804-2.

Abstract

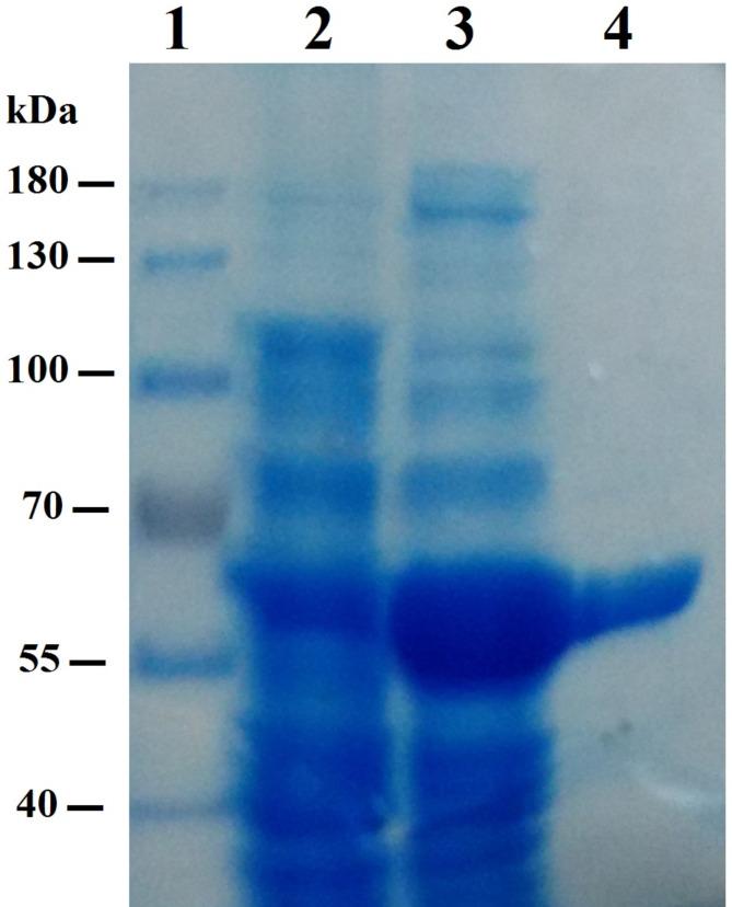
A Novel cold-active chitin deacetylase from Shewanella psychrophila WP2 (SpsCDA) was overexpressed in Escherichia coli BL21 and employed for deacetylation of chitin to chitosan. The produced chitosan was characterized, and its antifungal activity was investigated against Fusarium oxysporum. The purified recombinant SpsCDA appeared as a single band on SDS-PAGE at approximately 60 kDa, and its specific activity was 92 U/mg. The optimum temperature and pH of SpsCDA were 15 °C and 8.0, respectively, and the enzyme activity was significantly enhanced in the presence of NaCl. The bioconversion of chitin to chitosan by SpsCDA was accomplished in 72 h, and the chitosan yield was 69.2%. The solubility of chitosan was estimated to be 73.4%, and the degree of deacetylation was 78.1%. The estimated molecular weight of the produced chitosan was 224.7 ± 8.4 kDa with a crystallinity index (CrI) value of 18.75. Moreover, FTIR and XRD spectra revealed the characteristic peaks for enzymatically produced chitosan compared with standard chitosan, indicating their structural similarity. The produced chitosan inhibited spore germination of F. oxysporum with a minimum inhibitory concentration (MIC) of 1.56 mg/mL. The potential antifungal effect of chitosan is attributed to the inhibition of spore germination accompanied by ultrastructural damage of membranes and leakage of cellular components, as evidenced by transmission electron microscopy (TEM), and accumulation of reactive oxygen species (ROS) that was confirmed by fluorescence microscopy. This study shed light on the cold-active chitin deacetylase from S. psychrophila and provides a candidate enzyme for the green preparation of chitosan.

摘要

从嗜冷希瓦氏菌WP2中分离出一种新型的低温活性几丁质脱乙酰酶(SpsCDA),并在大肠杆菌BL21中进行了过表达,用于将几丁质脱乙酰化为壳聚糖。对制备的壳聚糖进行了表征,并研究了其对尖孢镰刀菌的抗真菌活性。纯化后的重组SpsCDA在SDS-PAGE上呈现出一条约60 kDa的单一蛋白条带,其比活性为92 U/mg。SpsCDA的最适温度和pH分别为15 °C和8.0,在NaCl存在下酶活性显著增强。SpsCDA将几丁质生物转化为壳聚糖的过程在72小时内完成,壳聚糖产率为69.2%。壳聚糖的溶解度估计为73.4%,脱乙酰度为78.1%。所制备壳聚糖的估计分子量为224.7±8.4 kDa,结晶度指数(CrI)值为18.75。此外,傅里叶变换红外光谱(FTIR)和X射线衍射(XRD)光谱显示,与标准壳聚糖相比,酶法制备的壳聚糖具有特征峰,表明它们的结构相似。所制备的壳聚糖对尖孢镰刀菌的孢子萌发具有抑制作用,最低抑菌浓度(MIC)为1.56 mg/mL。壳聚糖的潜在抗真菌作用归因于抑制孢子萌发,同时伴有细胞膜超微结构损伤和细胞成分泄漏,这通过透射电子显微镜(TEM)得到证实,以及活性氧(ROS)的积累,这通过荧光显微镜得到证实。本研究揭示了嗜冷希瓦氏菌中的低温活性几丁质脱乙酰酶,并为壳聚糖的绿色制备提供了一种候选酶。

https://cdn.ncbi.nlm.nih.gov/pmc/blobs/9315/11700076/5748a45cacb2/13568_2024_1804_Fig1_HTML.jpg

文献AI研究员

20分钟写一篇综述,助力文献阅读效率提升50倍。

立即体验

用中文搜PubMed

大模型驱动的PubMed中文搜索引擎

马上搜索

文档翻译

学术文献翻译模型,支持多种主流文档格式。

立即体验