Suppr超能文献

关于在感染期间所遇到的温度下生物膜的生长和形成的研究。

Investigations into the growth and formation of biofilm by at temperatures encountered during infection.

作者信息

Ribeiro Priscyla Dos Santos, Stasko Judith, Shircliff Adrienne, Fernandes Luis Guilherme, Putz Ellie J, Andreasen Claire, Azevedo Vasco, Ristow Paula, Nally Jarlath E

机构信息

Federal University of Minas Gerais, Belo Horizonte, Brazil.

Federal University of Bahia, National Institute of Science and Technology in Interdisciplinary and Transdisciplinary Studies in Ecology and Evolution, Salvador, Brazil.

出版信息

Biofilm. 2024 Dec 10;9:100243. doi: 10.1016/j.bioflm.2024.100243. eCollection 2025 Jun.

Abstract

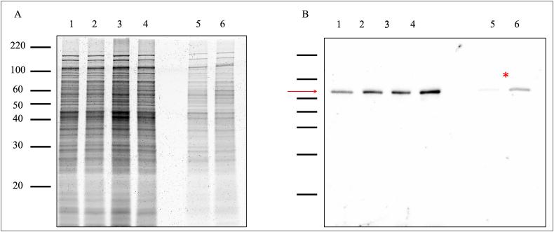
The genus comprises unique atypical spirochete bacteria that includes the etiological agent of leptospirosis, a globally important zoonosis. Biofilms are microecosystems composed of microorganisms embedded in a self-produced matrix that offers protection against hostile factors. Leptospires form biofilms in rice fields and unsanitary urban areas, and while colonizing rodent kidneys. The complex three-dimensional biofilm matrix includes secreted polymeric substances such as proteins, extracellular DNA (eDNA), and saccharides. The genus comprises pathogenic and saprophytic species with the saprophytic being commonly used as a model organism for the genus. In this study, the growth and formation of biofilms by was investigated not just at 29 °C, but at 37 °C/5 % CO, a temperature similar to that encountered during host infection. Planktonic free-living grow in HAN media at both 29 °C and 37 °C/5 % CO but cells grown at 37 °C/5 % CO are longer (18.52 μm ± 3.39) compared to those at 29 °C (13.93 μm ± 2.84). Biofilms formed at 37 °C/5 % CO had more biomass compared to 29 °C, as determined by crystal violet staining. Confocal microscopy determined that the protein content within the biofilm matrix was more prominent than double-stranded DNA, and featured a distinct layer attached to the solid substrate. Additionally, the model enabled effective protein extraction for proteomic comparison across different biofilm phenotypes. Results highlight an important role for proteins in biofilm matrix structure by leptospires and the identification of their specific protein components holds promise for strategies to mitigate biofilm formation.

摘要

该属包含独特的非典型螺旋体细菌,其中包括钩端螺旋体病的病原体,这是一种在全球范围内具有重要意义的人畜共患病。生物膜是由嵌入自身产生的基质中的微生物组成的微生态系统,该基质可提供针对不利因素的保护。钩端螺旋体在稻田和不卫生的城市地区形成生物膜,并在啮齿动物肾脏中定殖时形成生物膜。复杂的三维生物膜基质包括分泌的聚合物质,如蛋白质、细胞外DNA(eDNA)和糖类。该属包含致病性和腐生性物种,腐生性物种通常用作该属的模式生物。在本研究中,不仅在29°C下,而且在37°C/5%CO₂(与宿主感染期间遇到的温度相似)下研究了钩端螺旋体生物膜的生长和形成。浮游自由生活的钩端螺旋体在29°C和37°C/5%CO₂的HAN培养基中均能生长,但在37°C/5%CO₂下生长的细胞比在29°C下生长的细胞更长(18.52μm±3.39)(13.93μm±2.84)。通过结晶紫染色测定,在37°C/5%CO₂下形成的生物膜比29°C下的生物膜具有更多的生物量。共聚焦显微镜确定生物膜基质中的蛋白质含量比双链DNA更突出,并且在固体基质上有一层明显的附着层。此外,该模型能够有效地提取蛋白质,用于跨不同生物膜表型的蛋白质组学比较。结果突出了蛋白质在钩端螺旋体生物膜基质结构中的重要作用,鉴定其特定的蛋白质成分有望为减轻生物膜形成的策略提供依据。

https://cdn.ncbi.nlm.nih.gov/pmc/blobs/3e82/11697785/6741e8004790/gr1.jpg

文献AI研究员

20分钟写一篇综述,助力文献阅读效率提升50倍。

立即体验

用中文搜PubMed

大模型驱动的PubMed中文搜索引擎

马上搜索

文档翻译

学术文献翻译模型,支持多种主流文档格式。

立即体验