Suppr超能文献

舍曲林导致孕妇胎儿动脉导管过早收缩:一例报告

Premature Constriction of Fetal Ductus Arteriosus Caused by Sertraline in a Pregnant Woman: A Case Report.

作者信息

Golbabaei Alireza, Alavi Moghaddam Elham Sadat, Mohammad Talebi Hooman

机构信息

Pediatric Cardiologist, Department of Perinatology and Fetal Cardiology Shariati Hospital, Tehran University of Medical Sciences Tehran Iran.

Obstetric and Gynecologist Tehran University of Medical Sciences Tehran Iran.

出版信息

Clin Case Rep. 2025 Jan 6;13(1):e70074. doi: 10.1002/ccr3.70074. eCollection 2025 Jan.

Abstract

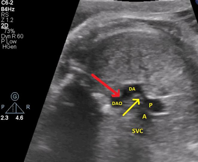
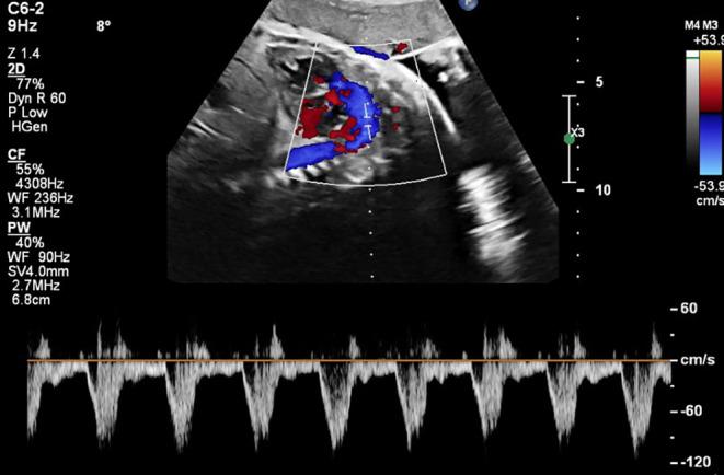
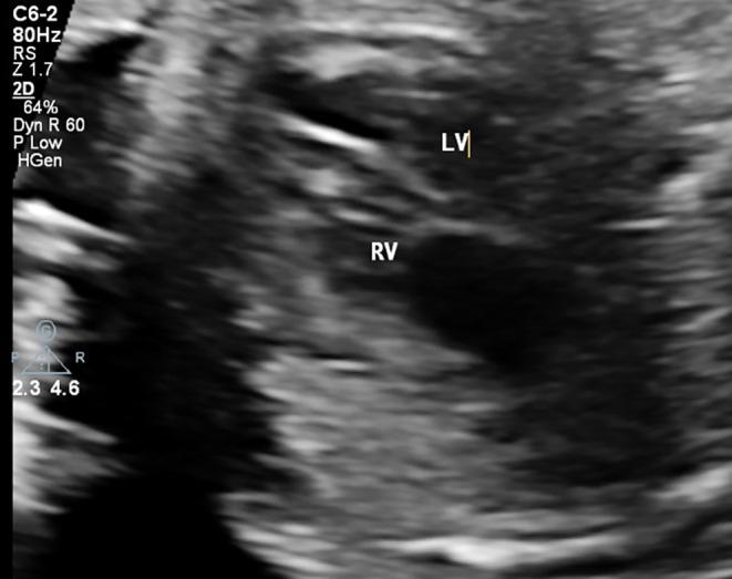
Fetal ductus arteriosus was treated in a 39-year-old pregnant woman in the 33rd week After psychiatric consultation and discontinuation of sertraline which underscores the association of sertraline with premature ductus arteriosus constriction.

摘要

一名39岁的孕妇在孕33周时接受了胎儿动脉导管相关治疗。经过精神科会诊并停用舍曲林治疗,这突出了舍曲林与动脉导管过早收缩之间的关联。

https://cdn.ncbi.nlm.nih.gov/pmc/blobs/d80d/11702413/b4ce802fe74a/CCR3-13-e70074-g001.jpg

文献AI研究员

20分钟写一篇综述,助力文献阅读效率提升50倍。

立即体验

用中文搜PubMed

大模型驱动的PubMed中文搜索引擎

马上搜索

文档翻译

学术文献翻译模型,支持多种主流文档格式。

立即体验