Suppr超能文献

表达具有蛋白酶抗性和稳定性增强修饰的 SARS-CoV-2 刺突蛋白的新城疫病毒样颗粒疫苗的研发与评价

Development and Evaluation of a Newcastle Disease Virus-like Particle Vaccine Expressing SARS-CoV-2 Spike Protein with Protease-Resistant and Stability-Enhanced Modifications.

作者信息

Chen Yu, Tian Fan, Hu Shunlin, Liu Xiufan

机构信息

Animal Infectious Disease Laboratory, College of Veterinary Medicine, Yangzhou University, Yangzhou 225012, China.

Jiangsu Co-Innovation Center for Prevention and Control of Important Animal Infectious Diseases and Zoonosis, Yangzhou University, Yangzhou 225012, China.

出版信息

Viruses. 2024 Dec 18;16(12):1932. doi: 10.3390/v16121932.

Abstract

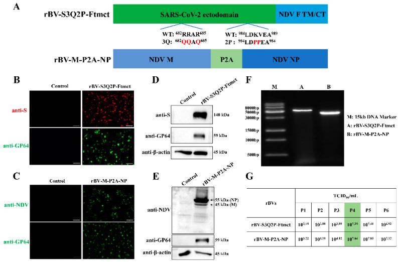
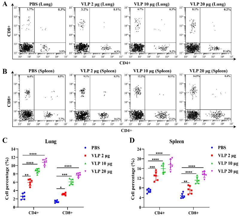
The ongoing global health crisis caused by severe acute respiratory syndrome coronavirus 2 (SARS-CoV-2) necessitates the continuous development of innovative vaccine strategies, especially in light of emerging viral variants that could undermine the effectiveness of existing vaccines. In this study, we developed a recombinant virus-like particle (VLP) vaccine based on the Newcastle Disease Virus (NDV) platform, displaying a stabilized prefusion form of the SARS-CoV-2 spike (S) protein. This engineered S protein includes two proline substitutions (K986P, V987P) and a mutation at the cleavage site (RRAR to QQAQ), aimed at enhancing both its stability and immunogenicity. Using a prime-boost regimen, we administered NDV-VLP-S-3Q2P intramuscularly at different doses (2, 10, and 20 µg) to BALB/c mice. Robust humoral responses were observed, with high titers of S-protein-specific IgG and neutralizing antibodies against SARS-CoV-2 pseudovirus, reaching titers of 1:2200-1:2560 post-boost. The vaccine also induced balanced Th1/Th2 immune responses, evidenced by significant upregulation of cytokines (IFN-γ, IL-2, and IL-4) and S-protein-specific IgG1 and IgG2a. Furthermore, strong activation of CD4+ and CD8+ T cells in the spleen and lungs confirmed the vaccine's ability to promote cellular immunity. These findings demonstrate that NDV-S3Q2P-VLP is a potent immunogen capable of eliciting robust humoral and cellular immune responses, highlighting its potential as a promising candidate for further clinical development in combating COVID-19.

摘要

由严重急性呼吸综合征冠状病毒2(SARS-CoV-2)引发的持续全球健康危机,使得创新疫苗策略的持续研发成为必要,尤其是考虑到新出现的病毒变种可能会削弱现有疫苗的有效性。在本研究中,我们基于新城疫病毒(NDV)平台开发了一种重组病毒样颗粒(VLP)疫苗,展示了SARS-CoV-2刺突(S)蛋白的稳定预融合形式。这种工程化的S蛋白包括两个脯氨酸取代(K986P、V987P)以及裂解位点的一个突变(RRAR变为QQAQ),旨在增强其稳定性和免疫原性。采用初免-加强免疫方案,我们以不同剂量(2、10和20微克)将NDV-VLP-S-3Q2P肌肉注射给BALB/c小鼠。观察到了强烈的体液免疫反应,针对SARS-CoV-2假病毒的S蛋白特异性IgG和中和抗体滴度很高,加强免疫后滴度达到1:2200 - 1:2560。该疫苗还诱导了平衡的Th1/Th2免疫反应,细胞因子(IFN-γ、IL-2和IL-4)以及S蛋白特异性IgG1和IgG2a的显著上调证明了这一点。此外,脾脏和肺部CD4 +和CD + T细胞的强烈激活证实了该疫苗促进细胞免疫的能力。这些发现表明,NDV-S3Q2P-VLP是一种强大的免疫原,能够引发强烈的体液和细胞免疫反应,突出了其作为对抗COVID-19进一步临床开发的有前景候选疫苗的潜力。

https://cdn.ncbi.nlm.nih.gov/pmc/blobs/d5bb/11680274/e85f9128c03c/viruses-16-01932-g001.jpg

文献AI研究员

20分钟写一篇综述,助力文献阅读效率提升50倍。

立即体验

用中文搜PubMed

大模型驱动的PubMed中文搜索引擎

马上搜索

文档翻译

学术文献翻译模型,支持多种主流文档格式。

立即体验