Suppr超能文献

禽呼肠孤病毒:从分子生物学到发病机制与防控

Avian Reovirus: From Molecular Biology to Pathogenesis and Control.

作者信息

Nour Islam, Mohanty Sujit K

机构信息

Southeast Poultry Research Laboratory, U.S. National Poultry Research Center, United States Department of Agriculture-Agricultural Research Service (USDA-ARS), Athens, GA 30605, USA.

出版信息

Viruses. 2024 Dec 23;16(12):1966. doi: 10.3390/v16121966.

Abstract

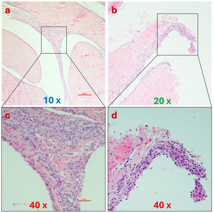
Avian reoviruses (ARVs) represent a significant economic burden on the poultry industry due to their widespread prevalence and potential pathogenicity. These viruses, capable of infecting a diverse range of avian species, can lead to a variety of clinical manifestations, most notably tenosynovitis/arthritis. While many ARV strains are asymptomatic, pathogenic variants can cause severe inflammation and tissue damage in organs such as the tendons, heart, and liver. In broilers and turkeys, ARVs can induce severe arthritis/tenosynovitis, characterized by swollen hock joints and lesions in the gastrocnemius tendons. Additionally, ARVs have been implicated in other diseases, although their precise role in these conditions remains to be fully elucidated. In recent years, ARV cases have surged in the United States, emphasizing the need for effective control measures. Routine vaccination with commercial or autogenous vaccines is currently the primary strategy for mitigating ARV's impact. Future research efforts should focus on enhancing our understanding of ARV-induced pathogenesis, identifying host factors that influence disease severity, and developing novel vaccines based on ongoing surveillance of circulating ARV strains. This review aims to explore the molecular aspects of ARV, including virus structure, replication, molecular epidemiology, the roles of its encoded proteins in host pathogenesis, and the immune response to ARV infection. Furthermore, we discuss the diagnostic approaches of avian reovirus and the potential biosecurity measures and vaccination trials in combating ARV and developing effective antiviral strategies.

摘要

禽呼肠孤病毒(ARV)因其广泛流行和潜在致病性,给家禽业带来了巨大的经济负担。这些病毒能够感染多种禽类,可导致多种临床表现,最显著的是腱鞘炎/关节炎。虽然许多ARV毒株无症状,但致病性变种可在肌腱、心脏和肝脏等器官中引起严重炎症和组织损伤。在肉鸡和火鸡中,ARV可诱发严重的关节炎/腱鞘炎,其特征为跗关节肿胀和腓肠肌腱损伤。此外,ARV还与其他疾病有关,尽管其在这些病症中的确切作用仍有待充分阐明。近年来,美国的ARV病例激增,凸显了采取有效控制措施的必要性。目前,使用商业疫苗或自制疫苗进行常规免疫接种是减轻ARV影响的主要策略。未来的研究工作应侧重于加深我们对ARV诱导的发病机制的理解,确定影响疾病严重程度的宿主因素,并基于对循环ARV毒株的持续监测开发新型疫苗。本综述旨在探讨ARV的分子层面,包括病毒结构、复制、分子流行病学、其编码蛋白在宿主发病机制中的作用以及对ARV感染的免疫反应。此外,我们还讨论了禽呼肠孤病毒的诊断方法以及在抗击ARV和制定有效的抗病毒策略方面潜在的生物安全措施和疫苗试验。

https://cdn.ncbi.nlm.nih.gov/pmc/blobs/977a/11728826/bc62140df0e1/viruses-16-01966-g001.jpg

文献AI研究员

20分钟写一篇综述,助力文献阅读效率提升50倍。

立即体验

用中文搜PubMed

大模型驱动的PubMed中文搜索引擎

马上搜索

文档翻译

学术文献翻译模型,支持多种主流文档格式。

立即体验