Suppr超能文献

腹腔镜肾切开取石术治疗肾实质内鸟粪石结石:病例报告

Management of an Intraparenchymal Struvite Stone Using Laparoscopic Nephrolithotomy: A Case Report.

作者信息

Hidayat-Allah Ayoub, Friedersdorff Frank

机构信息

Department of Urology Evangelisches Krankenhaus Königin Elisabeth Herzberge gGmbH Berlin Germany.

Department of Urology Charite Universitatsmedizin Berlin Berlin Germany.

出版信息

Clin Case Rep. 2025 Jan 6;13(1):e70065. doi: 10.1002/ccr3.70065. eCollection 2025 Jan.

Abstract

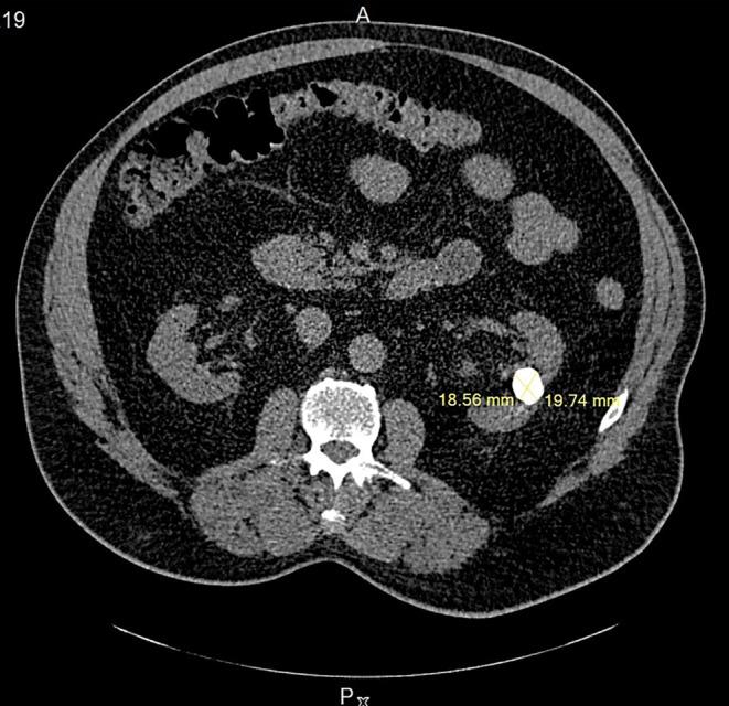
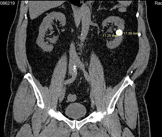
This study aims to present a case of laparoscopic nephrolithotomy and highlight its successful outcome. The patient was a 65-year-old male who experienced intermittent colicky flank pain. Imaging revealed the presence of a 20-mm round-shaped stone in a hydronephrotic calyx located in the mid-pole of the left kidney, possibly with a parenchymal component. Given the stone's location, neither percutaneous nephrolithotripsy (PCNL) nor ureterorenoscopy (URS) was considered feasible. The findings of this study demonstrate the effectiveness and suitability of laparoscopic nephrolithotomy (LNL) in managing stones. It emphasizes that LNL can be utilized not only as an alternative treatment but also as a viable initial option when appropriate case selection is made.

摘要

本研究旨在介绍一例腹腔镜肾切开取石术病例,并突出其成功结果。患者为一名65岁男性,经历间歇性绞痛性胁腹疼痛。影像学检查显示,在左肾中极肾积水的肾盏中有一个20毫米圆形结石,可能伴有实质成分。鉴于结石的位置,经皮肾镜取石术(PCNL)和输尿管肾镜检查(URS)均被认为不可行。本研究结果证明了腹腔镜肾切开取石术(LNL)在处理结石方面的有效性和适用性。它强调,当进行适当的病例选择时,LNL不仅可以作为一种替代治疗方法,而且可以作为一种可行的初始选择。

https://cdn.ncbi.nlm.nih.gov/pmc/blobs/a7cf/11705428/b90723667e24/CCR3-13-e70065-g004.jpg

文献AI研究员

20分钟写一篇综述,助力文献阅读效率提升50倍。

立即体验

用中文搜PubMed

大模型驱动的PubMed中文搜索引擎

马上搜索

文档翻译

学术文献翻译模型,支持多种主流文档格式。

立即体验