Suppr超能文献

脓毒症诱导的中性粒细胞胞外陷阱形成需要髓样分化因子88,但不依赖于gasdermin D和肽基精氨酸脱亚氨酶4。

Sepsis-induced NET formation requires MYD88 but is independent of GSDMD and PAD4.

作者信息

Englert Hanna, Rangaswamy Chandini, Kullik Giuliano A, Divivier Mylène, Göbel Josephine, Hermans-Borgmeyer Irm, Borgmeyer Uwe, Mowen Kerri A, Beerens Manu, Frye Maike, Mailer Reiner K, Gelderblom Mathias, Stavrou Evi X, Preston Roger J S, Schneider Stefan W, Fuchs Tobias A, Renné Thomas

机构信息

Institute of Clinical Chemistry and Laboratory Medicine, University Medical Center Hamburg-Eppendorf, Hamburg, Germany.

Transgenic Mouse Unit, Center for Molecular Neurobiology Hamburg, University Medical Center Hamburg-Eppendorf, Hamburg, Germany.

出版信息

FASEB J. 2025 Jan 15;39(1):e70301. doi: 10.1096/fj.202402514R.

Abstract

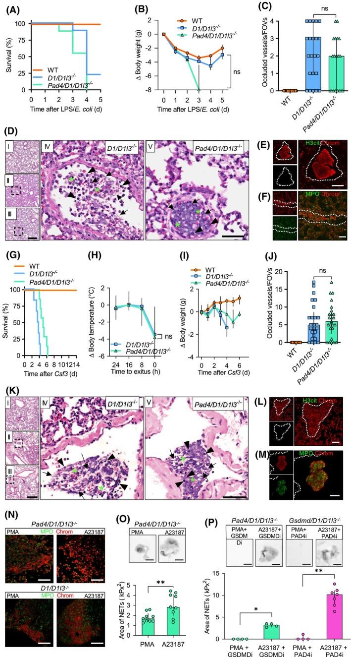
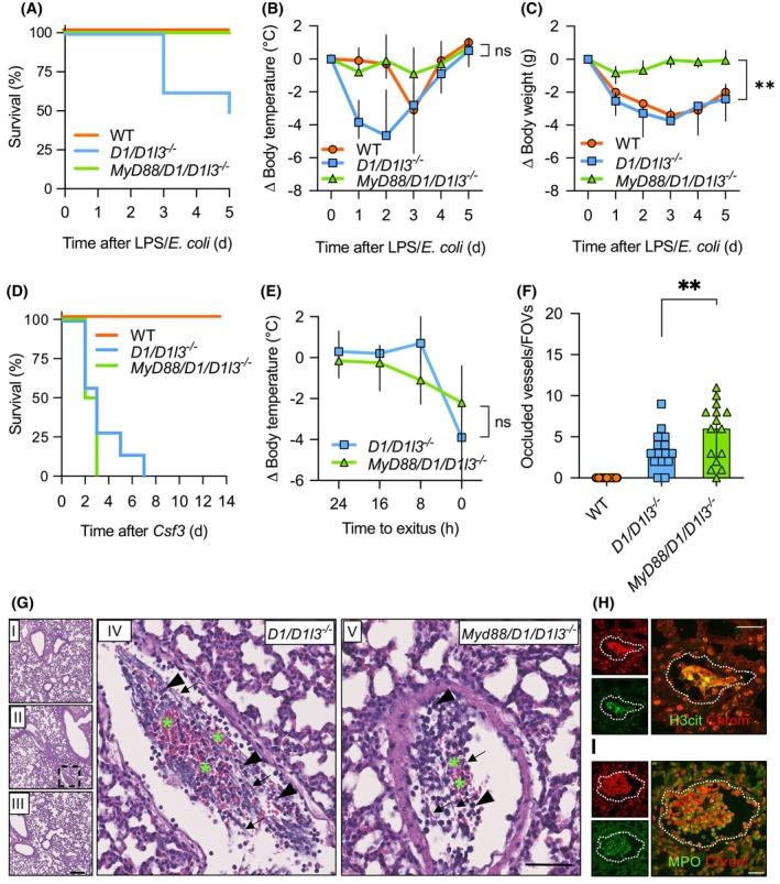
Neutrophils are peripheral blood-circulating leukocytes that play a pivotal role in host defense against bacterial pathogens which upon activation, they release web-like chromatin structures called neutrophil extracellular traps (NETs). Here, we analyzed and compared the importance of myeloid differentiation factor 88 (MYD88), peptidyl arginine deiminase 4 (PAD4), and gasdermin D (GSDMD) for NET formation in vivo following sepsis and neutrophilia challenge. Injection of lipopolysaccharide (LPS)/E. coli or the transgenic expression of granulocyte colony-stimulating factor (G-CSF), each induced NET-mediated lethal vascular occlusions in mice with combined genetic deficiency in Dnase1 and Dnase1l3 (D1/D1l3). In accordance with the signaling of toll-like receptors, Myd88/D1/D1l3 animals were protected from the formation of lethal intravascular NETs during septic conditions. However, this protection was not observed during neutrophilia. It was unexpected to find that both Gsdmd/D1/D1l3 and Pad4/D1/D1l3 mice were fully capable of forming NETs upon LPS/E.coli challenge. Sepsis equally triggered a similar inflammatory response in these mice characterized by formation of DNA-rich thrombi, vessel occlusions, and mortality from pulmonary embolism, compared to D1/D1l3 mice. Pharmacologic GSDMD inhibitors did not reduce PMA-stimulated NET formation in ex vivo models either. Similarly, neither Pad4 nor GSDMD deficiency affected intravascular occlusive NET formation upon neutrophilia challenge. The magnitude of NET production, multi-organ damage, and lethality were comparable to those observed in challenged control mice. In conclusion, our data indicate that NET formation during experimental sepsis and neutrophilia is regulated by distinct stimulus-dependent pathways that may be independent of canonical PAD4 and GSDMD.

摘要

中性粒细胞是外周血循环中的白细胞,在宿主抵御细菌病原体的防御中起关键作用,激活后,它们会释放称为中性粒细胞胞外陷阱(NETs)的网状染色质结构。在此,我们分析并比较了髓样分化因子88(MYD88)、肽基精氨酸脱氨酶4(PAD4)和gasdermin D(GSDMD)在脓毒症和中性粒细胞增多症激发后体内NET形成中的重要性。注射脂多糖(LPS)/大肠杆菌或粒细胞集落刺激因子(G-CSF)的转基因表达,在Dnase1和Dnase1l3(D1/D1l3)联合基因缺陷的小鼠中均诱导了NET介导的致死性血管闭塞。与Toll样受体的信号传导一致,Myd88/D1/D1l3动物在脓毒症条件下可免受致死性血管内NET形成的影响。然而,在中性粒细胞增多症期间未观察到这种保护作用。出乎意料的是,发现Gsdmd/D1/D1l3和Pad4/D1/D1l3小鼠在LPS/大肠杆菌激发后均完全能够形成NETs。与D1/D1l3小鼠相比,脓毒症在这些小鼠中同样引发了类似的炎症反应,其特征是形成富含DNA的血栓、血管闭塞和肺栓塞导致的死亡。在体外模型中,药理学GSDMD抑制剂也未降低佛波酯(PMA)刺激的NET形成。同样,Pad4或GSDMD缺陷均不影响中性粒细胞增多症激发后的血管内闭塞性NET形成。NET产生的程度、多器官损伤和致死率与在激发的对照小鼠中观察到的相当。总之,我们的数据表明,实验性脓毒症和中性粒细胞增多症期间的NET形成受不同的刺激依赖性途径调节,这些途径可能独立于经典的PAD4和GSDMD。

https://cdn.ncbi.nlm.nih.gov/pmc/blobs/7647/11707982/f97780f0952e/FSB2-39-e70301-g005.jpg

文献AI研究员

20分钟写一篇综述,助力文献阅读效率提升50倍。

立即体验

用中文搜PubMed

大模型驱动的PubMed中文搜索引擎

马上搜索

文档翻译

学术文献翻译模型,支持多种主流文档格式。

立即体验