Suppr超能文献

RNA结合蛋白ALYREF通过促进SLC7A11 mRNA稳定性来调节铁死亡,以促进肺腺癌的生长和转移。

RNA binding protein ALYREF regulates ferroptosis to facilitate LUAD growth and metastasis via promoting SLC7A11 mRNA stability.

作者信息

Chen Yanni, Zhao Ting, Chen Hao, Chen Jun, Han Weili

机构信息

Department of Lung transplantation and Thoracic Surgery, First Affiliated Hospital, College of Medicine, Zhejiang University, Hangzhou, 310000, China.

Institute of Molecular Virology and Immunology, School of Basic Medical Sciences, Wenzhou Medical University, Wenzhou, 325035, China.

出版信息

Sci Rep. 2025 Jan 8;15(1):1351. doi: 10.1038/s41598-024-83276-9.

Abstract

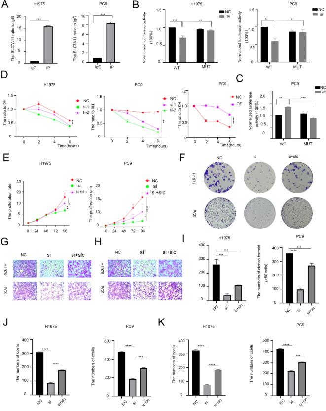
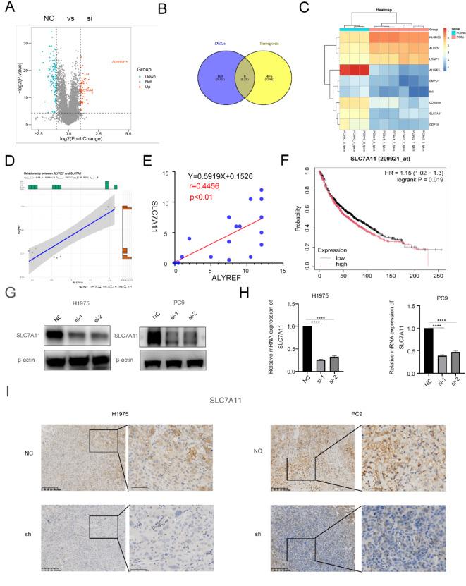
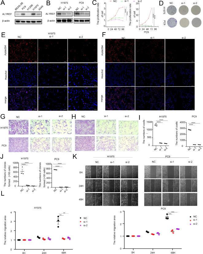
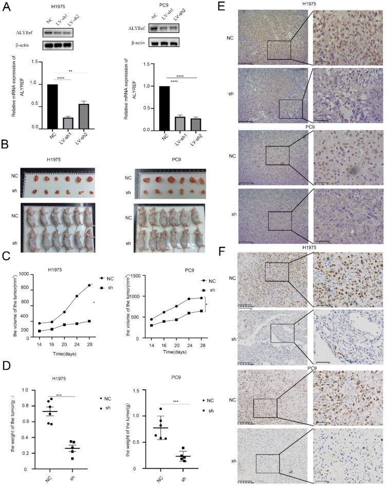
Ferroptosis is of great significance in carcinogenesis as it interconnects with a multiplicity of biological processes. Meanwhile, its function and regulatory role in lung cancer remains ambiguous. In this study, we discovered by WB and IHC that ALYREF has a higher expression in lung adenocarcinoma (LUAD) tissues compared with normal ones. By the direct observation of mitochondria with electron microscopy, we also identified that the knockdown of ALYREF limits the proliferation of LUAD in vitro as well as in vivo and prompts LUAD cells to go through ferroptosis. Mechanistically, our RNA-immunoprecipitation experiment combined with qRT-PCR analysis confirmed that ALYREF could interact with SLC7A11. ALYREF mainly binds to the 3'UTR region of SLC7A11 mRNA, increasing the mRNA stability of SLC7A11 and reducing intracellular Reactive Oxygen Species (ROS) and Methylene diphenyl diamine (MDA) thereby inhibiting ferroptosis and eventually promoting the proliferation and metastasis of LUAD cells. Importantly, our study reveals for the first time that ALYREF can regulate LUAD by inhibiting ferroptosis. Based on the evidences mentioned above, we have good reason to believe that the role of ALYREF as a new oncological factor could be proved and, acting along the ALYREF-SLC7A11-ferroptosis axis, utilized as a promising therapeutic target for LUAD.

摘要

铁死亡在肿瘤发生过程中具有重要意义,因为它与多种生物学过程相互关联。与此同时,其在肺癌中的功能和调控作用仍不明确。在本研究中,我们通过蛋白质免疫印迹法(WB)和免疫组化法(IHC)发现,与正常组织相比,ALYREF在肺腺癌(LUAD)组织中表达更高。通过电子显微镜直接观察线粒体,我们还发现敲低ALYREF会限制LUAD在体外和体内的增殖,并促使LUAD细胞发生铁死亡。从机制上讲,我们的RNA免疫沉淀实验结合定量逆转录聚合酶链反应(qRT-PCR)分析证实,ALYREF可与溶质载体家族7成员11(SLC7A11)相互作用。ALYREF主要与SLC7A11 mRNA的3'非翻译区(3'UTR)结合,增加SLC7A11的mRNA稳定性,降低细胞内活性氧(ROS)和丙二醛(MDA)水平,从而抑制铁死亡,最终促进LUAD细胞的增殖和转移。重要的是,我们的研究首次揭示ALYREF可通过抑制铁死亡来调节LUAD。基于上述证据,我们有充分的理由相信,ALYREF作为一种新的肿瘤因子的作用能够得到证实,并且沿着ALYREF-SLC7A11-铁死亡轴发挥作用,有望成为LUAD的治疗靶点。

https://cdn.ncbi.nlm.nih.gov/pmc/blobs/12f9/11711305/f70adf8fe030/41598_2024_83276_Fig1_HTML.jpg

文献AI研究员

20分钟写一篇综述,助力文献阅读效率提升50倍。

立即体验

用中文搜PubMed

大模型驱动的PubMed中文搜索引擎

马上搜索

文档翻译

学术文献翻译模型,支持多种主流文档格式。

立即体验