Suppr超能文献

携带SMAC的溶瘤病毒疗法通过调节泛凋亡增强PD1阻断的抗癌活性。

SMAC-armed oncolytic virotherapy enhances the anticancer activity of PD1 blockade by modulating PANoptosis.

作者信息

Chen Fanghui, Lang Liwei, Yang Jianqiang, Yang Fan, Tang Sijia, Fu Zhenzhen, Saba Nabil F, Luo Ming, Teng Yong

机构信息

Department of Hematology and Medical Oncology, Emory University, 201 Dowman Dr, Atlanta, GA, 30322, USA.

Dental College of Georgia, Augusta University, Augusta, GA, 30912, USA.

出版信息

Biomark Res. 2025 Jan 9;13(1):8. doi: 10.1186/s40364-025-00726-w.

Abstract

BACKGROUND

Oncolytic viruses (OVs) are increasingly recognized as promising tools for cancer therapy, as they selectively infect and destroy tumor cells while leaving healthy cells unharmed. Despite considerable progress, the limited therapeutic efficacy of OV-based virotherapy continues to be a significant challenge in cancer treatment.

METHODS

The SMAC/DIABLO gene was inserted into the genome of vesicular stomatitis virus (VSV) to generate VSV-S. Head and neck squamous cell carcinoma (HNSCC) cell lines and orthotopic mouse models were employed for research. Morphological changes were observed using both light microscopy and transmission electron microscopy. Molecular alterations were analyzed through Western blotting and ELISA kits. The tumor secretome was characterized using a combination of biotinylation and LC-MS analysis. Immune cell changes were evaluated by flow cytometry and immunohistochemistry.

RESULTS

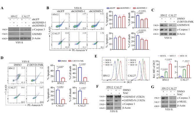
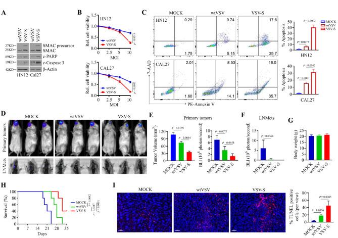
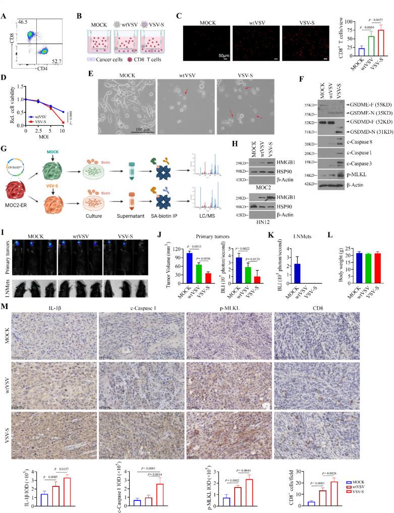
Compared to its parental virus, VSV-S not only increases apoptosis by overexpressing SMAC during VSV infection but also triggers elevated levels of PANoptosis (pyroptosis, apoptosis, and necroptosis) in HNSCC cells via activation of caspase-1/gasdermin D (GSDMD) signaling. As a result, VSV-S-induced PANoptosis promotes CD8 T cell tumor infiltration and enhances their cytotoxic capacity, eventually potentiating T cell-mediated antitumor immunity. Moreover, VSV-S reduces PDL1 levels in HNSCC cells and, in combination with PD1 blockade, produces a more potent antitumor effect than either therapy alone.

CONCLUSIONS

Our findings demonstrate that the combination of VSV-S and PD1 blockade offers a synergistic therapeutic strategy for HNSCC, supporting the advancement of VSV-based virotherapy as a promising strategy to improve outcomes for HNSCC patients.

摘要

背景

溶瘤病毒(OVs)越来越被认为是癌症治疗的有前景的工具,因为它们能选择性地感染并破坏肿瘤细胞,同时不损害健康细胞。尽管取得了相当大的进展,但基于OV的病毒疗法的有限治疗效果仍然是癌症治疗中的一个重大挑战。

方法

将SMAC/DIABLO基因插入水疱性口炎病毒(VSV)的基因组中以产生VSV-S。采用头颈部鳞状细胞癌(HNSCC)细胞系和原位小鼠模型进行研究。使用光学显微镜和透射电子显微镜观察形态变化。通过蛋白质免疫印迹法和酶联免疫吸附测定试剂盒分析分子改变。使用生物素化和液相色谱-质谱联用分析相结合的方法对肿瘤分泌组进行表征。通过流式细胞术和免疫组织化学评估免疫细胞变化。

结果

与亲代病毒相比,VSV-S不仅在VSV感染期间通过过度表达SMAC增加细胞凋亡,还通过激活半胱天冬酶-1/ Gasdermin D(GSDMD)信号通路在HNSCC细胞中引发更高水平的PAN凋亡(细胞焦亡、凋亡和坏死性凋亡)。结果,VSV-S诱导的PAN凋亡促进CD8 T细胞肿瘤浸润并增强其细胞毒性能力,最终增强T细胞介导的抗肿瘤免疫力。此外,VSV-S降低HNSCC细胞中的PDL1水平,并且与PD1阻断联合使用时,产生比单独任何一种疗法更有效的抗肿瘤作用。

结论

我们的研究结果表明,VSV-S和PD1阻断的联合为HNSCC提供了一种协同治疗策略,支持基于VSV的病毒疗法作为改善HNSCC患者预后的有前景策略的进展。

https://cdn.ncbi.nlm.nih.gov/pmc/blobs/4f28/11721257/23aab03c2708/40364_2025_726_Figa_HTML.jpg

文献AI研究员

20分钟写一篇综述,助力文献阅读效率提升50倍。

立即体验

用中文搜PubMed

大模型驱动的PubMed中文搜索引擎

马上搜索

文档翻译

学术文献翻译模型,支持多种主流文档格式。

立即体验