Suppr超能文献

通过靶向FTH1在N2-TANs和三阴性乳腺癌细胞中双重诱导铁死亡:一种三阴性乳腺癌的治疗策略

Dual ferroptosis induction in N2-TANs and TNBC cells via FTH1 targeting: A therapeutic strategy for triple-negative breast cancer.

作者信息

Liu Yichen, Sun Qingyan, Guo Jingwen, Yan Li, Yan Yue, Gong Yiting, Lin Jiayi, Yuan Hu, Jin Jinmei, Wang Bei, Chen Hongzhuan, Zhang Lijun, Zhang Weidong, Luan Xin

机构信息

Shanghai Frontiers Science Center of TCM Chemical Biology, Institute of Interdisciplinary Integrative Medicine Research and Shuguang Hospital, Shanghai University of Traditional Chinese Medicine, Shanghai 201203, China.

National Key Laboratory of Lead Druggability Research (Shanghai Institute of Pharmaceutical Industry Co. Ltd., China State Institute of Pharmaceutical Industry Co. Ltd.), Shanghai 200040, China.

出版信息

Cell Rep Med. 2025 Jan 21;6(1):101915. doi: 10.1016/j.xcrm.2024.101915. Epub 2025 Jan 13.

Abstract

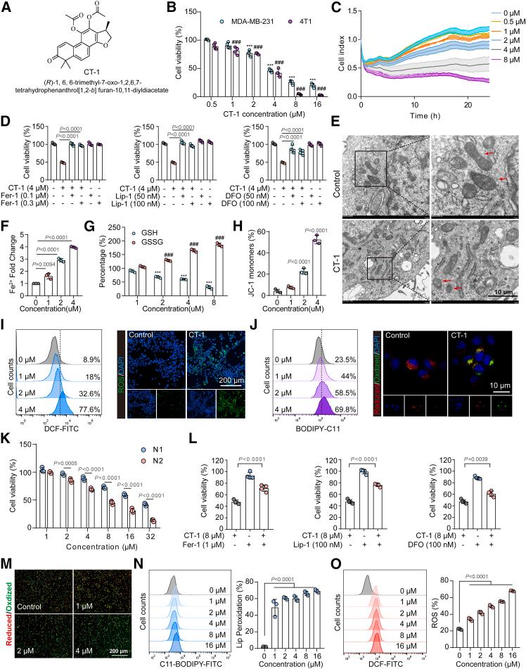
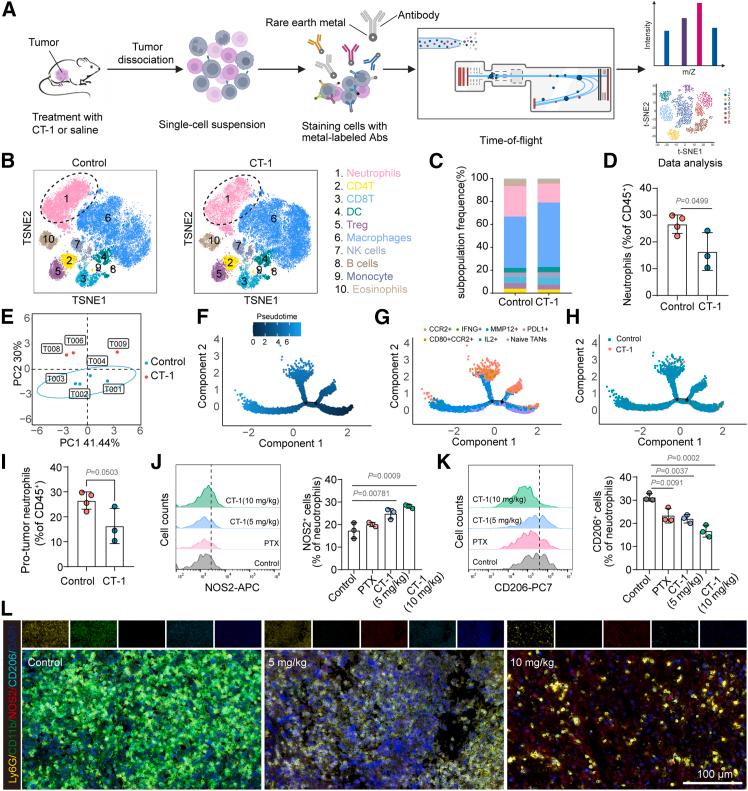
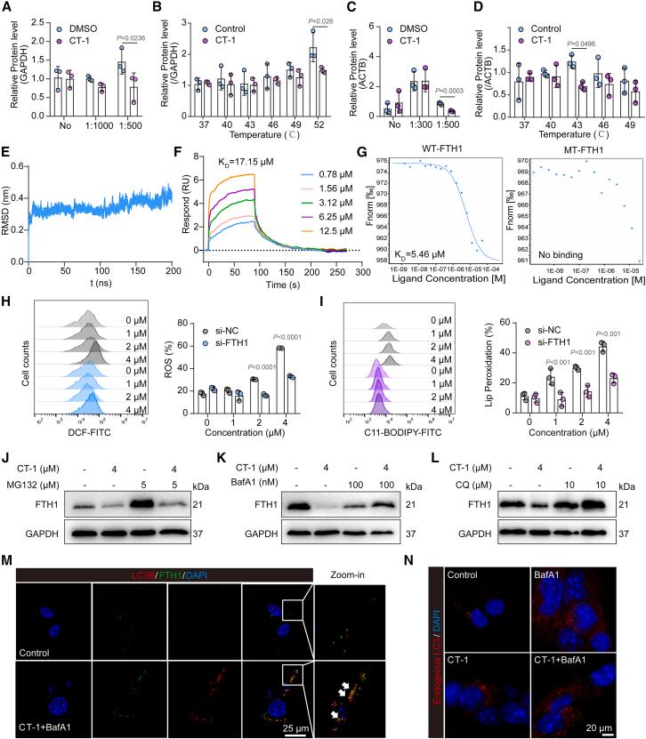
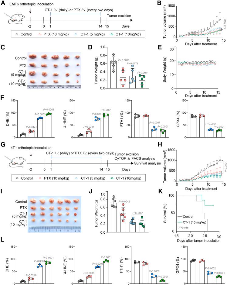
Tumor-associated neutrophils (TANs) play a critical role in the progression and prognosis of triple-negative breast cancer (TNBC), with N2-type TANs known for their pro-tumor characteristics. This study introduces CT-1, a derivative of cryptotanshinone that effectively suppresses TNBC growth while selectively reducing the proportion of N2-type TANs within tumor tissue. Notably, CT-1 induces simultaneous ferroptosis in both N2-type TANs and TNBC cells, a dual mechanism that enhances its therapeutic efficacy. The study identifies ferritin heavy chain 1 (FTH1), a key protein in iron metabolism, as the direct target of CT-1. By targeting FTH1, CT-1 facilitates the interaction between NCOA4 and ferritin, triggering ferritinophagy-mediated ferroptosis. These findings position CT-1 as a promising therapeutic agent, offering a strategy to combat TNBC by inducing ferroptosis in both N2-type TANs and cancer cells. This approach underscores the potential of FTH1 as a therapeutic target for treating TNBC.

摘要

肿瘤相关中性粒细胞(TANs)在三阴性乳腺癌(TNBC)的进展和预后中起着关键作用,其中N2型TANs以其促肿瘤特性而闻名。本研究介绍了隐丹参酮衍生物CT-1,它能有效抑制TNBC生长,同时选择性降低肿瘤组织中N2型TANs的比例。值得注意的是,CT-1能同时诱导N2型TANs和TNBC细胞发生铁死亡,这一双重机制增强了其治疗效果。该研究确定铁代谢关键蛋白铁蛋白重链1(FTH1)为CT-1的直接靶点。通过靶向FTH1,CT-1促进NCOA4与铁蛋白之间的相互作用,触发铁蛋白自噬介导的铁死亡。这些发现使CT-1成为一种有前景的治疗药物,为通过诱导N2型TANs和癌细胞发生铁死亡来对抗TNBC提供了一种策略。这种方法强调了FTH1作为治疗TNBC的治疗靶点的潜力。

https://cdn.ncbi.nlm.nih.gov/pmc/blobs/961f/11866498/f50f0c347372/fx1.jpg

文献AI研究员

20分钟写一篇综述,助力文献阅读效率提升50倍。

立即体验

用中文搜PubMed

大模型驱动的PubMed中文搜索引擎

马上搜索

文档翻译

学术文献翻译模型,支持多种主流文档格式。

立即体验