Suppr超能文献

电针预处理通过抑制乳酸生成及其衍生的蛋白质乳酰化形成减轻缺血性脑损伤。

Electroacupuncture Pretreatment Reduces Ischemic Brain Injury by Inhibiting the Lactate Production and Its Derived Protein Lactylation Formation.

作者信息

Pan Xin-Ru, Zhang Yao-Dan, Gan Yuan-Hui, Zhang Jia-Hang, Gao Su-Jin, Feng Xiao-Shuang, Xie Jia-Xin, Wang Yu-Fei, Zhang Xin-Xiao, Wang Peng-Fei, Yu Shu-Guang, Tang Yong, Xiong Xiao-Yi

机构信息

Acupuncture and Tuina School, Chengdu University of Traditional Chinese Medicine, Chengdu, China.

Department of Neurology, Weihai Municipal Hospital, Cheeloo College of Medicine, Shandong University, Weihai, China.

出版信息

CNS Neurosci Ther. 2025 Jan;31(1):e70231. doi: 10.1111/cns.70231.

Abstract

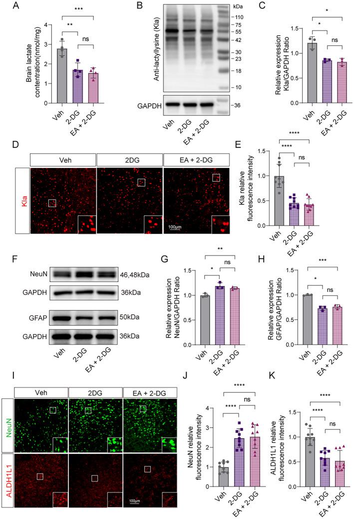
AIM

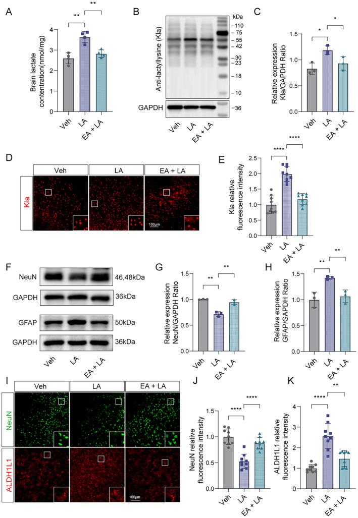
Given that electroacupuncture (EA) pretreatment inhibits lactate production and lactate-derived lysine lactation (Kla) aggravates ischemic brain injury, we aimed to investigate whether the formation of Kla protein is involved in EA pretreatment to alleviate ischemic brain injury.

METHODS

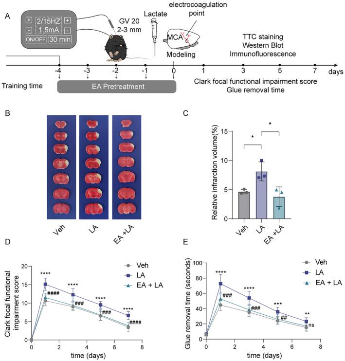
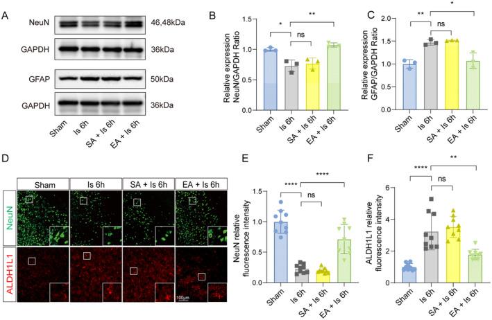
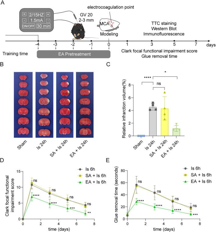
EA was performed on the Baihui acupoint (GV20) of male C57BL/6J mice before receiving the permanent middle cerebral artery occlusion (pMCAO) surgery. Western blot and immunofluorescent staining were used to observe neuronal survival, astrocyte activation, and protein Kla levels, and the lactate levels in ischemic brains were assayed with a commercial kit. TTC staining and neurological function scores are performed to evaluate the brain damage in mice.

RESULTS

We found that the increased lactate content and protein Kla levels were significantly decreased in ischemic brain tissue of mice after receiving EA pretreatment, and accompanied by the reduction of astrocyte activation and neuronal injury and death. Meantime, we found that EA pretreatment was effective in reversing the worsening of ischemic brain injury caused by lactate supplementation. However, EA pretreatment did not further reduce the lactate content and protein Kla levels and ameliorate brain injury in ischemic stroke mice after inhibition of glycolysis.

CONCLUSION

Our study reveals that EA pretreatment reduced ischemic brain damage by inhibiting lactate production and its derived protein Kla formation in mice with ischemic stroke.

摘要

目的

鉴于电针预处理可抑制乳酸生成,且乳酸衍生的赖氨酸乳酰化(Kla)会加重缺血性脑损伤,我们旨在研究Kla蛋白的形成是否参与电针预处理减轻缺血性脑损伤的过程。

方法

在雄性C57BL/6J小鼠接受永久性大脑中动脉闭塞(pMCAO)手术前,对其百会穴(GV20)进行电针治疗。采用蛋白质免疫印迹法和免疫荧光染色法观察神经元存活、星形胶质细胞活化及Kla蛋白水平,并使用商用试剂盒检测缺血脑组织中的乳酸水平。进行TTC染色和神经功能评分以评估小鼠的脑损伤情况。

结果

我们发现,接受电针预处理后,小鼠缺血脑组织中升高的乳酸含量和Kla蛋白水平显著降低,同时星形胶质细胞活化以及神经元损伤和死亡也有所减少。此外,我们发现电针预处理可有效逆转补充乳酸所导致的缺血性脑损伤恶化。然而,在抑制糖酵解后,电针预处理并未进一步降低缺血性脑卒中小鼠的乳酸含量和Kla蛋白水平,也未改善脑损伤情况。

结论

我们的研究表明,电针预处理通过抑制缺血性脑卒中小鼠的乳酸生成及其衍生的Kla蛋白形成,减轻了缺血性脑损伤。

https://cdn.ncbi.nlm.nih.gov/pmc/blobs/3650/11746925/79f695a76f2b/CNS-31-e70231-g004.jpg

文献AI研究员

20分钟写一篇综述,助力文献阅读效率提升50倍。

立即体验

用中文搜PubMed

大模型驱动的PubMed中文搜索引擎

马上搜索

文档翻译

学术文献翻译模型,支持多种主流文档格式。

立即体验