Suppr超能文献

人参皂苷RG3与STING激动剂协同作用逆转胃癌顺铂耐药性。

Ginsenoside RG3 Synergizes With STING Agonist to Reverse Cisplatin Resistance in Gastric Cancer.

作者信息

Lu Zhongqi, Fu Yihang, Fu Qiang, Chang Ying, Zhang Meihua, Jin Tiefeng

机构信息

Department of Central Laboratory Yanbian University Hospital Yanji China.

Key Laboratory of the Science and Technology Department of Jilin Province Yanji China.

出版信息

Food Sci Nutr. 2025 Jan 20;13(1):e4744. doi: 10.1002/fsn3.4744. eCollection 2025 Jan.

Abstract

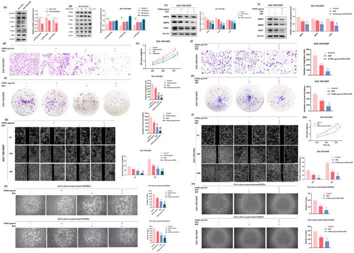
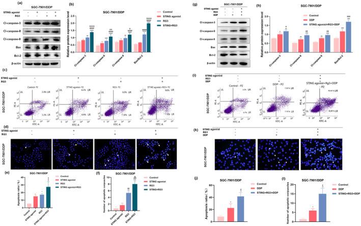
This study investigates the synergistic inhibitory effects of combining the stimulator of interferon genes (STING) agonist cyclic diadenylate monophosphate (c-di-AMP) and ginsenoside RG3 on cisplatin (DDP)-resistant gastric cancer (GC) cells. The objective is to identify novel therapeutic targets and offers insights for the clinical management of DDP resistance. Various techniques were employed, including western blot, MTT assay, colony formation assay, scratch assay, transwell assay, tubule formation assay, flow cytometry, Hoechst 33342 fluorescence staining, and in vivo experiments, to investigate the potential mechanisms and effects of the combined application of the STING agonist and ginsenoside RG3 in reversing cisplatin resistance in gastric cancer. The combination markedly suppressed key malignant behaviors, including proliferation, migration, invasion, and angiogenesis of SGC-7901/DDP cells. Additionally, this treatment inhibited the epithelial-mesenchymal transition (EMT) process and stem cell-like characteristics of SGC-7901/DDP cells, while downregulating the expression of resistance-related proteins. The STING agonist effectively suppresses the growth and proliferation of gastric cancer cells. Ginsenoside RG3, well-documented for its multifaceted properties, including antioxidant, anti-aging, and anti-cancer effects, is widely used in cancer treatment and in managing chemotherapy-related side effects. Furthermore, RG3 enhances anti-tumor immunity by regulating signal transduction. This study comprehensively evaluated the efficacy of the STING agonist and RG3 combination through in vitro and in vivo experiments, demonstrating significant inhibition of malignant progression and reversal of drug resistance in gastric cancer. These findings offer a robust theoretical foundation for clinical applications and highlight new therapeutic targets for future research.

摘要

本研究探讨干扰素基因刺激剂(STING)激动剂环二磷酸腺苷(c-di-AMP)与人参皂苷RG3联合应用对顺铂(DDP)耐药胃癌(GC)细胞的协同抑制作用。目的是确定新的治疗靶点,并为DDP耐药的临床管理提供见解。采用了多种技术,包括蛋白质免疫印迹法、MTT法、集落形成试验、划痕试验、Transwell试验、小管形成试验、流式细胞术、Hoechst 33342荧光染色和体内实验,以研究STING激动剂与人参皂苷RG3联合应用在逆转胃癌顺铂耐药中的潜在机制和作用。该联合用药显著抑制了SGC-7901/DDP细胞的关键恶性行为,包括增殖、迁移、侵袭和血管生成。此外,这种治疗抑制了SGC-7901/DDP细胞的上皮-间质转化(EMT)过程和干细胞样特征,同时下调了耐药相关蛋白的表达。STING激动剂可有效抑制胃癌细胞的生长和增殖。人参皂苷RG3因其多方面的特性,包括抗氧化、抗衰老和抗癌作用而有充分的文献记载,广泛用于癌症治疗和管理化疗相关的副作用。此外,RG3通过调节信号转导增强抗肿瘤免疫力。本研究通过体外和体内实验全面评估了STING激动剂与RG3联合用药的疗效,证明其对胃癌恶性进展有显著抑制作用并能逆转耐药性。这些发现为临床应用提供了坚实的理论基础,并突出了未来研究的新治疗靶点。

https://cdn.ncbi.nlm.nih.gov/pmc/blobs/5619/11745231/3ee6fae10d1d/FSN3-13-e4744-g007.jpg

文献AI研究员

20分钟写一篇综述,助力文献阅读效率提升50倍。

立即体验

用中文搜PubMed

大模型驱动的PubMed中文搜索引擎

马上搜索

文档翻译

学术文献翻译模型,支持多种主流文档格式。

立即体验