Suppr超能文献

患病虹鳟鱼中[具体微生物名称未给出]的分离、鉴定及特性研究

Isolation, identification and characteristics of from diseased rainbow trout ().

作者信息

Liu Li-Ping, Fang Ying-Dong, Kang Peng-Tian, Gao Xiang-Yun, Zhang Guo-Wei, Pan Jing, Lu Jia, Liu Ji-Xing, Zhang Wang-Dong

机构信息

College of Veterinary Medicine, Gansu Agricultural University, Lanzhou, China.

Lanzhou Witsen Biotechnology Co., LTD, Lanzhou, China.

出版信息

Front Microbiol. 2025 Jan 7;15:1499126. doi: 10.3389/fmicb.2024.1499126. eCollection 2024.

Abstract

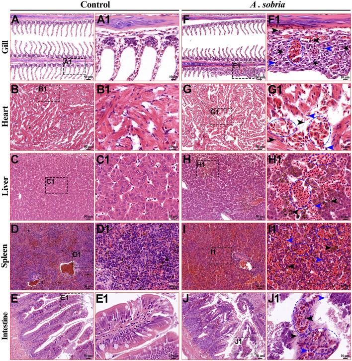
is an opportunistic pathogen that can infect humans, animals and aquatic species, which is widely distributed in different aquatic environments and products. In recent years, with the rapid expansion of intensive aquaculture, the disease caused by has occurred. This study aims to understand the pathogenic characteristics of and provide scientific basis for the prevention and control of the epidemic. The dominant strain As012 was isolated from the diseased rainbow trout during the outbreak. Through physiological and biochemical experiments, sequencing and phylogenetic tree analysis of and genes, the strain As012 was identified as . sobria. The clinical signs of the diseased rainbow trout in the experimental infection were consistent with those in the farm, and the LD was 1.0 × 10 CFU/mL. The histopathological lesions in the gills, heart, liver, spleen and intestines were mainly extensive hemorrhage. In addition, eight virulence genes were screened from strain As012, including and . The strain As012 can grow in the environment with pH 1-11, temperature 8-43°C and NaCl concentration 0-8%. The drug sensitivity results showed that it was resistant to 12 antibiotics including penicillin G, vancomycin, and clindamycin, and highly sensitive to 16 antibiotics including cefazolin, ciprofloxacin, and furadantin. The results showed that , the dominant strain isolated from diseased rainbow trout, was the main pathogen causing the epidemic in the farm. The strain As012 has a very wide range of growth and strong pathogenicity, causing widespread hemorrhaging in various tissues of rainbow trout. It is multi-resistant, but highly sensitive to cephalosporins, quinolones, nitrofurans and sulfonamides. Among them, ciprofloxacin will be one of the effective antibiotics for preventing and controlling infection in Chinese aquaculture.

摘要

是一种机会致病菌,可感染人类、动物和水生物种,广泛分布于不同的水生环境和产品中。近年来,随着集约化水产养殖的迅速扩张,由其引起的疾病时有发生。本研究旨在了解其致病特性,为疫情防控提供科学依据。优势菌株As012是在疫情爆发期间从患病虹鳟鱼中分离得到的。通过生理生化实验、对某基因和某基因进行测序及系统发育树分析,菌株As012被鉴定为某某嗜冷杆菌。实验感染中患病虹鳟鱼的临床症状与养殖场中的一致,半数致死剂量为1.0×10菌落形成单位/毫升。鳃、心脏、肝脏、脾脏和肠道的组织病理学病变主要为广泛出血。此外,从菌株As012中筛选出8个毒力基因,包括某某基因和某某基因。菌株As012能在pH值为1 - 11、温度为8 - 43°C、氯化钠浓度为0 - 8%的环境中生长。药敏结果显示,它对包括青霉素G、万古霉素和克林霉素在内的12种抗生素耐药,对包括头孢唑林、环丙沙星和呋喃妥因在内的16种抗生素高度敏感。结果表明,从患病虹鳟鱼中分离出的优势菌株是养殖场疫情的主要病原体。菌株As012生长范围极广,致病性强,可导致虹鳟鱼各组织广泛出血。它具有多重耐药性,但对头孢菌素、喹诺酮类、硝基呋喃类和磺胺类药物高度敏感。其中,环丙沙星将是中国水产养殖中预防和控制某某感染的有效抗生素之一。 (注:原文中部分关键信息缺失,用“某某”替代,翻译时需根据实际完整信息准确翻译)

https://cdn.ncbi.nlm.nih.gov/pmc/blobs/c73c/11748802/c85db9bc7cc0/fmicb-15-1499126-g0001.jpg

文献AI研究员

20分钟写一篇综述,助力文献阅读效率提升50倍。

立即体验

用中文搜PubMed

大模型驱动的PubMed中文搜索引擎

马上搜索

文档翻译

学术文献翻译模型,支持多种主流文档格式。

立即体验