Suppr超能文献

一种新发的、嵌合的复杂21号染色体重排导致淀粉样前体蛋白(APP)三倍体化及家族性常染色体显性早发型阿尔茨海默病。

A de novo, mosaic and complex chromosome 21 rearrangement causes APP triplication and familial autosomal dominant early onset Alzheimer disease.

作者信息

Ehn Emma, Eisfeldt Jesper, Laffita-Mesa Jose M, Thonberg Håkan, Schoumans Jacqueline, Portaankorva Anne M, Viitanen Matti, Lindstrand Anna, Nennesmo Inger, Graff Caroline

机构信息

Division for Neurogeriatrics, Centre for Alzheimer Research, Department of Neurobiology, Care Sciences and Society, Karolinska Institutet, Stockholm, Sweden.

Unit for Hereditary Dementias, Karolinska University Hospital Solna, Stockholm, Sweden.

出版信息

Sci Rep. 2025 Jan 23;15(1):2912. doi: 10.1038/s41598-025-86645-0.

Abstract

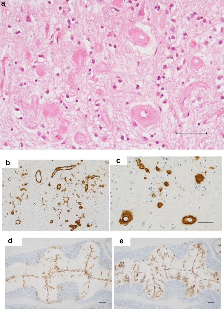
Copy number variation (CNV) of the amyloid-β precursor protein gene (APP) is a known cause of autosomal dominant Alzheimer disease (ADAD), but de novo genetic variants causing ADAD are rare. We report a mother and daughter with neuropathologically confirmed definite Alzheimer disease (AD) and extensive cerebral amyloid angiopathy (CAA). Copy number analysis identified an increased number of APP copies and genome sequencing (GS) revealed the underlying complex genomic rearrangement (CGR) including a triplication of APP with two unique breakpoint junctions (BPJs). The mosaic state in the mother had likely occurred de novo. Digital droplet PCR (ddPCR) on 42 different tissues, including 17 different brain regions, showed the derivative chromosome at varying mosaic levels (20-96%) in the mother who had symptom onset at age 58 years. In contrast, the derivative chromosome was present in all analyzed cells in the daughter whose symptom onset was at 34 years. This study reveals the architecture of a de novo CGR causing APP triplication and ADAD with a striking difference in age at onset between the fully heterozygous daughter compared to the mosaic mother. The GS analysis identified the complexity of the CGR illustrating its usefulness in identifying structural variants (SVs) in neurodegenerative disorders.

摘要

淀粉样前体蛋白基因(APP)的拷贝数变异(CNV)是常染色体显性阿尔茨海默病(ADAD)的已知病因,但导致ADAD的新生基因变异很少见。我们报告了一位母亲和女儿,她们经神经病理学确诊为明确的阿尔茨海默病(AD)且伴有广泛的脑淀粉样血管病(CAA)。拷贝数分析确定APP拷贝数增加,基因组测序(GS)揭示了潜在的复杂基因组重排(CGR),包括APP的三倍体以及两个独特的断点连接(BPJ)。母亲的嵌合状态可能是新生的。对42种不同组织(包括17个不同脑区)进行数字液滴PCR(ddPCR)检测,结果显示症状发作年龄为58岁的母亲中,衍生染色体的嵌合水平各不相同(20% - 96%)。相比之下,症状发作年龄为34岁的女儿所有分析细胞中均存在衍生染色体。本研究揭示了一种导致APP三倍体和ADAD的新生CGR的结构,与嵌合型母亲相比,完全杂合型女儿的发病年龄存在显著差异。GS分析确定了CGR的复杂性,说明了其在识别神经退行性疾病结构变异(SV)方面的作用。

https://cdn.ncbi.nlm.nih.gov/pmc/blobs/0dd5/11759332/44c566457cf4/41598_2025_86645_Fig1_HTML.jpg

文献AI研究员

20分钟写一篇综述,助力文献阅读效率提升50倍。

立即体验

用中文搜PubMed

大模型驱动的PubMed中文搜索引擎

马上搜索

文档翻译

学术文献翻译模型,支持多种主流文档格式。

立即体验