Suppr超能文献

冷藏过程中腐败菌诱导牡蛎品质劣变及代谢组学变化的研究

Studies on Quality Deterioration and Metabolomic Changes in Oysters Induced by Spoilage Bacteria During Chilled Storage.

作者信息

Dou Hanzheng, Zhu Wenxiu, Chen Siyang, Zou Yue, Xia Xiaodong

机构信息

School of Food Science and Technology, Dalian Polytechnic University, Dalian 116034, China.

National Engineering Research Center of Seafood, Dalian 116034, China.

出版信息

Foods. 2025 Jan 9;14(2):193. doi: 10.3390/foods14020193.

Abstract

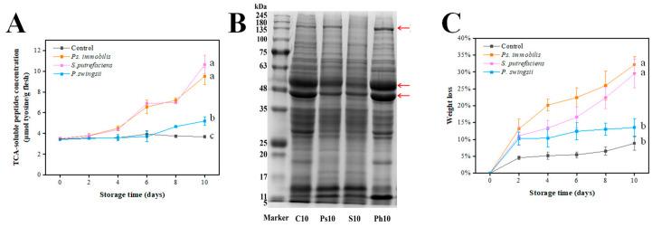
The correlation between spoilage bacteria and the degradation of aquatic food quality during chilled storage is substantial. However, our understanding of the precise roles of spoilage bacteria in oyster spoilage remains incomplete. The aim of this study was to explore the role of three dominant spoilage bacteria strains in oyster spoilage. Subsequently, the metabolites of spoiled oyster meat after inoculation with bacteria were analyzed using LC-MS-based untargeted metabolomics. Combining the results from various biochemical indicators of spoilage, , , and are shown to be the main spoilage bacteria in spoiled oyster meat, and their effects on changes in oyster meat quality were evaluated through total volatile basic nitrogen (TVB-N), pH, thiobarbituric acid reactive substances (TBARSs), and weight loss, respectively. The results showed that and exhibited great spoilage capacity. , although a dominant spoilage bacterium, exhibited lower spoilage competency than the above two bacterial strains but demonstrated activity in producing microbial lipases to oxidize fats. In addition, the results of the metabolomics of spoiled oyster meat suggest that 7, 8-Dimethoxy-3-(4-methoxyphenyl)-4-oxo-4H-chromen-5-yl-2-O-pentopyranosylhexopyranoside, 1,2,3,6-Tetrahydropyridine-4-carboxylic acid, Propionic acid, and L-phenylalanine are potential markers of spoilage in oysters. These findings extend our understanding of the roles that microorganisms play in the spoilage of oysters and offer valuable insights into the development of technologies for monitoring the freshness of oysters based on these potential spoilage markers.

摘要

冷藏过程中腐败细菌与水产食品品质降解之间的相关性十分显著。然而,我们对腐败细菌在牡蛎腐败过程中的确切作用仍了解不足。本研究的目的是探究三种主要腐败细菌菌株在牡蛎腐败中的作用。随后,对接种细菌后的腐败牡蛎肉代谢物进行了基于液相色谱 - 质谱联用的非靶向代谢组学分析。结合各种腐败生化指标的结果,[具体细菌名称1]、[具体细菌名称2]和[具体细菌名称3]被证明是腐败牡蛎肉中的主要腐败细菌,并分别通过总挥发性盐基氮(TVB - N)、pH值、硫代巴比妥酸反应物(TBARSs)和失重评估了它们对牡蛎肉品质变化的影响。结果表明,[具体细菌名称1]和[具体细菌名称2]表现出很强的腐败能力。[具体细菌名称3]虽然是优势腐败细菌,但其腐败能力低于上述两种细菌菌株,但在产生微生物脂肪酶氧化脂肪方面表现出活性。此外,腐败牡蛎肉的代谢组学结果表明,7,8 - 二甲氧基 - 3 - (4 - 甲氧基苯基) - 4 - 氧代 - 4H - 色烯 - 5 - 基 - 2 - O - 戊吡喃糖基己吡喃糖苷、1,2,3,6 - 四氢吡啶 - 4 - 羧酸、丙酸和L - 苯丙氨酸是牡蛎腐败的潜在标志物。这些发现扩展了我们对微生物在牡蛎腐败中所起作用的理解,并为基于这些潜在腐败标志物开发监测牡蛎新鲜度的技术提供了有价值的见解。

https://cdn.ncbi.nlm.nih.gov/pmc/blobs/6b62/11764715/278fb4d76b31/foods-14-00193-g001.jpg

文献AI研究员

20分钟写一篇综述,助力文献阅读效率提升50倍。

立即体验

用中文搜PubMed

大模型驱动的PubMed中文搜索引擎

马上搜索

文档翻译

学术文献翻译模型,支持多种主流文档格式。

立即体验