Suppr超能文献

先天性中胚层肾瘤与无脑回畸形并存:独特病例报告及病理分析及其临床意义

Coexisting Congenital Mesoblastic Nephroma and Lissencephaly: Unique Case Report with Pathological Analysis and Its Clinical Significance.

作者信息

Zakić Hristina, Kontić Vučinić Olivera, Stamenković Jelena, Jevtić Jovan, Perišić Mitrović Milena, Životić Maja

机构信息

Clinics of Gynecology and Obstetrics, University Clinical Center of Serbia, Faculty of Medicine, University of Belgrade, 11000 Belgrade, Serbia.

Institute of Pathology "Dr. Ðorđe Joannović", Faculty of Medicine, University of Belgrade, 11000 Belgrade, Serbia.

出版信息

Biomedicines. 2025 Jan 15;13(1):196. doi: 10.3390/biomedicines13010196.

Abstract

BACKGROUND

Congenital mesoblastic nephroma represents 3-10% of all pediatric renal tumors. With the advancement of ultrasound diagnostics and magnetic resonance imaging, the diagnosis of this renal neoplasm is increasingly being established prenatally and at birth. It usually presents as a benign tumor, but it can severely affect pregnancy outcomes, contributing to perinatal morbidity and mortality. Lissencephaly belongs to a rare category of neurodevelopmental disorders marked by the absence of a substantial reduction in the typical folds and grooves in the cerebral cortex. The prognosis for patients with lissencephaly is extremely poor, carrying with it a high mortality rate.

CASE PRESENTATION

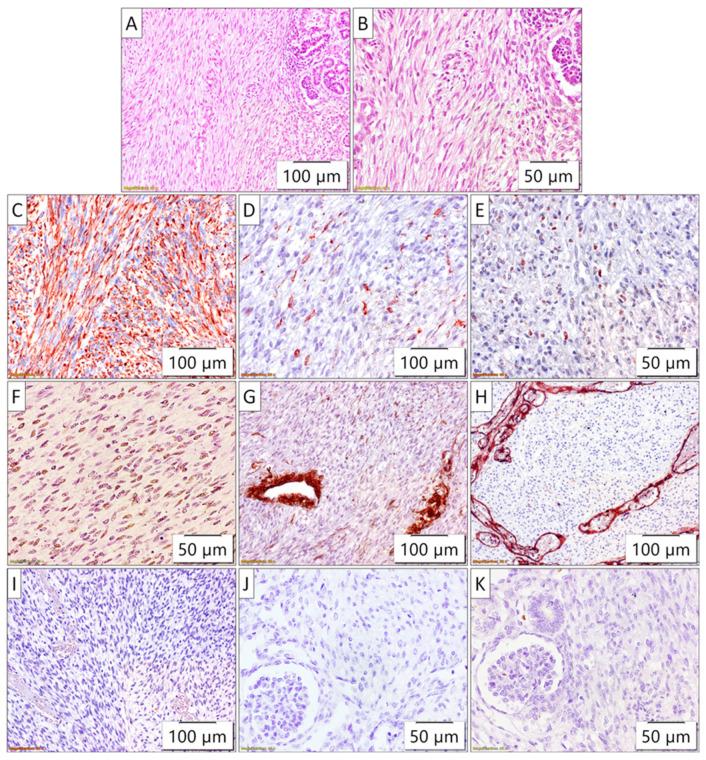
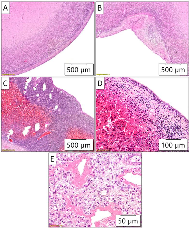
We present a case of congenital mesoblastic nephroma (CMN) diagnosed with polyhydramnios at 28 weeks of gestation, which led to preterm delivery at 29 weeks and a fatal outcome for the newborn. Histopathological examination confirmed the diagnosis of CMN along with fetal pachygyria/lissencephaly. The aim of this study is to point out the characteristics and unique correlation between CMN and lissencephaly, and to illustrate the histopathological features of CMN and lissencephaly through an educational example derived from our presented index case. To the best to our knowledge, the association of CMN with lissencephaly has not been described in the literature so far.

CONCLUSIONS

Outlining the prenatal progression of CMN and the outcome of pregnancies involving fetal CMN and lissencephaly, this case underscores the importance of comprehensive ultrasound examinations, including central nervous system evaluation, to identify potential coexisting anomalies and refine prenatal diagnostic practices.

摘要

背景

先天性中胚层肾瘤占所有小儿肾肿瘤的3% - 10%。随着超声诊断和磁共振成像技术的进步,这种肾肿瘤在产前和出生时的诊断越来越多。它通常表现为良性肿瘤,但会严重影响妊娠结局,导致围产期发病率和死亡率。无脑回畸形属于一种罕见的神经发育障碍,其特征是大脑皮层典型的褶皱和沟回没有明显减少。无脑回畸形患者的预后极差,死亡率很高。

病例报告

我们报告一例先天性中胚层肾瘤(CMN),在妊娠28周时诊断为羊水过多,导致29周早产,新生儿死亡。组织病理学检查证实为CMN,并伴有胎儿巨脑回/无脑回畸形。本研究的目的是指出CMN与无脑回畸形之间的特征和独特关联,并通过我们所展示的索引病例中的一个教育实例来说明CMN和无脑回畸形的组织病理学特征。据我们所知,迄今为止文献中尚未描述CMN与无脑回畸形的关联。

结论

本病例概述了CMN的产前进展以及涉及胎儿CMN和无脑回畸形的妊娠结局,强调了包括中枢神经系统评估在内的全面超声检查对于识别潜在并存异常和完善产前诊断实践的重要性。

https://cdn.ncbi.nlm.nih.gov/pmc/blobs/418a/11762540/963b303d7f32/biomedicines-13-00196-g001.jpg

文献AI研究员

20分钟写一篇综述,助力文献阅读效率提升50倍。

立即体验

用中文搜PubMed

大模型驱动的PubMed中文搜索引擎

马上搜索

文档翻译

学术文献翻译模型,支持多种主流文档格式。

立即体验