Suppr超能文献

双体共包封他莫昔芬和普萘洛尔以增强抗乳腺癌疗效:体外和体内研究

Bilosomal Co-Encapsulated Tamoxifen and Propranolol for Potentiated Anti-Breast Cancer Efficacy: In Vitro and In Vivo Investigation.

作者信息

Elebyary Toka T, Sultan Amal A, Abu-Risha Sally E, El Maghraby Gamal M, Amin Manna

机构信息

Department of Pharmaceutical Technology, Faculty of pharmacy, Tanta University, Tanta 31527, Egypt.

Educational Hospital, Tanta University, Tanta 31527, Egypt.

出版信息

Pharmaceutics. 2025 Jan 17;17(1):123. doi: 10.3390/pharmaceutics17010123.

Abstract

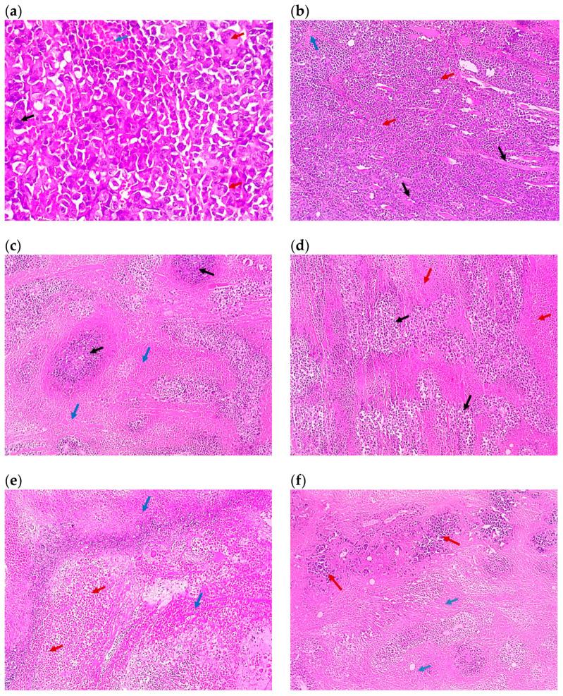
: Tamoxifen (TAM) is an anti-breast cancer drug suffering from acquired resistance development, prompting cancer relapse. Propranolol (PRO)'s repurposing for cancer therapy has gained interest. This work aimed to investigate combined TAM/PRO therapy for potentiating the anti-breast cancer activity of TAM. The work probed bilosomes versus standard noisome for simultaneous oral and intratumor delivery of TAM and PRO. : Bilosomes comprising Span60, cholesterol, and increasing concentrations of bile salts were prepared together with bile salts containing free standard niosomes. The vesicular size and morphology were characterized. The entrapment and release efficiencies of TAM and PRO from the tailored vesicles were determined. The in vivo investigations of anti-tumor activity of TAM with or without PRO employed the solid Ehrlich carcinoma model. The vesicles of all fabricated dispersions were spherical and negatively charged, with a size ranging from 104 to 182 nm. The entrapment efficiency depended on the nature of the drug, recording values ranging from 87.5% to 97.8% for TAM and from 31.0% to 46.8% for PRO. Incorporation of bile salts into vesicles increased TAM and PRO release compared to standard niosomes. Oral administration of combined TAM/PRO bilosomes showed a significant reduction in tumor growth volume compared to that recorded following naked drug administration. Histopathological investigations reflected a significant decline in tumor giant cells and mitotic figures, implying the in vivo capability of the TAM/PRO combination to interfere with cancer cell proliferation and persistence. : The overall results demonstrated the impact of repurposed PRO to enhance the anti-breast cancer activity of TAM when both were co-encapsulated into bilosomes.

摘要

他莫昔芬(TAM)是一种抗乳腺癌药物,但会产生获得性耐药,导致癌症复发。普萘洛尔(PRO)用于癌症治疗的重新利用已引起关注。这项工作旨在研究TAM/PRO联合疗法以增强TAM的抗乳腺癌活性。该工作探究了双分子层脂质体与标准非离子型脂质体用于TAM和PRO的同时口服和瘤内递送。:制备了包含司盘60、胆固醇和浓度不断增加的胆盐的双分子层脂质体,以及含有游离标准非离子型脂质体的胆盐。对囊泡大小和形态进行了表征。测定了TAM和PRO从定制囊泡中的包封率和释放效率。使用实体艾氏癌模型对有或无PRO的TAM的抗肿瘤活性进行了体内研究。所有制备的分散体的囊泡均为球形且带负电荷,大小范围为104至182nm。包封率取决于药物的性质,TAM的记录值范围为87.5%至97.8%,PRO的记录值范围为31.0%至46.8%。与标准非离子型脂质体相比,将胆盐掺入囊泡中可增加TAM和PRO的释放。与裸药给药后记录的结果相比,口服TAM/PRO联合双分子层脂质体显示肿瘤生长体积显著减小。组织病理学研究反映肿瘤巨细胞和有丝分裂象显著减少,这意味着TAM/PRO组合在体内具有干扰癌细胞增殖和存活的能力。:总体结果表明,当PRO重新用于与TAM共包封入双分子层脂质体时,可增强TAM的抗乳腺癌活性。

https://cdn.ncbi.nlm.nih.gov/pmc/blobs/c339/11768151/98f3aab6ae94/pharmaceutics-17-00123-g001.jpg

文献AI研究员

20分钟写一篇综述,助力文献阅读效率提升50倍。

立即体验

用中文搜PubMed

大模型驱动的PubMed中文搜索引擎

马上搜索

文档翻译

学术文献翻译模型,支持多种主流文档格式。

立即体验