Suppr超能文献

香草酸和异丁司特对多发性硬化症铜螯合剂模型的神经治疗作用

Neurotherapeutic impact of vanillic acid and ibudilast on the cuprizone model of multiple sclerosis.

作者信息

Alderbi Rasha M, Alam Mohammad Z, Alghamdi Badrah S, Alsufiani Hadeil M, Abd El-Aziz Gamal S, Omar Ulfat M, Al-Ghamdi Maryam A

机构信息

Research Centre, King Faisal Specialist Hospital and Research Centre, Jeddah, Saudi Arabia.

Biochemistry Department, Faculty of Science, King Abdulaziz University, Jeddah, Saudi Arabia.

出版信息

Front Mol Neurosci. 2025 Jan 10;17:1503396. doi: 10.3389/fnmol.2024.1503396. eCollection 2024.

Abstract

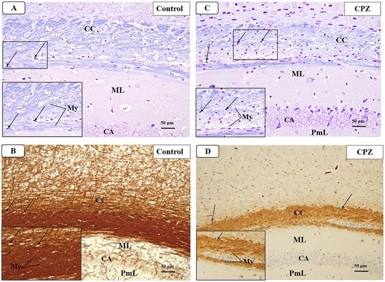
Multiple sclerosis (MS) affects 2.8 million people worldwide. Although the cause is unknown, various risk factors might be involved. MS involves the immune system attacking the central nervous system's myelin sheath, leading to neuron damage. This study used a cuprizone (CPZ)-intoxicated mouse model to simulate MS's demyelination/remyelination process. It evaluated the molecular, histological, and behavioral effects of vanillic acid (VA), a natural phenolic acid, alone and with Ibudilast (IBD), a clinically tested MS medication. Mice were divided into a control group (regular chow) and a CPZ group (0.3% cuprizone chow for 5 consecutive weeks). During remyelination, the CPZ group was split into four groups: no therapy, 10 mg/kg of IBD, 30 mg/kg of VA, and combined, each treated for 4 weeks. Behavioral, biochemical, molecular, and histopathological tests occurred in the 5 week (demyelination), 7 (early remyelination), and 9 (late remyelination). Cognitive assessments were at weeks 5 and 9. VA enhanced motor, coordination, and cognitive impairments in CPZ-intoxicated mice and improved histopathological, molecular, and biochemical features during early remyelination. IBD improved behavioral abnormalities across all tests, but combined therapy showed no significant difference from single therapies. Further investigations are necessary to understand VA's mechanisms and potential as an MS treatment.

摘要

多发性硬化症(MS)在全球影响着280万人。尽管病因不明,但可能涉及多种风险因素。MS是免疫系统攻击中枢神经系统的髓鞘,导致神经元损伤。本研究使用了一种 cuprizone(CPZ)中毒小鼠模型来模拟MS的脱髓鞘/再髓鞘化过程。它评估了天然酚酸香草酸(VA)单独使用以及与已通过临床试验的MS药物异丁司特(IBD)联合使用时的分子、组织学和行为学效应。小鼠被分为对照组(常规饲料)和CPZ组(连续5周喂食0.3%的cuprizone饲料)。在再髓鞘化期间,CPZ组被分为四组:不治疗、10mg/kg的IBD、30mg/kg的VA以及联合治疗组,每组治疗4周。在第5周(脱髓鞘)、第7周(早期再髓鞘化)和第9周(晚期再髓鞘化)进行行为、生化、分子和组织病理学测试。在第5周和第9周进行认知评估。VA加剧了CPZ中毒小鼠的运动、协调和认知障碍,并在早期再髓鞘化期间改善了组织病理学、分子和生化特征。IBD在所有测试中均改善了行为异常,但联合治疗与单一治疗相比无显著差异。有必要进行进一步研究以了解VA作为MS治疗方法的作用机制和潜力。

https://cdn.ncbi.nlm.nih.gov/pmc/blobs/0319/11760597/8c816d7b0cf3/fnmol-17-1503396-g001.jpg

文献AI研究员

20分钟写一篇综述,助力文献阅读效率提升50倍。

立即体验

用中文搜PubMed

大模型驱动的PubMed中文搜索引擎

马上搜索

文档翻译

学术文献翻译模型,支持多种主流文档格式。

立即体验