Suppr超能文献

CD146通过核因子κB信号通路促进非小细胞肺癌脑转移对培美曲塞的耐药性。

CD146 promotes resistance of NSCLC brain metastases to pemetrexed via the NF-κB signaling pathway.

作者信息

Qu Hao, Fang Yan, Zhang Feng, Liu Wenwen, Xia Shengkai, Duan Wenzhe, Zou Kun

机构信息

Department of Radiation Oncology, The First Affiliated Hospital, Dalian Medical University, Dalian, Liaoning, China.

Department of Radiation Oncology, The Second Affiliated Hospital, Dalian Medical University, Dalian, Liaoning, China.

出版信息

Front Pharmacol. 2025 Jan 13;15:1502165. doi: 10.3389/fphar.2024.1502165. eCollection 2024.

Abstract

INTRODUCTION

Pemetrexed is a first line drug for brain metastases from lung cancer, either as monotherapy or combined with other drugs. The frequent occurrence of initial and acquired resistance to pemetrexed results in limited treatment effectiveness in brain metastases. CD146 was recently found to play important roles in chemoresistance and tumor progression. However, the underlying mechanisms of CD146's effects in pemetrexed resistance remain undefined.

METHOD AND RESULTS

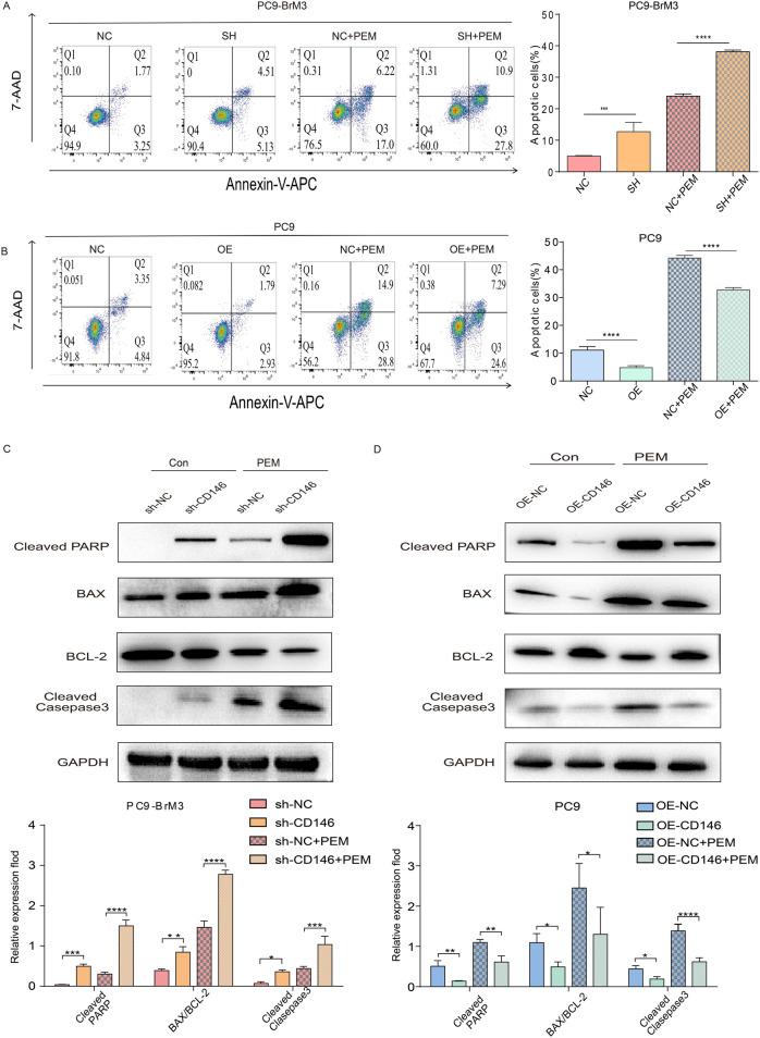
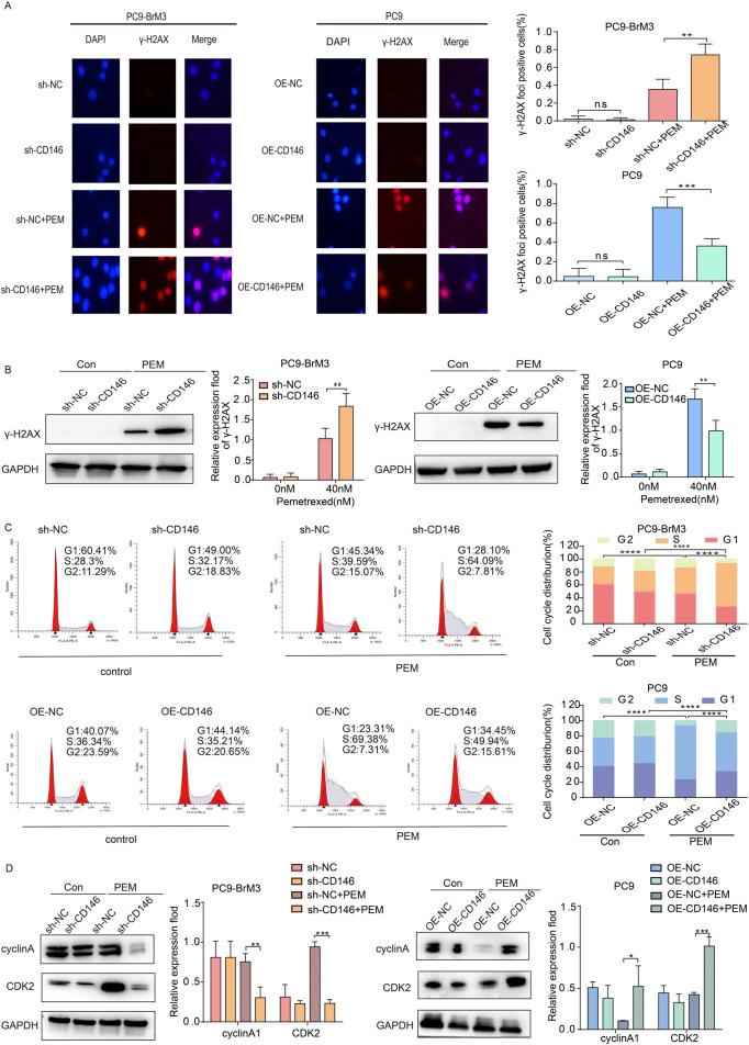
Sensitivity to pemetrexed was assessed with a preclinical brain metastasis (BM) model based on lung adenocarcinoma PC9 cells. The role and mechanism of CD146 in pemetrexed resistance in non-small cell lung cancer (NSCLC) brain metastasis were explored and . A subpopulation of brain metastatic cells derived from progenitor PC9 cells (PC9-BrMS) was significantly resistant to pemetrexed. CD146 levels were significantly increased in pemetrexed resistant brain metastases, while CD146 inhibition suppressed pemetrexed resistance in BM cells. Mechanistically, CD146 mediated pemetrexed resistance in brain metastatic cells by promoting DNA damage repair, maintaining normal cell cycle progression, and regulating the NF-KB pathway to counter apoptosis, and these effects was based on increased DNA damage, cell cycle arrest, and occurrence of apoptosis after CD146 inhibition as well as the reemergence of pemetrexed resistance after CD146 restoration.

DISCUSSION

In summary, this study revealed that the resistance of NSCLC brain metastatic cells to PEM was dependent on CD146.Thus CD146 might be targeted in clinic to overcome pemetrexed resistance in brain metastases from NSCLC.

摘要

引言

培美曲塞是肺癌脑转移的一线治疗药物,可单药使用或与其他药物联合使用。培美曲塞初始耐药和获得性耐药的频繁发生导致其对脑转移的治疗效果有限。最近发现CD146在化疗耐药和肿瘤进展中起重要作用。然而,CD146在培美曲塞耐药中的潜在作用机制仍不明确。

方法与结果

基于肺腺癌PC9细胞的临床前脑转移(BM)模型评估对培美曲塞的敏感性。探索了CD146在非小细胞肺癌(NSCLC)脑转移中培美曲塞耐药中的作用和机制。源自祖细胞PC9细胞(PC9-BrMS)的脑转移细胞亚群对培美曲塞具有显著耐药性。在培美曲塞耐药的脑转移中,CD146水平显著升高,而CD146抑制可抑制BM细胞中的培美曲塞耐药性。机制上,CD146通过促进DNA损伤修复、维持正常细胞周期进程以及调节NF-κB通路以对抗细胞凋亡,介导脑转移细胞中的培美曲塞耐药性,并且这些作用基于CD146抑制后DNA损伤增加、细胞周期停滞和细胞凋亡的发生以及CD146恢复后培美曲塞耐药性的再次出现。

讨论

总之,本研究表明NSCLC脑转移细胞对培美曲塞的耐药性依赖于CD146。因此,临床上可能靶向CD146以克服NSCLC脑转移中培美曲塞的耐药性。

https://cdn.ncbi.nlm.nih.gov/pmc/blobs/209c/11770010/c1211e17cfb3/fphar-15-1502165-g001.jpg

文献AI研究员

20分钟写一篇综述,助力文献阅读效率提升50倍。

立即体验

用中文搜PubMed

大模型驱动的PubMed中文搜索引擎

马上搜索

文档翻译

学术文献翻译模型,支持多种主流文档格式。

立即体验