Suppr超能文献

用于术前乳腺癌肿瘤治疗的光子微型格栅疗法:一项治疗计划研究。

Photon mini-GRID therapy for preoperative breast cancer tumor treatment: A treatment plan study.

作者信息

Corvino Angela, Schneider Tim, Vu-Bezin Jeremi, Loap Pierre, Kirova Youlia, Prezado Yolanda

机构信息

Institut Curie, Université PSL, CNRS UMR3347, Inserm U1021, Signalisation Radiobiologie et Cancer, Orsay, France.

Université Paris-Saclay, CNRS UMR3347, Inserm U1021, Signalisation Radiobiologie et Cancer, Orsay, France.

出版信息

Med Phys. 2025 Apr;52(4):2493-2506. doi: 10.1002/mp.17634. Epub 2025 Jan 28.

Abstract

BACKGROUND

Breast cancer is the leading cause of female cancer mortality worldwide, accounting for 1 in 6 cancer deaths. Surgery, radiation, and systemic therapy are the three pillars of breast cancer treatment, with several strategies developed to combine them. The association of preoperative radiotherapy with immunotherapy may improve breast cancer tumor control by exploiting the tumor radio-induced immune priming. However, this requires the use of hypofractionated radiotherapy (3 × 8 Gy), increasing the risk of toxicity. Mini-GRID therapy (mini-GRT) is an innovative form of spatially fractionated radiation therapy (SFRT) characterized by narrow beam widths between 1 to 2 mm that promises a significant increase in normal tissue dose tolerances and could thereby represent a new alternative for preoperative breast cancer treatment. Mini-GRT has been successfully implemented at the Hospital de Santiago de Compostela (Spain) with a flattening filter-free LINAC (megavoltage x-rays).

PURPOSE

In this dosimetry proof-of-concept study, we evaluate the feasibility of photon mini-GRT for preoperative breast cancer treatment. We also assess the clinical potential of mini-GRT and compare it with the current treatment standard of intensity-modulated radiotherapy (IMRT).

METHODS

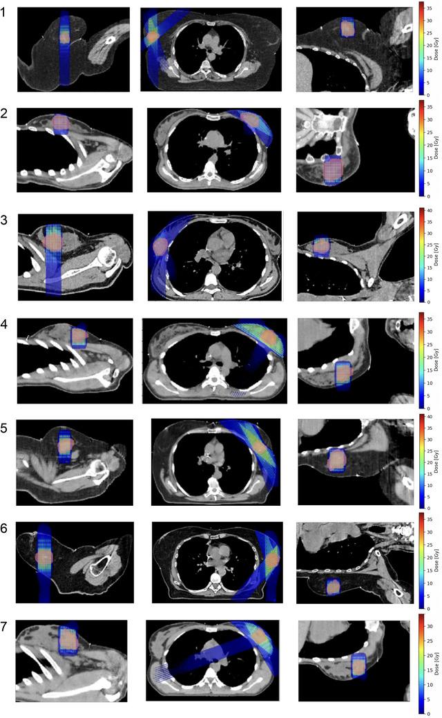
Seven unbiased breast cancer dosimetries of patients treated with stereotactic body radiotherapy (SBRT) (3 × 8 Gy, IMRT) were selected for the study. Photon mini-GRT was compared with SBRT using three main criteria: (i) the dose to organs at risk (OARs), (ii) the dose constraints dictated by normal tissue tolerance, and (iii) the lateral penumbra in OARs. Tumor coverage was evaluated in terms of normalized total dose at 8 Gy-fractions. The optimized SBRT by IMRT was realized at the Institut Curie, Paris, France. The dose in mini-GRT was calculated by means of Monte Carlo simulations based on the mini-GRT implementation realized at the University Hospital in Santiago de Compostela.

RESULTS

Compared to SBRT plans, mini-GRT resulted in a reduction of the mean dose to the lungs, heart, chest wall, and lymph nodes in the studied cases by a factor ranging from 50% to 100%. Additionally, valley, mean, and peak doses to normal tissues meet the dose tolerance limits for the considered OARs, the most challenging of all being the skin. The mean dose to the skin was reduced (20%-60% less) for most of the studied cases. Mini-GRT also yielded sharper lateral penumbras in the skin and lungs (size reduced by at least 50%). Similar tumor integral doses were obtained for the two treatment modalities.

CONCLUSION

Mini-GRT with megavoltage x-rays is an innovative treatment approach already implemented in a clinical context. In this proof-of-concept study, we evaluated mini-GRT for partial breast cancer irradiation, demonstrating its potential for preoperative treatment thanks to the high skin and normal tissue-sparing capabilities. These initial results represent a first step towards clinical use and encourage further prospective clinical studies.

摘要

背景

乳腺癌是全球女性癌症死亡的主要原因,占癌症死亡人数的六分之一。手术、放疗和全身治疗是乳腺癌治疗的三大支柱,已经开发了多种将它们结合的策略。术前放疗与免疫疗法联合使用可能通过利用肿瘤放疗诱导的免疫启动作用来改善乳腺癌的肿瘤控制。然而,这需要使用大分割放疗(3×8Gy),增加了毒性风险。迷你格栅疗法(mini-GRT)是一种创新的空间分割放射疗法(SFRT),其特点是束宽在1至2毫米之间,有望显著提高正常组织的剂量耐受性,从而可能成为术前乳腺癌治疗的新选择。迷你格栅疗法已在西班牙圣地亚哥德孔波斯特拉医院通过无均整器直线加速器(兆伏级X射线)成功实施。

目的

在这项剂量学概念验证研究中,我们评估光子迷你格栅疗法用于术前乳腺癌治疗的可行性。我们还评估了迷你格栅疗法的临床潜力,并将其与当前强度调制放疗(IMRT)的治疗标准进行比较。

方法

选择七例接受立体定向体部放疗(SBRT)(3×8Gy,IMRT)治疗的乳腺癌患者的无偏剂量学数据进行研究。将光子迷你格栅疗法与SBRT进行比较,使用三个主要标准:(i)危及器官(OARs)的剂量,(ii)正常组织耐受性规定的剂量限制,(iii)OARs中的侧向半值层。根据8Gy分次时的归一化总剂量评估肿瘤覆盖情况。法国巴黎居里研究所实现了IMRT优化的SBRT。迷你格栅疗法的剂量通过基于圣地亚哥德孔波斯特拉大学医院实现的迷你格栅疗法实施的蒙特卡罗模拟计算得出。

结果

与SBRT计划相比,在所研究的病例中,迷你格栅疗法使肺部、心脏、胸壁和淋巴结的平均剂量降低了50%至100%。此外,正常组织的谷值、平均值和峰值剂量符合所考虑的OARs的剂量耐受极限,其中最具挑战性的是皮肤。在大多数研究病例中,皮肤的平均剂量降低了(减少20%-60%)。迷你格栅疗法在皮肤和肺部也产生了更清晰的侧向半值层(尺寸至少减小50%)。两种治疗方式获得了相似的肿瘤积分剂量。

结论

兆伏级X射线的迷你格栅疗法是一种已在临床环境中实施的创新治疗方法。在这项概念验证研究中,我们评估了迷你格栅疗法用于部分乳腺癌照射,证明了其由于高皮肤和正常组织保护能力而具有术前治疗的潜力。这些初步结果代表了迈向临床应用的第一步,并鼓励进一步的前瞻性临床研究。

https://cdn.ncbi.nlm.nih.gov/pmc/blobs/33f5/11972043/923b72b25e42/MP-52-2493-g003.jpg

文献AI研究员

20分钟写一篇综述,助力文献阅读效率提升50倍。

立即体验

用中文搜PubMed

大模型驱动的PubMed中文搜索引擎

马上搜索

文档翻译

学术文献翻译模型,支持多种主流文档格式。

立即体验