Suppr超能文献

免疫生物标志物在黑色素瘤局部区域转移中的预后价值。

Prognostic value of immune biomarkers in melanoma loco-regional metastases.

作者信息

Hugdahl Emilia, Aziz Sura, Klingen Tor A, Akslen Lars A

机构信息

Department of Clinical Medicine, Centre for Cancer Biomarkers CCBIO, University of Bergen, Bergen, Norway.

Department of Pathology, Haukeland University Hospital, Bergen, Norway.

出版信息

PLoS One. 2025 Jan 30;20(1):e0315284. doi: 10.1371/journal.pone.0315284. eCollection 2025.

Abstract

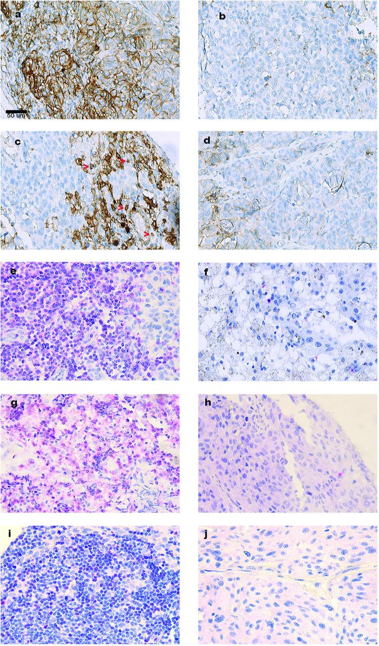
The prognosis for patients with melanoma loco-regional metastases is very heterogenous. Adjuvant PD-L1-inhibitors have improved clinical outcome for this patient group, but the prognostic impact of tumour PD-L1 expression and number of tumour infiltrating lymphocytes (TILs) is still largely unknown. Here, we investigated the impact on survival for CD3, CD8, FOXP3 and PD-L1 TIL counts and tumour PD-L1 expression in melanoma loco-regional metastases. In a patient series of loco-regional metastases from nodular melanomas (n = 78; n = 26 skin metastases, n = 52 lymph node metastases), expression of PD-L1 in tumour cells and the number of CD3, CD8, FOXP3 and PD-L1 positive TILs were determined by immunohistochemistry on tissue microarray (TMA) slides. Due to limited tumour tissue in the paraffin blocks, 67 of the 78 cases were included for tissue microarrays. Low FOXP3 TIL count and negative tumour PD-L1 expression (cut off 1%) were both significantly associated with reduced survival in lymph node metastases. Low FOXP3 TIL count was significantly associated with low CD8, CD3 and PD-L1 TIL counts. Negative tumour PD-L1 expression was significantly associated with low CD8 and PD-L1 TIL count, large lymph node metastasis tumour size and presence of necrosis in lymph node metastases. Our findings demonstrate for the first time the negative prognostic value of low FOXP3 TIL count and confirm a negative prognostic value of negative tumour PD-L1 expression in melanoma lymph node metastases.

摘要

黑色素瘤局部区域转移患者的预后差异很大。辅助性PD-L1抑制剂改善了该患者群体的临床结局,但肿瘤PD-L1表达和肿瘤浸润淋巴细胞(TILs)数量的预后影响仍大多未知。在此,我们研究了黑色素瘤局部区域转移中CD3、CD8、FOXP3和PD-L1 TIL计数以及肿瘤PD-L1表达对生存的影响。在一个来自结节性黑色素瘤的局部区域转移患者系列中(n = 78;n = 26例皮肤转移,n = 52例淋巴结转移),通过组织微阵列(TMA)载玻片上的免疫组织化学测定肿瘤细胞中PD-L1的表达以及CD3、CD8、FOXP3和PD-L1阳性TILs的数量。由于石蜡块中的肿瘤组织有限,78例病例中有67例被纳入组织微阵列研究。低FOXP3 TIL计数和肿瘤PD-L1阴性表达(截断值为1%)均与淋巴结转移患者生存率降低显著相关。低FOXP3 TIL计数与低CD8、CD3和PD-L1 TIL计数显著相关。肿瘤PD-L1阴性表达与低CD8和PD-L1 TIL计数、大的淋巴结转移肿瘤大小以及淋巴结转移中存在坏死显著相关。我们的研究结果首次证明了低FOXP3 TIL计数的负面预后价值,并证实了黑色素瘤淋巴结转移中肿瘤PD-L1阴性表达的负面预后价值。

https://cdn.ncbi.nlm.nih.gov/pmc/blobs/6f8f/11781691/56ec339bb051/pone.0315284.g001.jpg

文献AI研究员

20分钟写一篇综述,助力文献阅读效率提升50倍。

立即体验

用中文搜PubMed

大模型驱动的PubMed中文搜索引擎

马上搜索

文档翻译

学术文献翻译模型,支持多种主流文档格式。

立即体验