Suppr超能文献

核法尼醇X受体通过稳定RUNX2来驱动成骨细胞分化,从而预防骨质流失。

Nuclear farnesoid X receptor protects against bone loss by driving osteoblast differentiation through stabilizing RUNX2.

作者信息

Dong Qi, Fu Haoyuan, Li Wenxiao, Ji Xinyu, Yin Yingchao, Zhang Yiran, Zhu Yanbo, Li Guoqiang, Jia Huiyang, Zhang Heng, Wang Haofei, Hu Jinglue, Wang Ganggang, Wu Zhihao, Zhang Yingze, Xu Sujuan, Hou Zhiyong

机构信息

Department of Orthopedic Surgery, Third Hospital of Hebei Medical University, Shijiazhuang, Hebei, China.

Orthopaedic Research Institute of Hebei Province, Third Hospital of Hebei Medical University, Shijiazhuang, Hebei, China.

出版信息

Bone Res. 2025 Jan 30;13(1):20. doi: 10.1038/s41413-024-00394-w.

Abstract

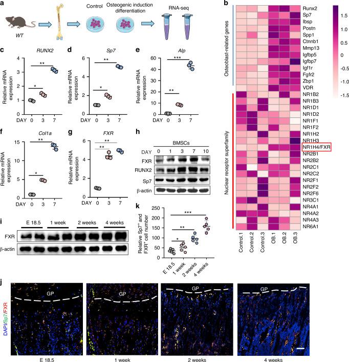
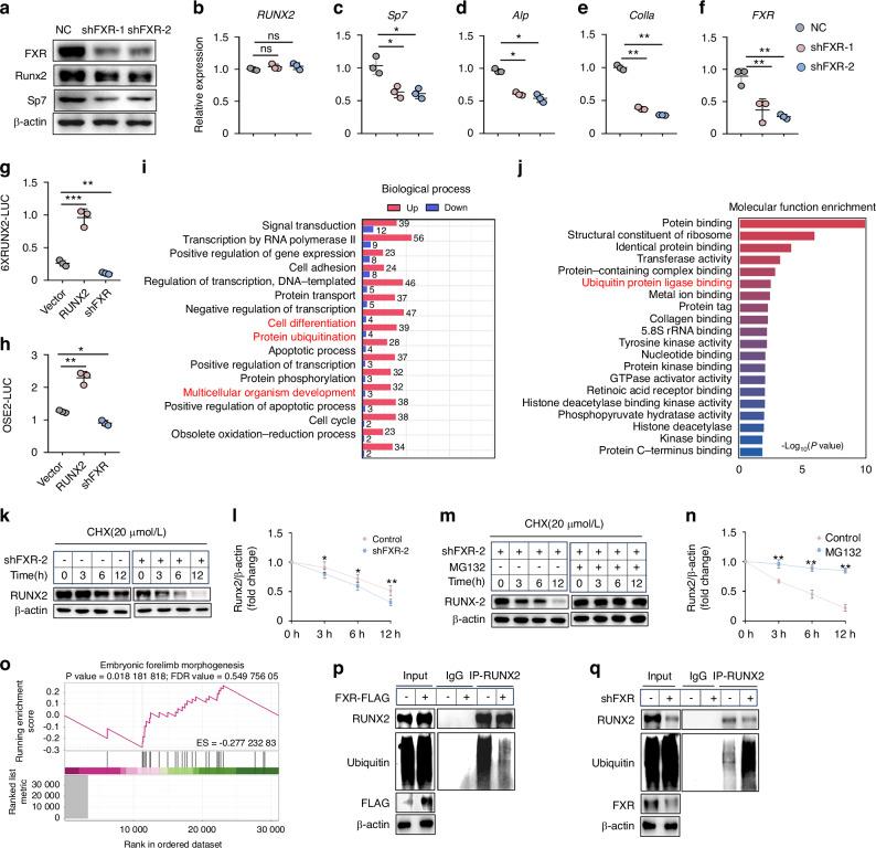
The delicate balance between bone formation by osteoblasts and bone resorption by osteoclasts maintains bone homeostasis. Nuclear receptors (NRs) are now understood to be crucial in bone physiology and pathology. However, the function of the Farnesoid X receptor (FXR), a member of the NR family, in regulating bone homeostasis remains incompletely understood. In this study, in vitro and in vivo models revealed delayed bone development and an osteoporosis phenotype in mice lacking FXR in bone marrow mesenchymal stem cells (BMSCs) and osteoblasts due to impaired osteoblast differentiation. Mechanistically, FXR could stabilize RUNX2 by inhibiting Thoc6-mediated ubiquitination, thereby promoting osteogenic activity in BMSCs. Moreover, activated FXR could directly bind to the Thoc6 promoter, suppressing its expression. The interaction between RUNX2 and Thoc6 was mediated by the Runt domain of RUNX2 and the WD repeat of Thoc6. Additionally, Obeticholic acid (OCA), an orally available FXR agonist, could ameliorate bone loss in an ovariectomy (OVX)-induced osteoporotic mouse model. Taken together, our findings suggest that FXR plays pivotal roles in osteoblast differentiation by regulating RUNX2 stability and that targeting FXR may be a promising therapeutic approach for osteoporosis.

摘要

成骨细胞形成骨与破骨细胞吸收骨之间的微妙平衡维持着骨稳态。核受体(NRs)如今被认为在骨生理学和病理学中至关重要。然而,NR家族成员法尼酯X受体(FXR)在调节骨稳态中的功能仍未完全明确。在本研究中,体外和体内模型显示,由于成骨细胞分化受损,骨髓间充质干细胞(BMSCs)和成骨细胞中缺乏FXR的小鼠出现骨发育延迟和骨质疏松表型。机制上,FXR可通过抑制Thoc6介导的泛素化来稳定RUNX2,从而促进BMSCs中的成骨活性。此外,激活的FXR可直接结合到Thoc6启动子上,抑制其表达。RUNX2与Thoc6之间的相互作用由RUNX2的Runt结构域和Thoc6的WD重复序列介导。此外,奥贝胆酸(OCA)是一种口服可用的FXR激动剂,可改善卵巢切除(OVX)诱导的骨质疏松小鼠模型中的骨质流失。综上所述,我们的研究结果表明,FXR通过调节RUNX2稳定性在成骨细胞分化中起关键作用,靶向FXR可能是一种有前景的骨质疏松治疗方法。

https://cdn.ncbi.nlm.nih.gov/pmc/blobs/b433/11782663/7f04c13e4107/41413_2024_394_Fig1_HTML.jpg

文献AI研究员

20分钟写一篇综述,助力文献阅读效率提升50倍。

立即体验

用中文搜PubMed

大模型驱动的PubMed中文搜索引擎

马上搜索

文档翻译

学术文献翻译模型,支持多种主流文档格式。

立即体验