Suppr超能文献

用于深部脑核团的深度学习加速定量磁化率映射的验证

Validation of deep-learning accelerated quantitative susceptibility mapping for deep brain nuclei.

作者信息

Zhou Ying, Liu Lingyun, Xu Shan, Ye Yongquan, Zhang Ruiting, Zhang Minming, Sun Jianzhong, Huang Peiyu

机构信息

Taizhou Central Hospital (Taizhou University Hospital), Taizhou, China.

The Second Affiliated Hospital, Zhejiang University School of Medicine, Hangzhou, China.

出版信息

Front Neurosci. 2025 Jan 22;19:1522227. doi: 10.3389/fnins.2025.1522227. eCollection 2025.

Abstract

PURPOSE

To test the feasibility and consistency of a deep-learning (DL) accelerated QSM method for deep brain nuclei evaluation.

METHODS

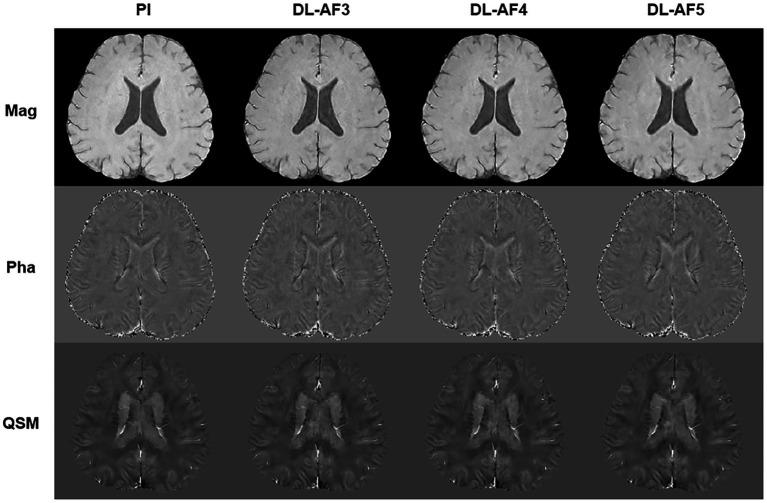
Participants were scanned with both parallel imaging (PI)-QSM and DL-QSM methods. The PI- and DL-QSM scans had identical imaging parameters other than acceleration factors (AF). The DL-QSM employed Poisson disk style under-sampling scheme and a previously developed cascaded CNN based reconstruction model, with acquisition time of 4:35, 3:15, and 2:11 for AF of 3, 4, and 5, respectively. For PI-QSM acquisition, the AF was 2 and the acquisition time was 6:46. The overall image similarity was assessed between PI- and DL-QSM images using the structural similarity index (SSIM) and peak signal-to-noise ratio (PSNR). QSM values from 7 deep brain nuclei were extracted and agreements between images with different Afs were assessed. Finally, the correlations between age and QSM values in the selected deep brain nuclei were evaluated.

RESULTS

59 participants were recruited. Compared to PI-QSM images, the mean SSIM of DL images were 0.87, 0.86, and 0.85 for AF of 3, 4, and 5. The mean PSNR were 44.56, 44.53, and 44.23. Susceptibility values from DL-QSM were highly consistent with routine PI-QSM images, with differences of less than 5% at the group level. Furthermore, the associations between age and QSM values could be consistently revealed.

CONCLUSION

DL-QSM could be used for measuring susceptibility values of deep brain nucleus. An AF up to 5 did not significantly impact the correlation between age and susceptibility in deep brain nuclei.

摘要

目的

测试一种深度学习(DL)加速的定量磁敏感图(QSM)方法用于深部脑核评估的可行性和一致性。

方法

参与者同时接受并行成像(PI)-QSM和DL-QSM方法扫描。PI-QSM和DL-QSM扫描除加速因子(AF)外具有相同的成像参数。DL-QSM采用泊松盘式欠采样方案和先前开发的基于级联卷积神经网络的重建模型,AF为3、4和5时的采集时间分别为4:35、3:15和2:11。对于PI-QSM采集,AF为2,采集时间为6:46。使用结构相似性指数(SSIM)和峰值信噪比(PSNR)评估PI-QSM图像和DL-QSM图像之间的整体图像相似性。提取7个深部脑核的QSM值,并评估不同AF图像之间的一致性。最后,评估所选深部脑核中年龄与QSM值之间的相关性。

结果

招募了59名参与者。与PI-QSM图像相比,AF为3、4和5时DL图像的平均SSIM分别为0.87、0.86和0.85。平均PSNR分别为44.56、44.53和44.23。DL-QSM的磁化率值与常规PI-QSM图像高度一致,组水平差异小于5%。此外,年龄与QSM值之间的关联可以一致地显示出来。

结论

DL-QSM可用于测量深部脑核的磁化率值。高达5的AF对深部脑核中年龄与磁化率之间的相关性没有显著影响。

https://cdn.ncbi.nlm.nih.gov/pmc/blobs/2f6f/11794186/4ce6ba6f22dc/fnins-19-1522227-g001.jpg

文献AI研究员

20分钟写一篇综述,助力文献阅读效率提升50倍。

立即体验

用中文搜PubMed

大模型驱动的PubMed中文搜索引擎

马上搜索

文档翻译

学术文献翻译模型,支持多种主流文档格式。

立即体验