Suppr超能文献

小豆蔻提取物通过抑制炎症和焦亡途径减轻他莫昔芬诱导的肝损伤。

Cardamom extract alleviates tamoxifen-induced liver damage by suppressing inflammation and pyroptosis pathway.

作者信息

Sarawi Wedad S, Attia Hala A, Alzoubi Afraa, Alanazi Nour, Mohammad Raeesa, Ali Rehab A

机构信息

Department of Pharmacology and Toxicology, College of Pharmacy, King Saud University, P.O. Box 22452, Riyadh, 11495, Saudi Arabia.

Department of Bioengineering, Imperial College London, London, UK.

出版信息

Sci Rep. 2025 Feb 8;15(1):4744. doi: 10.1038/s41598-025-89091-0.

Abstract

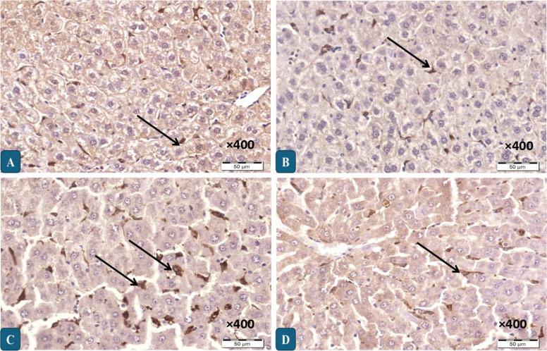
Tamoxifen (TAM) is extensively used to manage estrogen receptor-positive breast cancer. Despite its effectiveness, its administration can negatively impact various organs, including the liver. This research focused on the effects of TAM on the pyroptotic pathway in the liver and evaluated the potential of cardamom extract (CRDE) to lessen hepatic damage of TAM in female rats. Rats received 45 mg/kg of TAM injections for 10 days, while the groups treated with CRDE received 12 ml/kg of CRDE for 20 days, commencing 10 days before TAM administration. TAM exposure resulted in apparent degenerations in hepatic tissue with inflammatory cell infiltration and loss of architectures. Serum levels of liver enzymes including alanine aminotransferase, aspartate aminotransferase and alkaline phosphatase were elevated, along with hepatic oxidative stress, as shown by increased lipid peroxidation with lower levels of reduced glutathione. TAM caused inflammation in the liver tissue as indicated by higher levels of tumor necrosis factor-α and interleukin-6 as well as increased expression of CD68; a phagocytic Kupffer's cells marker. Additionally, the protein expression analysis revealed a high expression of pyroptotic markers including NLRP3-inflammasome, caspase-1, and gasdermin D. Conversely, CRDE treatment effectively neutralized the biochemical, histological, and protein expression alterations induced by TAM. In conclusion, CRDE demonstrated the potential to protect the liver from TAM-induced damage by regulating mechanisms involving oxidative damage, inflammation, and pyroptosis.

摘要

他莫昔芬(TAM)被广泛用于治疗雌激素受体阳性乳腺癌。尽管其疗效显著,但给药后可能会对包括肝脏在内的各种器官产生负面影响。本研究聚焦于TAM对肝脏焦亡途径的影响,并评估小豆蔻提取物(CRDE)减轻雌性大鼠肝脏TAM损伤的潜力。大鼠接受45mg/kg的TAM注射,持续10天,而接受CRDE治疗的组在TAM给药前10天开始,接受12ml/kg的CRDE,持续20天。TAM暴露导致肝组织明显退化,伴有炎性细胞浸润和结构破坏。血清肝酶水平,包括丙氨酸转氨酶、天冬氨酸转氨酶和碱性磷酸酶升高,同时伴有肝脏氧化应激,表现为脂质过氧化增加,还原型谷胱甘肽水平降低。TAM导致肝组织炎症,表现为肿瘤坏死因子-α和白细胞介素-6水平升高以及CD68表达增加;CD68是吞噬性库普弗细胞的标志物。此外,蛋白质表达分析显示焦亡标志物包括NLRP3炎性小体、半胱天冬酶-1和gasdermin D的高表达。相反,CRDE治疗有效地抵消了TAM诱导的生化、组织学和蛋白质表达改变。总之,CRDE通过调节氧化损伤、炎症和焦亡相关机制,显示出保护肝脏免受TAM诱导损伤的潜力。

https://cdn.ncbi.nlm.nih.gov/pmc/blobs/8385/11807216/96199cdbfc6f/41598_2025_89091_Fig1_HTML.jpg

文献AI研究员

20分钟写一篇综述,助力文献阅读效率提升50倍。

立即体验

用中文搜PubMed

大模型驱动的PubMed中文搜索引擎

马上搜索

文档翻译

学术文献翻译模型,支持多种主流文档格式。

立即体验