Suppr超能文献

MT-ND3基因m.10197G>A突变的临床谱、治疗及预后:一例报告、系统评价和荟萃分析

Clinical spectrum, treatment and outcomes of the m.10197G>A mutation in MT-ND3: a case report, systematic review and meta-analysis.

作者信息

Shi YuZhi, Chen Bin, Niu SongTao, Wang XinGao, Zhang ZaiQiang

机构信息

Department of Neurology, Beijing Tiantan Hospital, Capital Medical University, No. 119, South 4th Ring Road West, Fengtai District, Beijing, 100070, China.

出版信息

Orphanet J Rare Dis. 2025 Feb 8;20(1):59. doi: 10.1186/s13023-025-03588-5.

Abstract

BACKGROUND

A correlation between various sites or types of mutations in mitochondrial DNA ND3 and the development of a specific mitochondrial disease or phenotype has yet to be fully established.

METHODS

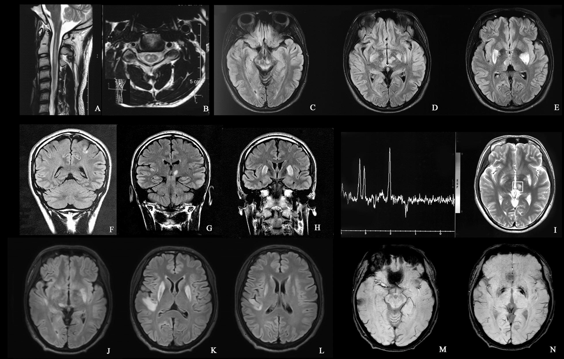
This study reports a rare case of adult-onset Leigh syndrome (LS) and Leber hereditary optic neuropathy and dystonia (LDYT) overlap syndrome caused by the m.10197G>A mutation in ND3. A review of the literature was conducted to investigate the clinical spectrum, treatment and outcome resulting from the m.10197G>A mutation. Phenotypes associated with the m.10197G>A mutation were classified into three categories: LS/LS+ (LS-involved overlap syndrome), Leber hereditary optic neuropathy (LHON)/LHON+ (LHON-involved overlap syndrome) and other mitochondrial encephalopathies or presentations.

RESULTS

A total of 84 participants (78 patients and 6 asymptomatic carriers) with the m.10197G>A mutation retrieved from 33 articles and the patient whose case we reported were included in the review and meta-analysis. Among all the participants, 55.3% (47/85) and 28.2% (24/85) presented with LS/LS+ and LHON/LHON+, respectively. The median age at onset for LS/LS+ was significantly younger than that for LHON/LHON+ [median, (Q1-Q3), 3.0 (0.58-9.5) vs. 13.5 (5.75-41.75), P = 0.001]. A negative linear correlation was observed between mutation load and age of onset in patients who presented with LS/LS+ (R = 0.592, P < 0.001), with the age of onset ranging from infancy to adulthood. Patients with an older age at onset [OR (95% CI), 1.46 (1.12-1.91), P = 0.005] or higher mutation loads [OR (95% CI), 1.14 (1.03-1.26), P = 0.011] were more likely to present with LHON/LHON+ than with LS/LS+. A total of 17 patients were documented as having received a combination of mitochondrial cofactor treatments. Compared with patients with LHON/LHON+, patients with LS/LS+ exhibited an exceedingly high probability of a stable or worsen outcome (93.8% vs. 33.3%, P = 0.006).

CONCLUSIONS

LS/LS+ and LHON/LHON+ are the predominant presentations of the m.10197G>A mutation. An older age at onset and greater mutation load increases the probability of an LHON/LHON+ presentation. Patients presenting with LS/LS+ have an exceedingly high possibility of an unfavorable outcome. The identification of factors and outcomes associated with phenotypes in patients with the m.10197G>A mutation facilitates the provision of improved prognostic counseling for patients and their family members who are carriers of this mutation.

摘要

背景

线粒体DNA ND3中不同位点或类型的突变与特定线粒体疾病或表型的发展之间的相关性尚未完全确立。

方法

本研究报告了一例由ND3基因m.10197G>A突变引起的成人起病的 Leigh 综合征(LS)与 Leber 遗传性视神经病变和肌张力障碍(LDYT)重叠综合征的罕见病例。通过文献回顾来研究m.10197G>A突变导致的临床谱、治疗及结局。与m.10197G>A突变相关的表型分为三类:LS/LS+(涉及LS的重叠综合征)、Leber遗传性视神经病变(LHON)/LHON+(涉及LHON的重叠综合征)以及其他线粒体脑病或表现。

结果

从33篇文章中检索到的84名携带m.10197G>A突变的参与者(78例患者和6名无症状携带者)以及我们报告病例的患者被纳入回顾和荟萃分析。在所有参与者中,分别有55.3%(47/85)和28.2%(24/85)表现为LS/LS+和LHON/LHON+。LS/LS+的中位发病年龄显著低于LHON/LHON+[中位数,(Q1 - Q3),3.0(0.58 - 9.5)岁 vs. 13.5(5.75 - 41.75)岁,P = 0.001]。在表现为LS/LS+的患者中,观察到突变负荷与发病年龄之间呈负线性相关(R = 0.592,P < 0.001),发病年龄范围从婴儿期到成年期。发病年龄较大[比值比(95%可信区间),1.46(1.12 - 1.91),P = 0.005]或突变负荷较高[比值比(95%可信区间),1.14(1.03 - 1.26),P = 0.011]的患者比表现为LS/LS+的患者更有可能表现为LHON/LHON+。共有17例患者记录接受了线粒体辅助因子联合治疗。与LHON/LHON+患者相比,LS/LS+患者出现病情稳定或恶化结局的可能性极高(93.8% vs. 33.3%,P = 0.006)。

结论

LS/LS+和LHON/LHON+是m.10197G>A突变的主要表现形式。发病年龄较大和更高的突变负荷增加了LHON/LHON+表现的可能性。表现为LS/LS+的患者出现不良结局的可能性极高。识别与m.10197G>A突变患者表型相关的因素和结局,有助于为该突变携带者患者及其家属提供更好的预后咨询。

https://cdn.ncbi.nlm.nih.gov/pmc/blobs/8038/11806901/29598a5921e9/13023_2025_3588_Fig1_HTML.jpg

文献AI研究员

20分钟写一篇综述,助力文献阅读效率提升50倍。

立即体验

用中文搜PubMed

大模型驱动的PubMed中文搜索引擎

马上搜索

文档翻译

学术文献翻译模型,支持多种主流文档格式。

立即体验