Suppr超能文献

根尖周炎及其对大鼠肾脏组织的影响。

Apical periodontitis and its effects on renal tissue in rats.

作者信息

Mireya Jara Cynthia, Ramírez Roccio Raquel, Barreto Regina Susana, García-Salinas Héctor, Adorno Carlos Gabriel, Fretes Vicente, Amarilla Shyrley Paola, Díaz-Reissner Clarisse

机构信息

Universidad Nacional de Asunción, Facultad de Odontología, Asunción, Paraguay.

Universidad Nacional de Asunción, Facultad de Ciencias Médicas, Asunción, Paraguay.

出版信息

Rev Peru Med Exp Salud Publica. 2025 Jan 31;41(4):385-391. doi: 10.17843/rpmesp.2024.414.13947.

Abstract

BACKGROUND

Motivation for the study. Apical periodontitis (AP) can trigger immune responses that affect other organs. Main findings. This animal study examined the effects of AP on renal tissue, finding significant changes in parameters such as renal corpuscle area and Bowman's space, which may have implications for chronic kidney disease. Implications. Future research will provide insight into how dental conditions may affect renal health. If confirmed, regular dental checkups would not only be critical to improve the overall health of patients with kidney disease, but could also serve as a preventive measure.

OBJECTIVES.: To evaluate the effect of apical periodontitis (AP) induced in Wistar rats on histologically examined renal tissue.

MATERIALS AND METHODS.: Fourteen 12-week-old male Wistar rats weighing an average of 250 grams were used. AP was induced with pulp exposure of the upper and lower first molars using a #1011 HL spherical bur in high rotation. The lesions were left exposed to the oral environment for a period of 7 weeks. Blood pressure was measured by the tail-cuff plethysmography method from the fourth week. The kidney was dissected for histological analysis (H&E). Mann-Whitney and Student's t-test were used for non-parametric and parametric data, respectively, with a significance level of 5%.

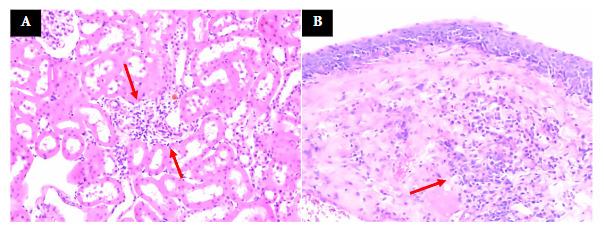
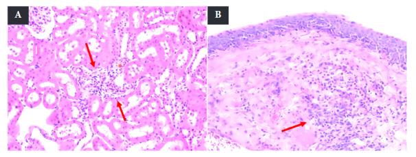
RESULTS.: A statistically significant increase in both Bowman's space area and renal corpuscle area was found in the AP group (p<0.05). The AP group had a higher percentage of renal tissue with inflammatory infiltrate, but without significant difference. Blood pressure did change during the experimental period and no difference was identified between the groups.

CONCLUSIONS.: Induction of AP in Wistar rats resulted in significant changes of certain renal histological parameters, suggesting a possible interaction between AP and renal tissue that requires further research.

摘要

背景

研究动机。根尖周炎(AP)可引发影响其他器官的免疫反应。主要发现。这项动物研究检测了AP对肾组织的影响,发现肾小体面积和鲍曼氏间隙等参数有显著变化,这可能与慢性肾脏病有关。意义。未来的研究将深入了解牙齿状况如何影响肾脏健康。如果得到证实,定期牙科检查不仅对改善肾病患者的整体健康至关重要,还可作为一种预防措施。

目的

评估Wistar大鼠诱发的根尖周炎(AP)对组织学检查的肾组织的影响。

材料与方法

使用14只12周龄、平均体重250克的雄性Wistar大鼠。使用#1011 HL球形车针高速旋转暴露上下第一磨牙牙髓来诱发AP。将病变暴露于口腔环境7周。从第四周开始用尾套体积描记法测量血压。解剖肾脏进行组织学分析(苏木精-伊红染色)。分别使用曼-惠特尼检验和学生t检验分析非参数数据和参数数据,显著性水平为5%。

结果

AP组的鲍曼氏间隙面积和肾小体面积均有统计学显著增加(p<0.05)。AP组有炎症浸润的肾组织百分比更高,但无显著差异。实验期间血压确实发生了变化,两组之间未发现差异。

结论

Wistar大鼠诱发AP导致某些肾脏组织学参数发生显著变化,提示AP与肾组织之间可能存在相互作用,需要进一步研究。

https://cdn.ncbi.nlm.nih.gov/pmc/blobs/697d/11797580/b5c8781299a8/rpmesp-41-04-13947-g001.jpg

文献AI研究员

20分钟写一篇综述,助力文献阅读效率提升50倍。

立即体验

用中文搜PubMed

大模型驱动的PubMed中文搜索引擎

马上搜索

文档翻译

学术文献翻译模型,支持多种主流文档格式。

立即体验