Suppr超能文献

MalS是大肠杆菌中的一种周质α淀粉酶,它对糖原具有结合亲和力,并具有独特的底物特异性。

MalS, a periplasmic α-amylase in Escherichia coli, has a binding affinity to glycogen with unique substrate specificities.

作者信息

Tran Phuong Lan, Yoo Minjee, Kim Sung-Gun, Park Jong-Tae

机构信息

Department of Food Science and Technology, Chungnam National University, 99 Daehak-Ro, Yuseong-Gu, Daejeon, 34134, Republic of Korea.

Department of Food Technology, An Giang University, Long Xuyen, 880000, Vietnam.

出版信息

Appl Microbiol Biotechnol. 2025 Feb 14;109(1):46. doi: 10.1007/s00253-025-13421-5.

Abstract

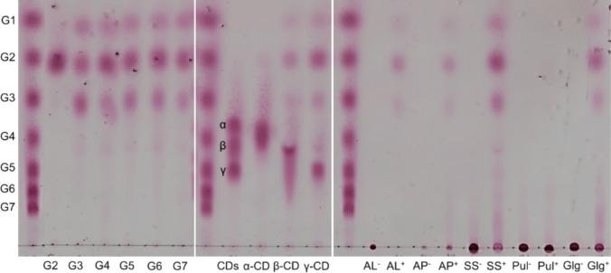
In this study, we investigated MalS, a periplasmic α-enzyme from Escherichia coli K12, known for its unique biochemical properties related to polysaccharide utilization. Evolutionarily, MalS has inherited the glycosyl hydrolase catalytic domain from the glycoside hydrolase family 13, with the protein sequences highly conserved across Enterobacteria, including Salmonella and Shigella. MalS exhibited optimal activity at 65 °C, significantly higher than other E. coli enzymes. Although its reaction pattern resembled that of typical α-amylases, its catalytic efficiency on polysaccharides was notably lower. Intriguingly, MalS demonstrated a strong binding affinity for various glucose polymers, including β-cyclodextrin and glycogen, which significantly enhanced its thermostability. Despite full-length MalS binding strongly to glycogen, neither its N-terminal domain, predicted by AlphaFold2 to belong to the Carbohydrate-Binding Module family 69, nor the remaining parts of the enzyme showed binding affinity toward polysaccharides. Kinetic studies revealed that MalS had a 2.5-fold lower K and 1.4-fold higher catalytic efficiency toward glycogen compared to amylopectin, which contrasts starkly with pancreatic α-amylases. However, over prolonged reactions, glycogen hydrolysis by MalS was slower than that of amylopectin. In the early initial stage, MalS predominantly degraded glycogen to maltopentaose (G5) rather than maltohexaose (G6) as usual. Taken together, these findings suggest MalS may play a role in recognizing glycogen-type polysaccharides in the bacterial periplasm during adaptation to new environments. Given the crucial role of glycogen in the survival and infection processes of pathogenic bacteria, understanding MalS's interaction with glycogen-type polysaccharides could offer valuable insights into bacterial survival mechanisms and their ability to infect hosts. KEY POINTS: • MalS has unique structure and properties but conserved among many enterobacteria • Binding of MalS with polysaccharides significantly enhanced its thermostability • Unlike other amylases, MalS showed 2.5-fold lower K on glycogen than amylopectin.

摘要

在本研究中,我们对来自大肠杆菌K12的周质α酶MalS进行了研究,该酶因其与多糖利用相关的独特生化特性而闻名。在进化过程中,MalS从糖苷水解酶家族13继承了糖基水解酶催化结构域,其蛋白质序列在包括沙门氏菌和志贺氏菌在内的肠杆菌中高度保守。MalS在65°C时表现出最佳活性,显著高于其他大肠杆菌酶。尽管其反应模式类似于典型的α淀粉酶,但其对多糖的催化效率明显较低。有趣的是,MalS对包括β-环糊精和糖原在内的各种葡萄糖聚合物表现出强烈的结合亲和力,这显著提高了其热稳定性。尽管全长MalS与糖原强烈结合,但通过AlphaFold2预测属于碳水化合物结合模块家族69的其N端结构域以及该酶的其余部分均未显示出对多糖的结合亲和力。动力学研究表明,与支链淀粉相比,MalS对糖原的K值低2.5倍,催化效率高1.4倍,这与胰腺α淀粉酶形成鲜明对比。然而,在长时间反应中,MalS对糖原的水解比支链淀粉慢。在初始阶段早期,MalS主要将糖原降解为麦芽五糖(G5),而不是像往常那样降解为麦芽六糖(G6)。综上所述,这些发现表明MalS可能在细菌适应新环境过程中识别细菌周质中的糖原型多糖方面发挥作用。鉴于糖原在病原菌生存和感染过程中的关键作用,了解MalS与糖原型多糖的相互作用可为细菌生存机制及其感染宿主的能力提供有价值的见解。要点:• MalS具有独特的结构和性质,但在许多肠杆菌中保守 • MalS与多糖的结合显著提高了其热稳定性 • 与其他淀粉酶不同,MalS对糖原的K值比支链淀粉低2.5倍

https://cdn.ncbi.nlm.nih.gov/pmc/blobs/facf/11828803/d615a8421ec0/253_2025_13421_Fig1_HTML.jpg

文献AI研究员

20分钟写一篇综述,助力文献阅读效率提升50倍。

立即体验

用中文搜PubMed

大模型驱动的PubMed中文搜索引擎

马上搜索

文档翻译

学术文献翻译模型,支持多种主流文档格式。

立即体验