Suppr超能文献

研究提取物对散发性阿尔茨海默病大鼠模型的神经保护作用及其对代谢组学特征的影响。

Investigating the neuroprotective effects of extract and its effect on metabolomic profile of rat model of sporadic Alzheimer's disease.

作者信息

Talebi Marjan, Ayatollahi Seyed Abdulmajid, As'Habi Mohammad Ali, Kobarfard Farzad, Khoramjouy Mona, Boroujeni Farzaneh Niki, Faizi Mehrdad, Ghassempour Alireza

机构信息

Student Research Committee, Department of Pharmacognosy, School of Pharmacy, Shahid Beheshti University of Medical Sciences, Tehran, Iran.

Phytochemistry Research Center, Shahid Beheshti University of Medical Sciences, Tehran, Iran.

出版信息

Heliyon. 2025 Feb 1;11(3):e42412. doi: 10.1016/j.heliyon.2025.e42412. eCollection 2025 Feb 15.

Abstract

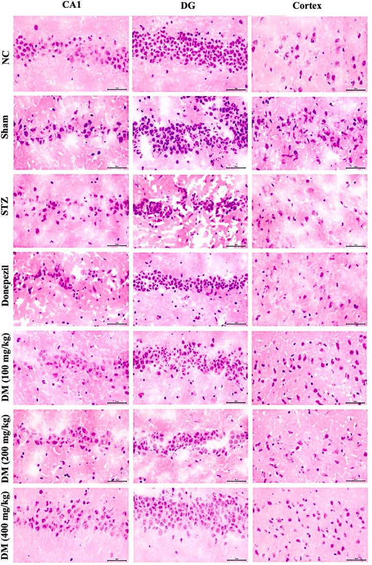
Alzheimer's disease (AD) is a progressive condition marked by multiple underlying mechanisms. Therefore, the investigation of natural products that can target multiple pathways presents a potential gate for the understanding and management of AD. This study aimed to assess the neuroprotective effects of the hydroalcoholic extract of (DM) on cognitive impairment, biomarker changes, and putative metabolic pathways in a rat model of AD induced by intracerebroventricular streptozotocin (ICV-STZ). The DM extract was standardized and quantified based on examining total phenolic, total flavonoid, rosmarinic acid, and quercetin contents using colorimetry and high-performance liquid chromatography (HPLC) methods. The antioxidant potential of the extract was evaluated by 2,2-Diphenyl-1-picrylhydrazyl and nitric oxide radical scavenging assays. Male Wistar rats were injected with STZ (3 mg/kg, single dose, bilateral ICV) to induce a sporadic AD (sAD) model. Following model induction, rats were orally administered with DM extract (100, 200, and 400 mg/kg/day) or donepezil (5 mg/kg/day) for 21 days. Cognitive function was assessed using the radial arm water maze behavioral test. The histopathological evaluations were conducted in the cortex and hippocampus regions. Matrix-assisted laser desorption/ionization-time of flight mass spectrometry (MALDI-TOF MS) was used to assess metabolite changes in various brain regions. DM extract significantly attenuated cognitive dysfunction induced by ICV-STZ according to behavioral and histopathological investigations. Thirty-two discriminating metabolites related to the amino acid metabolism; the glutamate/gamma-aminobutyric acid/glutamine cycle; nucleotide metabolism; lipid metabolism (glycerophospholipids, sphingomyelins, ceramides, phosphatidylserines, and prostaglandins), and glucose metabolic pathways were identified in the brains of rats with sAD simultaneously for the first time in this model. Polyphenols in DM extract may contribute to the regulation of these pathways. After treatment with DM extract, 10 metabolites from the 32 identified ones were altered in the brain tissue of a rat model of sAD, most commonly at doses of 200 and 400 mg/kg. In conclusion, this study demonstrates the neuroprotective potential of DM by upregulation/downregulation of various pathophysiological biomarkers such as adenine, glycerophosphoglycerol, inosine, prostaglandins, and sphingomyelin induced by ICV-STZ in sAD. These findings are consistent with cognitive behavioral results and histopathological outcomes.

摘要

阿尔茨海默病(AD)是一种由多种潜在机制导致的进行性疾病。因此,研究能够靶向多种途径的天然产物为理解和治疗AD提供了一个潜在的切入点。本研究旨在评估迷迭香叶(DM)水醇提取物对脑室内注射链脲佐菌素(ICV-STZ)诱导的AD大鼠模型的认知障碍、生物标志物变化及假定代谢途径的神经保护作用。基于比色法和高效液相色谱(HPLC)法检测总酚、总黄酮、迷迭香酸和槲皮素的含量,对DM提取物进行标准化和定量分析。通过2,2-二苯基-1-苦基肼自由基清除试验和一氧化氮自由基清除试验评估提取物的抗氧化潜力。雄性Wistar大鼠注射STZ(3 mg/kg,单剂量,双侧脑室内注射)以诱导散发性AD(sAD)模型。模型诱导后,大鼠口服DM提取物(100、200和400 mg/kg/天)或多奈哌齐(5 mg/kg/天),持续21天。使用放射状臂水迷宫行为试验评估认知功能。在皮质和海马区进行组织病理学评估。采用基质辅助激光解吸/电离飞行时间质谱(MALDI-TOF MS)评估不同脑区的代谢物变化。行为学和组织病理学研究表明,DM提取物显著减轻了ICV-STZ诱导的认知功能障碍。在该模型中首次同时在sAD大鼠脑中鉴定出32种与氨基酸代谢、谷氨酸/γ-氨基丁酸/谷氨酰胺循环、核苷酸代谢、脂质代谢(甘油磷脂、鞘磷脂、神经酰胺、磷脂酰丝氨酸和前列腺素)以及葡萄糖代谢途径相关的差异代谢物。DM提取物中的多酚可能有助于调节这些途径。用DM提取物处理后,在sAD大鼠模型的脑组织中,32种已鉴定代谢物中的10种发生了改变,最常见于200和400 mg/kg剂量组。总之,本研究通过上调/下调sAD中ICV-STZ诱导的各种病理生理生物标志物,如腺嘌呤、甘油磷酸甘油、肌苷、前列腺素和鞘磷脂,证明了DM的神经保护潜力。这些发现与认知行为结果和组织病理学结果一致。

https://cdn.ncbi.nlm.nih.gov/pmc/blobs/50da/11840490/7ba29cf879d6/ga1.jpg

文献AI研究员

20分钟写一篇综述,助力文献阅读效率提升50倍。

立即体验

用中文搜PubMed

大模型驱动的PubMed中文搜索引擎

马上搜索

文档翻译

学术文献翻译模型,支持多种主流文档格式。

立即体验