Suppr超能文献

用于癌症光免疫治疗的分子模拟辅助自佐剂纳米放大器

Molecular simulation-aided self-adjuvanting nanoamplifier for cancer photoimmunotherapy.

作者信息

Gu Junmou, Zhu Rongtao, Liang Ruopeng, Wang Weijie, Li Jian, Zhao Senfeng, Wu Yahui, Cao Jiahui, Yang Shihua, Sun Yuling

机构信息

Department of Hepatobiliary and Pancreatic Surgery, The First Affiliated Hospital of Zhengzhou University, Zhengzhou, China.

Institute of Hepatobiliary and Pancreatic Diseases, Zhengzhou University, Zhengzhou, 450052, China.

出版信息

Theranostics. 2025 Jan 20;15(6):2451-2469. doi: 10.7150/thno.102653. eCollection 2025.

Abstract

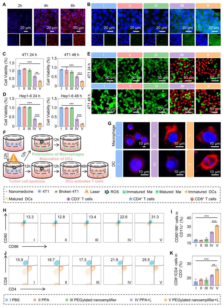
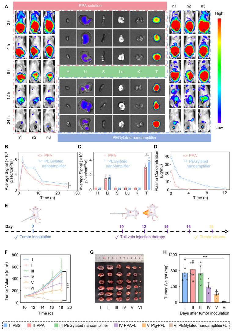
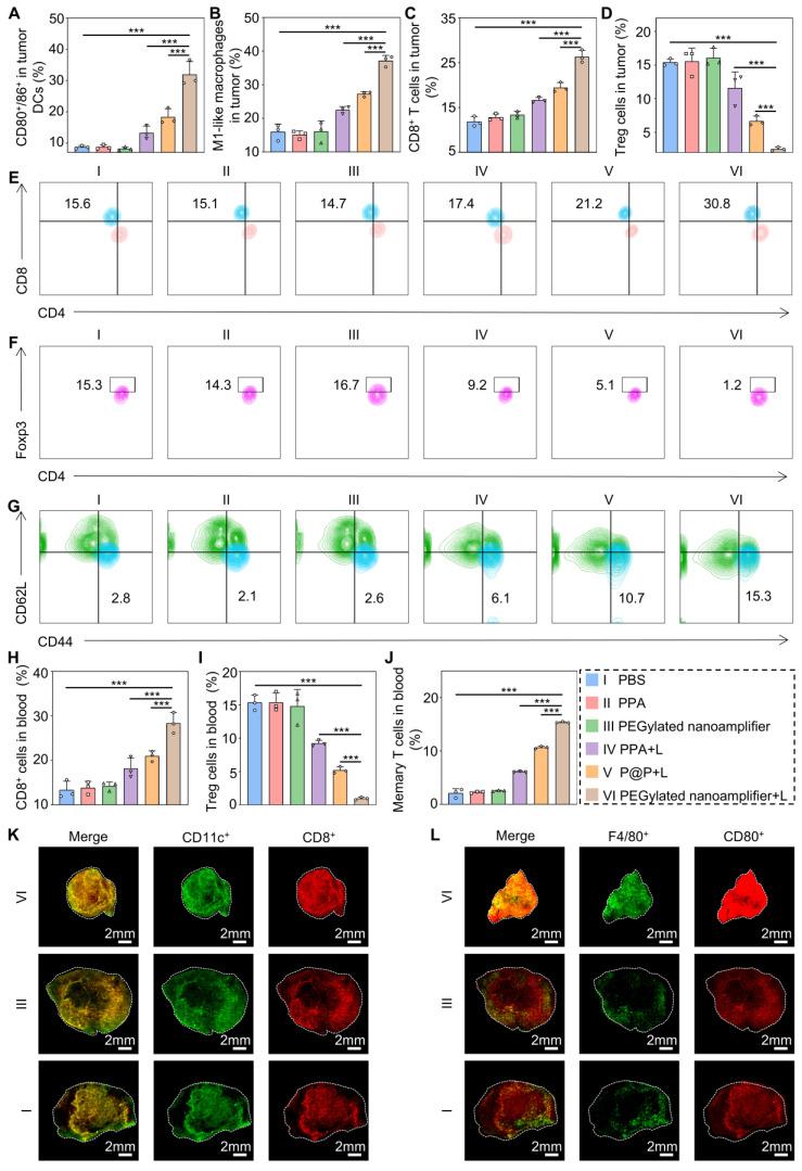
: By leveraging the power of photodynamic therapy (PDT), photosensitizers eliminate cancer cells under specific laser irradiation and trigger systemic immune responses, a potent strategy in tumor immunotherapy. However, the accompanying tumor microenvironment induces immunosuppression, restricting the efficacy of PDT. : Computer-aided screening was used to identify adjuvants, followed by flow cytometry analysis to assess the activation levels of various immune cells in both and experiments. Cytotoxicity assays were conducted to evaluate the impact of the nanomaterials on tumor cells. Pharmacokinetic studies were performed to observe the drug concentration . The efficacy of the nanomaterials was further tested using tumor, metastasis, and organoid models. : we first utilized computational simulations and experimental validations to identify Vit K2 as an adjuvant with a high affinity for Toll-like receptor (TLR) agonist ligands; Vit K2 effectively activated antigen-presenting cells, including dendritic cells (DCs) and macrophages, and promoted their maturation through the TLR pathways. The precisely engineered nanoamplifier with on-demand pyropheophorbide a (PPA) release ability could notably kill the primary tumor. Vit K2-activated macrophages and DCs matured, promoting antigen presentation and CD8 T cell activation. As anticipated, the nanoamplifier exhibited significant anti-tumor effects in primary/distal breast tumors, lung metastatic breast cancer, and patient-derived organoid models. : Our research findings demonstrate that the nanoparticles formed by the computer-aided screened adjuvant, Vit K2, and the photosensitizer PPA achieved significant anti-tumor activity and immune microenvironment remodeling.

摘要

通过利用光动力疗法(PDT)的力量,光敏剂在特定激光照射下消除癌细胞并触发全身免疫反应,这是肿瘤免疫治疗中的一种有效策略。然而,随之而来的肿瘤微环境会诱导免疫抑制,限制了PDT的疗效。:采用计算机辅助筛选来确定佐剂,随后进行流式细胞术分析以评估在体内和体外实验中各种免疫细胞的激活水平。进行细胞毒性测定以评估纳米材料对肿瘤细胞的影响。进行药代动力学研究以观察药物浓度。使用体内肿瘤、转移和类器官模型进一步测试纳米材料的疗效。:我们首先利用计算模拟和实验验证来确定维生素K2作为对Toll样受体(TLR)激动剂配体具有高亲和力的佐剂;维生素K2有效地激活了包括树突状细胞(DC)和巨噬细胞在内的抗原呈递细胞,并通过TLR途径促进它们的成熟。具有按需释放焦脱镁叶绿酸a(PPA)能力的精确工程化纳米放大器可以显著杀死原发性肿瘤。维生素K2激活的巨噬细胞和DC成熟,促进抗原呈递和CD8 T细胞激活。正如预期的那样,纳米放大器在原发性/远处乳腺肿瘤、肺转移性乳腺癌和患者来源的类器官模型中表现出显著的抗肿瘤作用。:我们的研究结果表明,由计算机辅助筛选的佐剂维生素K2和光敏剂PPA形成的纳米颗粒实现了显著的抗肿瘤活性和免疫微环境重塑。

https://cdn.ncbi.nlm.nih.gov/pmc/blobs/4169/11840747/f0c20b4b3a5e/thnov15p2451g001.jpg

文献AI研究员

20分钟写一篇综述,助力文献阅读效率提升50倍。

立即体验

用中文搜PubMed

大模型驱动的PubMed中文搜索引擎

马上搜索

文档翻译

学术文献翻译模型,支持多种主流文档格式。

立即体验