Suppr超能文献

胰腺神经内分泌肿瘤的放射学变异性:一项关于非典型表现和诊断挑战的10年单中心研究

Radiological Variability in Pancreatic Neuroendocrine Neoplasms: A 10-Year Single-Center Study on Atypical Presentations and Diagnostic Challenges.

作者信息

Danek Eleanor, Kavnoudias Helen, McLean Catriona, Gerstenmaier Jan F, Di Muzio Bruno

机构信息

Department of Radiology, The Alfred Hospital, Melbourne, VIC 3004, Australia.

Department of Anatomical Pathology, The Alfred Hospital, Melbourne, VIC 3004, Australia.

出版信息

Biomedicines. 2025 Feb 17;13(2):496. doi: 10.3390/biomedicines13020496.

Abstract

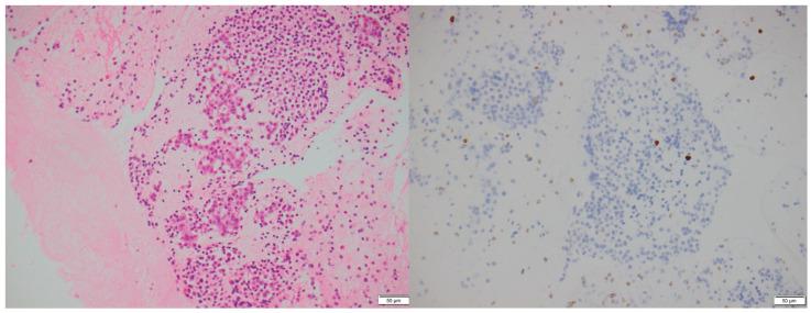
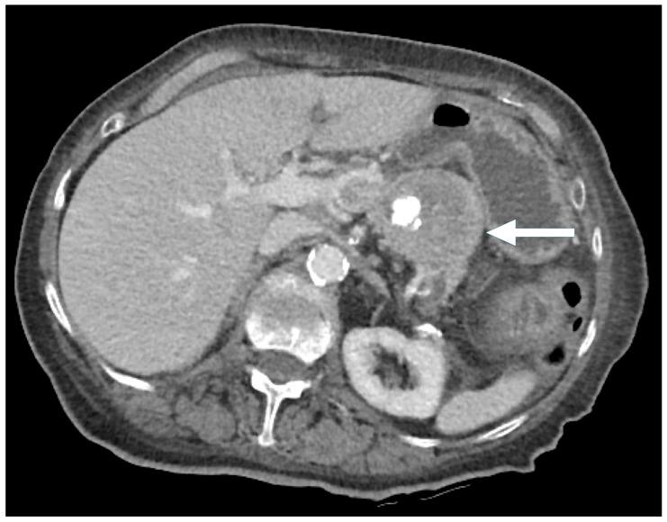
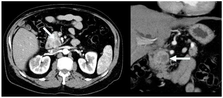
Pancreatic neuroendocrine neoplasms (PNENs) are rare but clinically significant tumors with variable radiological presentations that complicate diagnosis. While typical PNENs are well characterized, atypical features, such as cystic or hypoenhancing patterns, are less understood and can lead to diagnostic delays or misdiagnosis. This study aimed to evaluate atypical radiological presentations of PNENs, focusing on their impact on diagnostic pathways and differentiation from other pancreatic pathologies. A retrospective review was conducted of all PNEN cases diagnosed at a single tertiary center between 2010 and 2020. Cases with histopathological confirmation and available cross-sectional imaging were included. Radiological features were categorized as typical (solid and hyperenhancing) or atypical (cystic and hypoenhancing). Demographic, radiological, and pathological data were analyzed. Comparisons between typical and atypical PNENs were performed using descriptive and inferential statistics. Among 77 PNEN cases, 39 met the inclusion criteria. Atypical radiological presentations were identified in 46% of cases, including cystic (18%) and hypoenhancing (28%) lesions. Hypoenhancing PNENs were significantly more likely to present with advanced disease (54% vs. 14% in typical PNENs, = 0.016). In contrast, none of the cystic PNENs exhibited advanced disease. Atypical PNENs posed greater diagnostic challenges, with alternative diagnoses initially considered in 64% of hypoenhancing and 43% of cystic cases compared to 10% of typical PNENs ( = 0.0042). Atypical PNENs, particularly hypoenhancing lesions, present significant diagnostic challenges and are more likely to be associated with advanced disease. These findings highlight the need for improved recognition of atypical imaging patterns and more precise diagnostic strategies. However, the retrospective design and small cohort size limit the generalizability of our findings. Further multicenter studies are warranted to refine the imaging criteria and optimize the differentiation from other pancreatic neoplasms.

摘要

胰腺神经内分泌肿瘤(PNENs)虽罕见,但具有临床意义,其放射学表现多样,使诊断变得复杂。典型的PNENs特征明确,但非典型特征,如囊性或强化减弱模式,了解较少,可能导致诊断延迟或误诊。本研究旨在评估PNENs的非典型放射学表现,重点关注其对诊断途径的影响以及与其他胰腺病变的鉴别。对2010年至2020年在单个三级中心诊断的所有PNEN病例进行了回顾性研究。纳入有组织病理学证实且有横断面影像资料的病例。放射学特征分为典型(实性且强化明显)或非典型(囊性且强化减弱)。对人口统计学、放射学和病理学数据进行分析。使用描述性和推断性统计对典型和非典型PNENs进行比较。在77例PNEN病例中,39例符合纳入标准。46%的病例发现有非典型放射学表现,包括囊性病变(18%)和强化减弱病变(%)。强化减弱的PNENs出现晚期疾病的可能性显著更高(54%,而典型PNENs为14%,P = 0.016)。相比之下,囊性PNENs均未出现晚期疾病。非典型PNENs带来更大的诊断挑战,与典型PNENs的10%相比,64%的强化减弱病例和43%的囊性病例最初考虑了其他诊断(P = 0.0042)。非典型PNENs,尤其是强化减弱病变,带来显著的诊断挑战,且更可能与晚期疾病相关。这些发现凸显了提高对非典型影像模式的认识以及采用更精确诊断策略的必要性。然而,回顾性设计和小样本队列限制了我们研究结果的普遍性。有必要进行进一步的多中心研究以完善影像标准并优化与其他胰腺肿瘤的鉴别。

https://cdn.ncbi.nlm.nih.gov/pmc/blobs/567d/11853254/1610e880833f/biomedicines-13-00496-g001.jpg

文献AI研究员

20分钟写一篇综述,助力文献阅读效率提升50倍。

立即体验

用中文搜PubMed

大模型驱动的PubMed中文搜索引擎

马上搜索

文档翻译

学术文献翻译模型,支持多种主流文档格式。

立即体验