Suppr超能文献

帕博利珠单抗作为弥漫性恶性腹膜间皮瘤的有效治疗方法并实现长期生存:一例病例报告及文献综述

Pembrolizumab as an effective treatment for diffuse malignant peritoneal mesothelioma with long‑term survival: A case report and literature review.

作者信息

Xue Chongxiang, Dong Zhe, Tan Kexin, Zhang Xu, Yu Yixuan, Wang Shuo, Zheng Jiabin, Cui Huijuan

机构信息

School of Clinical Medicine, Beijing University of Chinese Medicine, Beijing 100029, P.R. China.

Department of Integrative Oncology, China-Japan Friendship Hospital, Beijing 100029, P.R. China.

出版信息

Oncol Lett. 2025 Feb 13;29(4):187. doi: 10.3892/ol.2025.14933. eCollection 2025 Apr.

Abstract

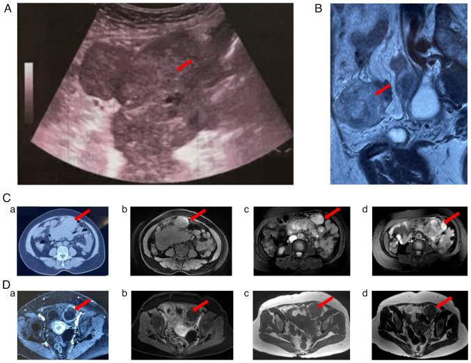
Primary diffuse malignant peritoneal mesothelioma (MPEM) is a malignant disease without standard treatments recommended. Recently, immunotherapy has revolutionized the field of tumor therapy. According to current clinical evidence, advanced MPEM may gain potential clinical benefits from immune checkpoint inhibitors. The present study reported a 61-year-old female patient with persistent low fever as the initial symptom, who was eventually diagnosed with MPEM. This patient obtained significant clinical benefits from pembrolizumab, with disappearance of symptoms, a lasting stable disease response with a progression-free survival of 10.0 months and a long overall survival of 26.2 months. The application of pembrolizumab was explored as an emerging effective treatment for patients with MPEM. In addition, the clinical characteristics, diagnosis, treatment, pathogenesis and target regulation in MPEM were discussed and previous studies were reviewed. Further evidence is needed from future extensive clinical trials.

摘要

原发性弥漫性恶性腹膜间皮瘤(MPEM)是一种尚无推荐标准治疗方法的恶性疾病。近年来,免疫疗法彻底改变了肿瘤治疗领域。根据目前的临床证据,晚期MPEM患者可能从免疫检查点抑制剂中获得潜在的临床益处。本研究报告了一名以持续低热为首发症状的61岁女性患者,最终被诊断为MPEM。该患者使用帕博利珠单抗后获得了显著的临床益处,症状消失,疾病持续稳定缓解,无进展生存期达10.0个月,总生存期长达26.2个月。本研究探讨了帕博利珠单抗作为MPEM患者一种新兴有效治疗方法的应用情况。此外,还讨论了MPEM的临床特征、诊断、治疗、发病机制和靶点调控,并对既往研究进行了综述。未来还需要更多广泛的临床试验提供进一步的证据。

https://cdn.ncbi.nlm.nih.gov/pmc/blobs/62ed/11894505/825d1d13e226/ol-29-04-14933-g00.jpg

文献AI研究员

20分钟写一篇综述,助力文献阅读效率提升50倍。

立即体验

用中文搜PubMed

大模型驱动的PubMed中文搜索引擎

马上搜索

文档翻译

学术文献翻译模型,支持多种主流文档格式。

立即体验