Suppr超能文献

安罗替尼与化疗联合作为新辅助治疗在肺动脉内膜肉瘤治疗中的疗效:一例病例报告

Efficacy of anlotinib and chemotherapy combination as neoadjuvant therapy in the treatment of pulmonary artery intimal sarcoma: a case report.

作者信息

Liang Gai, Zhang Qu, Luo Yan, Zhao Yuanhua, Luo Bo

机构信息

Department of Radiation Oncology, Hubei Cancer Hospital, TongJi Medical College, Huazhong University of Science and Technology, Wuhan, China.

出版信息

Front Oncol. 2025 Feb 26;15:1507281. doi: 10.3389/fonc.2025.1507281. eCollection 2025.

Abstract

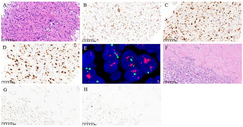
Pulmonary arterial intimal sarcoma (PAIS) is a rare malignant mesenchymal tumor often associated with an unfavorable prognosis and lacks a standardized treatment approach to date. This report presents a notable case of PAIS treated with neoadjuvant therapy involving anlotinib concomitantly administered with chemotherapy of ifosfamide and pirarubicin, which resulted in a favorable outcome. A 38-year-old man was admitted to our hospital with chest tightness, cough, and dyspnea, all of which had persisted for more than a week. Initial evaluation via chest computed tomography (CT) revealed a sizable posterior mediastinal tumor measuring 11.9 × 7.6 cm. A CT-guided biopsy was performed, and pathological findings confirmed the diagnosis of PAIS. Efficacy evaluation showed slow progress after one cycle of chemotherapy with ifosfamide and pirarubicin. To enhance treatment outcomes, we incorporated anlotinib as a neoadjuvant therapy alongside ifosfamide and pirarubicin. Subsequent CT imaging demonstrated a significant reduction in tumor size, and the patient experienced notable alleviation of symptoms. The patient then underwent surgery, radiation, and subsequently, maintenance treatment with anlotinib for one year. No severe drug-related side effects were observed. The patient achieved progression-free survival of 25 months following administration of anlotinib. Thus, the combination of anlotinib with ifosfamide and pirarubicin demonstrated significant efficacy and safety. This approach holds promise as an effective therapeutic strategy for managing unresectable, locally advanced, or advanced PAIS. However, further clinical studies are necessary to validate these findings.

摘要

肺动脉内膜肉瘤(PAIS)是一种罕见的恶性间叶组织肿瘤,通常预后不良,且迄今为止缺乏标准化的治疗方法。本报告介绍了一例值得注意的PAIS病例,该病例采用了新辅助治疗,将安罗替尼与异环磷酰胺和吡柔比星化疗联合使用,取得了良好的治疗效果。一名38岁男性因胸闷、咳嗽和呼吸困难入院,这些症状持续了一周多。胸部计算机断层扫描(CT)初步评估显示,后纵隔有一个较大的肿瘤,大小为11.9×7.6厘米。进行了CT引导下活检,病理结果确诊为PAIS。疗效评估显示,使用异环磷酰胺和吡柔比星进行一个周期化疗后病情进展缓慢。为提高治疗效果,我们将安罗替尼作为新辅助治疗药物与异环磷酰胺和吡柔比星联合使用。随后的CT成像显示肿瘤大小显著缩小,患者症状明显缓解。患者随后接受了手术、放疗,随后使用安罗替尼进行了一年的维持治疗。未观察到严重的药物相关副作用。使用安罗替尼后,患者实现了25个月的无进展生存期。因此,安罗替尼与异环磷酰胺和吡柔比星联合使用显示出显著的疗效和安全性。这种方法有望成为治疗不可切除、局部晚期或晚期PAIS的有效治疗策略。然而,需要进一步的临床研究来验证这些发现。

https://cdn.ncbi.nlm.nih.gov/pmc/blobs/0e49/11897571/cd6bad51114e/fonc-15-1507281-g001.jpg

文献AI研究员

20分钟写一篇综述,助力文献阅读效率提升50倍。

立即体验

用中文搜PubMed

大模型驱动的PubMed中文搜索引擎

马上搜索

文档翻译

学术文献翻译模型,支持多种主流文档格式。

立即体验