Suppr超能文献

从污水中筛选和鉴定产聚羟基脂肪酸酯(PHA)细菌,确定炭疽芽孢杆菌RSKS-3用于生物塑料生产。

Screening and characterization of PHA producing bacteria from sewage water identifying Bacillus paranthracis RSKS-3 for bioplastic production.

作者信息

Sachan Rohan Samir Kumar, Kumar Abhinav, Karnwal Arun, Paramasivam Prabhu, Agrawal Ashish, Ayanie Abinet Gosaye

机构信息

Department of Microbiology, School of Bioengineering and Biosciences, Lovely Professional University, Phagwara, Punjab, 144411, India.

Department of Medical Laboratory Sciences, School of Allied and Healthcare Sciences, GNA University, Phagwara-144401, Punjab, India.

出版信息

BMC Microbiol. 2025 Mar 14;25(1):136. doi: 10.1186/s12866-025-03841-8.

Abstract

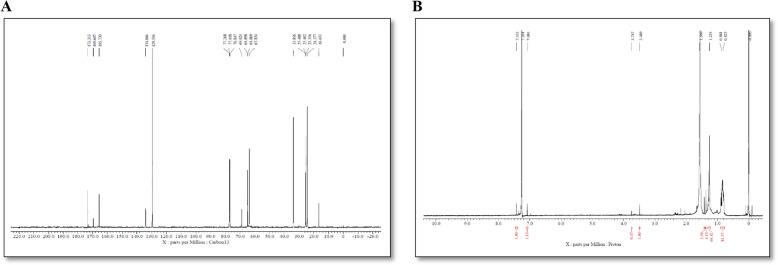
Polyhydroxyalkanoate (PHA) as bioplastic is considered a replacement for conventional plastic due to its more beneficial properties. The ability of PHA to biodegrade in a shorter period is a major advantage. Different sewage water samples were collected from the Budha Nala near the Maheru regions of Punjab. PHA-producing bacteria were isolated using minimal salt media supplemented with Nile blue. Further screening was carried out using Sudan Black B stain and Nile red stain. The positive isolates were characterized for gram reaction, motility, and biochemical tests. The individual isolates were later screened for maximum PHA accumulation using minimal salt supplemented with glucose. The extracted PHA was characterized using FTIR, XRD, SEM, UV spectroscopy, NMR, and TGA. Twenty-six different PHA-producing bacteria were isolated on minimal salt media supplemented with Nile blue. Upon Sudan Black B stain and Nile red stain, nineteen isolates showed black granules and orange fluorescence bodies under 100X magnification that confirmed polyhydroxyalkanoates. The biochemical tests partially characterized isolates belonging to the Bacillus genus. All the isolates produced PHA in granular form, however, isolate P-3 showed maximum production of 0.068 g/L. The extracted PHA was characterized using FTIR and XRD for its chemical and crystallinity studies and the UV spectroscopy confirmed the extracted PHA by analyzing absorption spectra at 235 nm of standard crotonic acid and sulfuric acid conversion of PHA to crotonic acid. The isolated P-3, Bacillus paranthracis RSKS-3 is the first reported bacterium to produce polyhydroxyalkanoates. Further studies is necessary to optimize the production efficiency of the bacterium for maximum PHA yield.

摘要

聚羟基脂肪酸酯(PHA)作为生物塑料,因其更有益的特性而被视为传统塑料的替代品。PHA在较短时间内生物降解的能力是一个主要优势。从旁遮普邦马赫鲁地区附近的布达纳拉收集了不同的污水样本。使用添加了尼罗蓝的最低盐培养基分离出产生PHA的细菌。进一步使用苏丹黑B染色和尼罗红染色进行筛选。对阳性分离株进行革兰氏反应、运动性和生化测试的鉴定。随后使用添加了葡萄糖的最低盐培养基对各个分离株进行最大PHA积累的筛选。使用傅里叶变换红外光谱(FTIR)、X射线衍射(XRD)、扫描电子显微镜(SEM)、紫外光谱、核磁共振(NMR)和热重分析(TGA)对提取的PHA进行表征。在添加了尼罗蓝的最低盐培养基上分离出了26种不同的产生PHA的细菌。经苏丹黑B染色和尼罗红染色后,19个分离株在100倍放大倍数下显示出黑色颗粒和橙色荧光体,证实了聚羟基脂肪酸酯的存在。生化测试部分鉴定了属于芽孢杆菌属的分离株。所有分离株均产生颗粒形式的PHA,然而,分离株P-3的产量最高,为0.068 g/L。使用FTIR和XRD对提取的PHA进行化学和结晶度研究表征,紫外光谱通过分析标准巴豆酸在235 nm处的吸收光谱以及PHA转化为巴豆酸的硫酸转化率来确认提取的PHA。分离出的P-3,即炭疽芽孢杆菌RSKS-3,是首次报道的产生聚羟基脂肪酸酯的细菌。有必要进一步研究以优化该细菌的生产效率,实现最大PHA产量。

https://cdn.ncbi.nlm.nih.gov/pmc/blobs/4932/11908031/242723b94e03/12866_2025_3841_Fig1_HTML.jpg

文献AI研究员

20分钟写一篇综述,助力文献阅读效率提升50倍。

立即体验

用中文搜PubMed

大模型驱动的PubMed中文搜索引擎

马上搜索

文档翻译

学术文献翻译模型,支持多种主流文档格式。

立即体验