Suppr超能文献

脊柱不稳定在治疗不稳定感染性骨折中的作用

The Role of Spinal Instability in Treating Unstable Infected Fractures.

作者信息

Garda James, Shah Prashant, Vance Awais Z

机构信息

Neurosurgery, Baylor College of Medicine, Temple, USA.

Cardiothoracic Surgery, Baylor Scott and White Medical Center - Temple, Temple, USA.

出版信息

Cureus. 2025 Feb 13;17(2):e78966. doi: 10.7759/cureus.78966. eCollection 2025 Feb.

Abstract

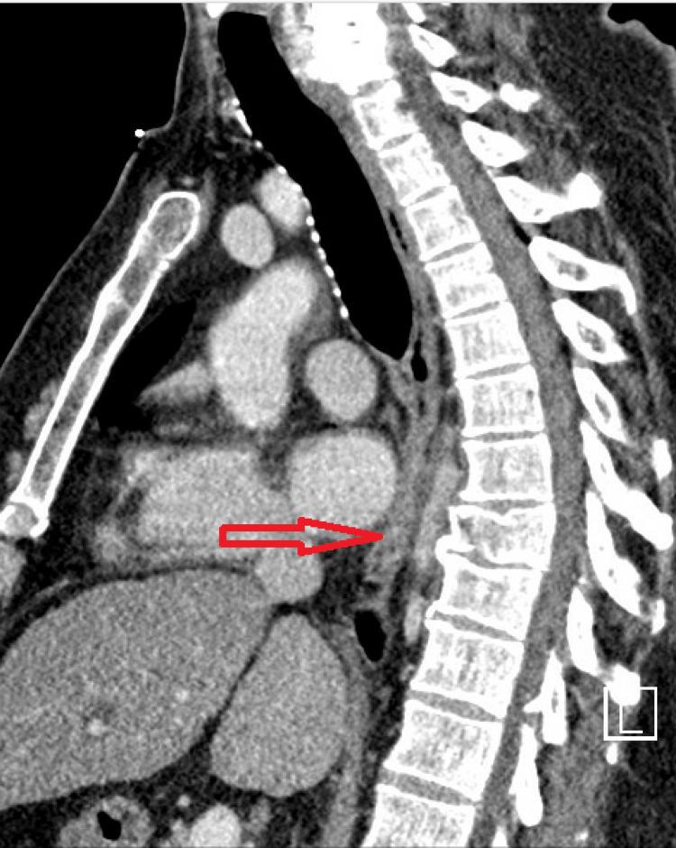
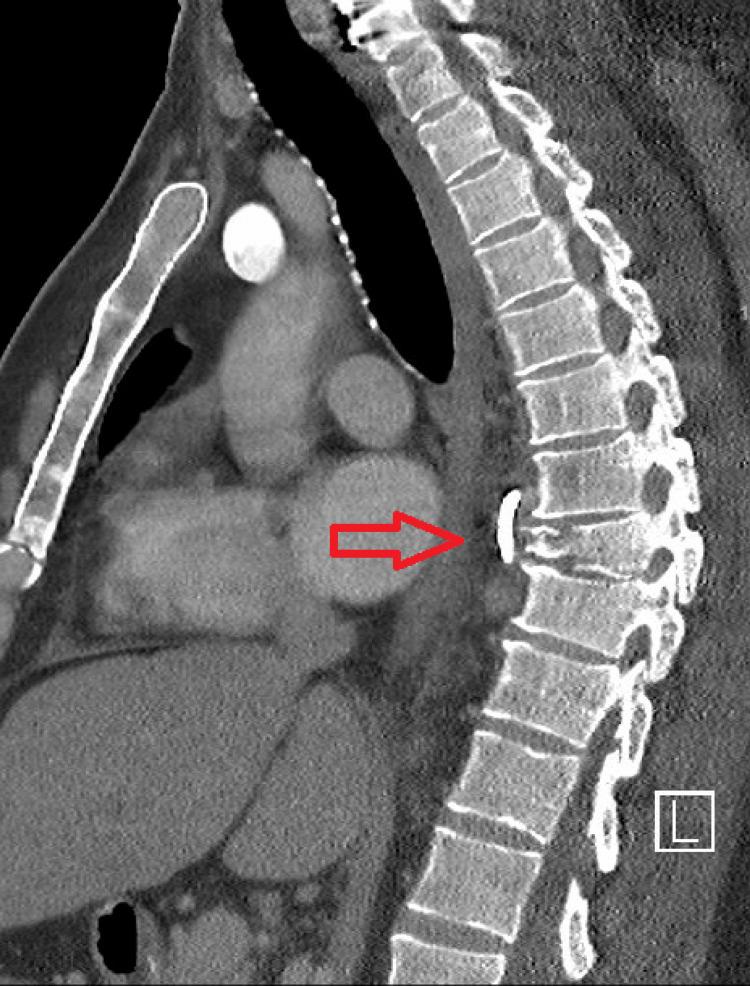
Vertebral (spinal) osteomyelitis is a rare spinal infection of the vertebral column that can be caused by bacteria or fungi. Though the initial treatment for all patients with vertebral osteomyelitis consists of antibiotics, surgery can be indicated in certain cases, such as in the presence of spinal instability or when antibiotics are not successfully eliminating the infection. Achieving spinal stability can be an important component of treating fracture-related infections, as instability can cause local damage and disrupt the healing process. The authors present the case of a patient with vertebral osteomyelitis that was not resolving with the administration of antibiotics in the context of a spinal fracture. A minimally invasive surgery was performed to achieve spinal stability and the infection soon resolved with antibiotics.

摘要

脊椎骨髓炎是一种罕见的脊柱感染疾病,可由细菌或真菌引起。虽然所有脊椎骨髓炎患者的初始治疗都包括使用抗生素,但在某些情况下,如存在脊柱不稳定或抗生素未能成功消除感染时,可能需要进行手术。实现脊柱稳定是治疗骨折相关感染的重要组成部分,因为不稳定会导致局部损伤并干扰愈合过程。作者介绍了一例脊椎骨髓炎患者的病例,该患者在脊柱骨折的情况下使用抗生素治疗后病情未得到缓解。通过微创手术实现了脊柱稳定,随后感染在使用抗生素后很快得到解决。

https://cdn.ncbi.nlm.nih.gov/pmc/blobs/47ec/11910385/7c6f68e3b02a/cureus-0017-00000078966-i01.jpg

文献AI研究员

20分钟写一篇综述,助力文献阅读效率提升50倍。

立即体验

用中文搜PubMed

大模型驱动的PubMed中文搜索引擎

马上搜索

文档翻译

学术文献翻译模型,支持多种主流文档格式。

立即体验