Suppr超能文献

通过用叶提取物处理来恢复醋酸铅诱导的大鼠的精子质量。

Restoration of sperm quality in lead acetate-induced rats via treatment with leaf extract.

作者信息

Wurlina Wurlina, Mustofa Imam, Meles Dewa Ketut, Khairullah Aswin Rafif, Akintunde Adeyinka Oye, Rachmawati Kadek, Suwasanti Niluh, Putra Dewa Made Sucipta, Mulyati Sri, Utama Suzanita, Khoiriyah Ulul, Tyarraushananda Defvyanto Baich R, Heriana Sila Faredy, Riwu Katty Hendriana Priscilia, Ahmad Riza Zainuddin, Riwu Audrey Gracelia

机构信息

Division of Veterinary Reproduction, Faculty of Veterinary Medicine, Universitas Airlangga, Surabaya, Indonesia.

Division of Basic Veterinary Medicine, Faculty of Veterinary Medicine, Universitas Airlangga, Surabaya, Indonesia.

出版信息

Open Vet J. 2025 Jan;15(1):416-427. doi: 10.5455/OVJ.2025.v15.i1.37. Epub 2025 Jan 31.

Abstract

BACKGROUND

Lead intoxication triggers testicular toxicity via oxidative stress.

AIM

This study aimed to explore the antioxidant potential of leaf extract (MOLE) in enhancing the semen quality of rats exposed to lead acetate.

METHODS

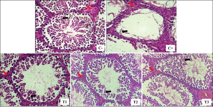
Twenty-five healthy rats were randomly and equally divided into five groups. Group C served as the negative control, whereas group C+ was exposed to lead acetate at 50-mg/kg body weight (BW)/day without MOLE. The T1, T2, and T3 groups were exposed to lead acetate at 50-mg/kg BW and concurrently received MOLE at doses of 200-, 316-, and 500-mg/kg BW/day, respectively, for 20 days. On the 21st day, all rats were euthanized for blood collection and testicle harvesting.

RESULTS

The result showed that exposure to lead acetate at 50-mg/kg BW/day in group C+ led to significant decreases ( < 0.05) in superoxide dismutase (SOD) levels, plasma membrane integrity, Leydig and Sertoli cell counts, spermatozoa numbers, sperm motility, and live spermatozoa, as well as significant increases ( < 0.05) in malondialdehyde levels and apoptotic and necrotic sperm, compared with control group C-. The administration of MOLE to rats exposed to lead acetate resulted in improvement in all of these variables. However, SOD and testosterone levels, as well as spermatozoa numbers, viability, apoptosis, and necrosis, did not recover in group T3 ( < 0.05) compared with control group C-.

CONCLUSION

MOLE effectively restores sperm quality in lead acetate-induced rats.

摘要

背景

铅中毒通过氧化应激引发睾丸毒性。

目的

本研究旨在探讨叶提取物(MOLE)在提高醋酸铅暴露大鼠精液质量方面的抗氧化潜力。

方法

将25只健康大鼠随机等分为五组。C组作为阴性对照,而C +组以50 mg/kg体重(BW)/天的剂量暴露于醋酸铅,且不给予MOLE。T1、T2和T3组以50 mg/kg BW的剂量暴露于醋酸铅,同时分别以200、316和500 mg/kg BW/天的剂量给予MOLE,持续20天。在第21天,对所有大鼠实施安乐死以采集血液和摘取睾丸。

结果

结果显示,与C -对照组相比,C +组以50 mg/kg BW/天的剂量暴露于醋酸铅导致超氧化物歧化酶(SOD)水平、质膜完整性、睾丸间质细胞和支持细胞计数、精子数量、精子活力和活精子数量显著降低(<0.05),同时丙二醛水平以及凋亡和坏死精子显著增加(<0.05)。给醋酸铅暴露的大鼠施用MOLE后,所有这些变量均有所改善。然而,与C -对照组相比,T3组的SOD和睾酮水平以及精子数量、活力、凋亡和坏死情况并未恢复(<0.05)。

结论

MOLE可有效恢复醋酸铅诱导的大鼠的精子质量。

https://cdn.ncbi.nlm.nih.gov/pmc/blobs/358c/11910306/cdbcbe02178f/OpenVetJ-15-416-g001.jpg

文献AI研究员

20分钟写一篇综述,助力文献阅读效率提升50倍。

立即体验

用中文搜PubMed

大模型驱动的PubMed中文搜索引擎

马上搜索

文档翻译

学术文献翻译模型,支持多种主流文档格式。

立即体验