Suppr超能文献

血小板活化通过经典的血管内皮生长因子受体3信号通路经淋巴系统缓解肝门静脉高压。

Platelet activation relieves liver portal hypertension the lymphatic system though the classical vascular endothelial growth factor receptor 3 signaling pathway.

作者信息

Chen Min, Zhao Jin-Bo, Wu Guang-Bo, Wu Zheng-Hao, Luo Gu-Qing, Zhao Zhi-Feng, Zhang Chi-Hao, Lin Jia-Yun, Li Hong-Jie, Qi Xiao-Liang, Huo Hai-Zhong, Tuersun Abudukadier, Fan Qiang, Zheng Lei, Luo Meng

机构信息

Department of General Surgery, Ninth People's Hospital Affiliated to Shanghai Jiao Tong University, School of Medicine, Shanghai Jiao Tong University, Shanghai 200011, China.

Department of Urology, Renji Hospital, School of Medicine, Shanghai Jiao Tong University, Shanghai 200127, China.

出版信息

World J Gastroenterol. 2025 Mar 14;31(10):100194. doi: 10.3748/wjg.v31.i10.100194.

Abstract

BACKGROUND

Liver cirrhosis and portal hypertension (PHT) can lead to lymphatic abnormalities and coagulation dysfunction. Because lymphangiogenesis may relieve liver cirrhosis and PHT, the present study investigated the gene expression alterations in the lymphatic system and the effectiveness of platelet-mediated lymphangiogenesis in improving liver cirrhosis and PHT.

AIM

To investigate the role of lymphangiogenesis in preclinical PHT models.

METHODS

Immunohistochemistry and transcriptome sequencing of bile duct ligation (BDL) and control lymphatic samples were conducted to reveal the indicated signaling pathways. Functional enrichment analyses were performed on the differentially expressed genes and hub genes. Adenoviral infection of vascular endothelial growth factor C (VEGF-C), platelet-rich plasma (PRP), and VEGF3 receptor (VEGFR) inhibitor MAZ-51 was used as an intervention for the lymphatic system in PHT models. Histology, hemodynamic tests and western blot analyses were performed to demonstrate the effects of lymphatic intervention in PHT patients.

RESULTS

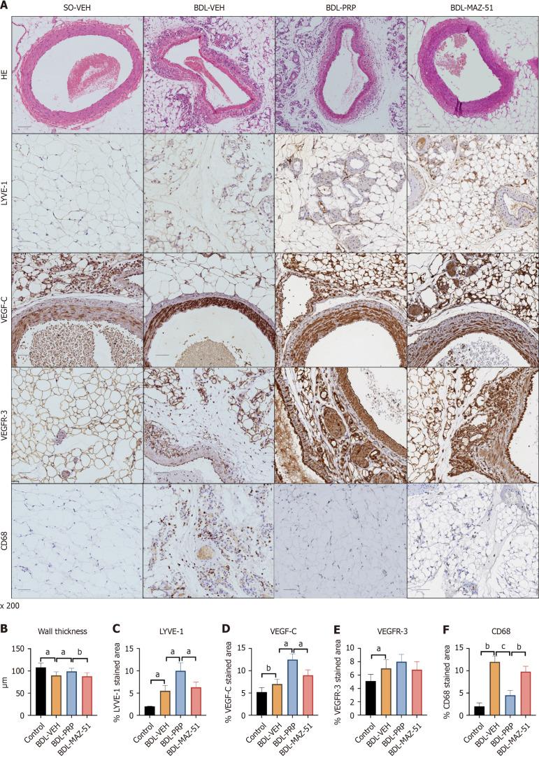
Lymphangiogenesis was increased in the BDL rat model. Transcriptome sequencing analysis of the extrahepatic lymphatic system revealed its close association with platelet adherence, aggregation, and activation. The role of PHT in the rat model was investigated by activating (PRP) and inhibiting (MAZ-51) the lymphatic system. PRP promoted lymphangiogenesis, which increased lymphatic drainage, alleviated portal pressure, reduced liver fibrosis, inhibited inflammation, inhibited angiogenesis, and suppressed mesenteric artery remodeling. MAZ-51 reversed the above improvements.

CONCLUSION

VEGF-C/VEGFR-3, platelets impede fibrosis, angiogenesis, and mesenteric artery remodeling, ultimately alleviating PHT. Thus, platelet intervention is a therapeutic approach for cirrhosis and PHT.

摘要

背景

肝硬化和门静脉高压(PHT)可导致淋巴系统异常和凝血功能障碍。由于淋巴管生成可能缓解肝硬化和PHT,本研究调查了淋巴系统中的基因表达变化以及血小板介导的淋巴管生成在改善肝硬化和PHT方面的有效性。

目的

研究淋巴管生成在临床前PHT模型中的作用。

方法

对胆管结扎(BDL)和对照淋巴样本进行免疫组织化学和转录组测序,以揭示相关信号通路。对差异表达基因和枢纽基因进行功能富集分析。使用血管内皮生长因子C(VEGF-C)、富血小板血浆(PRP)和VEGF3受体(VEGFR)抑制剂MAZ-51进行腺病毒感染,作为PHT模型中淋巴系统的干预措施。进行组织学、血流动力学测试和蛋白质免疫印迹分析,以证明淋巴干预对PHT患者的影响。

结果

BDL大鼠模型中淋巴管生成增加。肝外淋巴系统的转录组测序分析显示其与血小板黏附、聚集和激活密切相关。通过激活(PRP)和抑制(MAZ-51)淋巴系统来研究大鼠模型中PHT的作用。PRP促进淋巴管生成,增加淋巴引流,减轻门静脉压力,减少肝纤维化,抑制炎症,抑制血管生成,并抑制肠系膜动脉重塑。MAZ-51逆转了上述改善。

结论

VEGF-C/VEGFR-3、血小板可阻止纤维化、血管生成和肠系膜动脉重塑,最终缓解PHT。因此,血小板干预是治疗肝硬化和PHT的一种方法。

https://cdn.ncbi.nlm.nih.gov/pmc/blobs/d3cf/11886527/2f3556c04abd/100194-g001.jpg

文献AI研究员

20分钟写一篇综述,助力文献阅读效率提升50倍。

立即体验

用中文搜PubMed

大模型驱动的PubMed中文搜索引擎

马上搜索

文档翻译

学术文献翻译模型,支持多种主流文档格式。

立即体验