Suppr超能文献

苦杏仁苷在实验小鼠诱发的乳腺癌中的保护和化疗作用及相关基因的上调

The protective and chemotherapeutical role of amygdalin in induced mammary cancer in experimental mice and upregulation of related genes.

作者信息

Mageid Afaf D Abdel, Abdel-Wadoud Ibrahim M, Salim Elsayed I, Aljutaily Thamer, Barakat Hassan, Aljumayi Huda, Radhi Khadija S, Almutairi Sami O, Ebeid Tarek A

机构信息

Biochemistry and Molecular Biology, Faculty of Veterinary Medicine, Benha University, Moshtohor, 13736, Egypt.

Department of Zoology, Faculty of Science, Tanta University, Tanta, Egypt.

出版信息

Sci Rep. 2025 Mar 17;15(1):9131. doi: 10.1038/s41598-025-93620-2.

Abstract

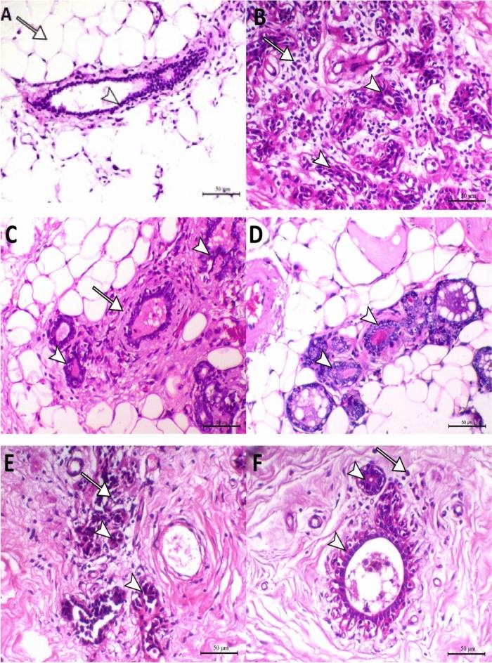
Breast cancer is a prominent health issue among oncological diseases in emerging nations. The study sought to assess the significant function of amygdalin as a protective and chemotherapeutical substance in combating this lethal condition, either independently or in conjunction with tamoxifen therapy. Breast cancer in mice was induced by 7,12-Dimethylbenz(a)anthracene (DMBA). Mice were divided into six groups, 15 mice in each group. (i) control group, (ii) carcinogenic group, (iii) tamoxifen-treated group, (iv) Amygdalin-treated group, (v) (Amygdalin + tamoxifen) group, (vi) Amygdalin protective group. Results revealed that DMBA-induced breast cancer caused a significant increase in biochemical parameters such as CEA, CA15.3, CA125, PRL, E2, urea, creatinine, ALT, AST, and ALP and a substantial increase in gene expression of TNF-α and BcL-2. In contrast, amygdalin administrations alone or in co-administration with tamoxifen could ameliorate breast cancer by declining TNF-α, BcL-2 and attenuating the biochemical parameters. Amygdalin administrations showed a significant increase in SOD and GPx antioxidants and upregulation of Caspase-3 and P53 in breast tissue. Moreover, flow cytometric analysis revealed that amygdalin administrations were correlated with CD20 and CD44 and promoted the cell cycle and apoptosis in carcinogenic mice. Indeed, the above results were confirmed by the histopathological examinations, which showed that the DMBA group had proliferated microductular carcinoma with marked mononuclear inflammatory cell infiltration, which decreased by the Amygdalin administrations. In conclusion, amygdalin administration may be effective in preventing breast cancer and exhibiting chemotherapeutic properties.

摘要

乳腺癌是新兴国家肿瘤疾病中一个突出的健康问题。该研究旨在评估苦杏仁苷作为一种保护性和化疗物质在对抗这种致命疾病中所起的重要作用,无论是单独使用还是与他莫昔芬联合治疗。通过7,12 - 二甲基苯并(a)蒽(DMBA)诱导小鼠患乳腺癌。将小鼠分为六组,每组15只。(i)对照组,(ii)致癌组,(iii)他莫昔芬治疗组,(iv)苦杏仁苷治疗组,(v)(苦杏仁苷 + 他莫昔芬)组,(vi)苦杏仁苷保护组。结果显示,DMBA诱导的乳腺癌导致癌胚抗原(CEA)、糖类抗原15 - 3(CA15.3)、糖类抗原125(CA125)、催乳素(PRL)、雌二醇(E2)、尿素、肌酐、谷丙转氨酶(ALT)、谷草转氨酶(AST)和碱性磷酸酶(ALP)等生化参数显著升高,以及肿瘤坏死因子 - α(TNF - α)和B细胞淋巴瘤 - 2(BcL - 2)的基因表达大幅增加。相比之下,单独使用苦杏仁苷或与他莫昔芬联合使用可通过降低TNF - α、BcL - 2以及减轻生化参数来改善乳腺癌。苦杏仁苷给药显示超氧化物歧化酶(SOD)和谷胱甘肽过氧化物酶(GPx)抗氧化剂显著增加,并且乳腺组织中半胱天冬酶 - 3(Caspase - 3)和P53上调。此外,流式细胞术分析显示苦杏仁苷给药与CD20和CD44相关,并促进致癌小鼠的细胞周期和细胞凋亡。实际上,上述结果通过组织病理学检查得到证实,该检查表明DMBA组出现了微导管癌增殖并伴有明显的单核炎性细胞浸润,而苦杏仁苷给药后这种情况有所减少。总之,苦杏仁苷给药可能对预防乳腺癌有效并具有化疗特性。

https://cdn.ncbi.nlm.nih.gov/pmc/blobs/8d83/11914690/4668d0a7c4c8/41598_2025_93620_Fig1_HTML.jpg

文献AI研究员

20分钟写一篇综述,助力文献阅读效率提升50倍。

立即体验

用中文搜PubMed

大模型驱动的PubMed中文搜索引擎

马上搜索

文档翻译

学术文献翻译模型,支持多种主流文档格式。

立即体验