Suppr超能文献

气道基底干细胞衍生的细胞外囊泡调节成纤维细胞的增殖、迁移和胶原沉积。

Airway basal stem cell-derived extracellular vesicles modulate proliferation, migration and collagen deposition of fibroblasts.

作者信息

Luo Lisi, Yang Huijie, Huang Junfeng, Chen Difei, He Yushan, Lin Jinsheng, Zeng Haikang, Hua Chu, Lin Zikai, Wu Minting, Ma Yuqin, Deng Qilin, Liu Ming, Li Shiyue

机构信息

Guangzhou Institute of Respiratory Health, State Key Laboratory of Respiratory Disease, National Clinical Research Center for Respiratory Disease, National Center for Respiratory Medicine, the First Affiliated Hospital of Guangzhou Medical University, Guangzhou, Guangdong, China.

Guangzhou National Laboratory, Guangzhou International Bio Island, No. 9 XingDaoHuanBei Road, Guangzhou, 510005, Guangdong Province, China.

出版信息

Stem Cell Res Ther. 2025 Mar 18;16(1):140. doi: 10.1186/s13287-025-04268-8.

Abstract

BACKGROUND

Human bronchial epithelial cell-derived extracellular vesicles have demonstrated the ability to attenuate fibroblasts activation. However, the specific key effector cell populations mediating this inhibitory effect remain unidentified. Airway basal stem cells (BSCs), which serve as progenitor cells for bronchial epithelial cells, play a critical role in fibrotic remodeling processes and possess significant therapeutic potential. This study aimed to characterize BSC-derived extracellular vesicles (BSC-EVs) and investigate their regulatory influence on fibroblasts behavior.

METHODS

Airway BSCs were collected through bronchoscopic brushing and differential centrifugation. Fibroblasts were subsequently treated with BSC-EVs at various concentrations to evaluate their dose- and time-dependent effects in vitro. The proteomic composition of BSC-EVs was analyzed using four-dimensional data-independent acquisition quantitative mass spectrometry (4D-DIA). Moreover, a bleomycin-induced pulmonary fibrosis model was established to evaluate the safety and preliminary efficacy of BSC-EVs.

RESULTS

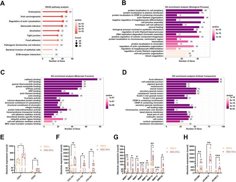
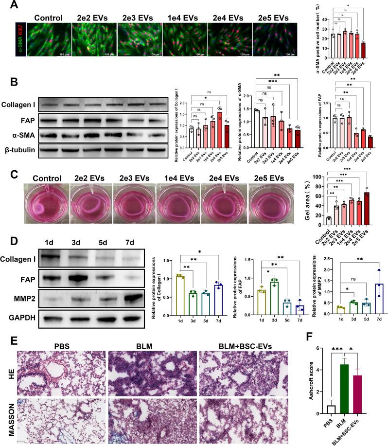
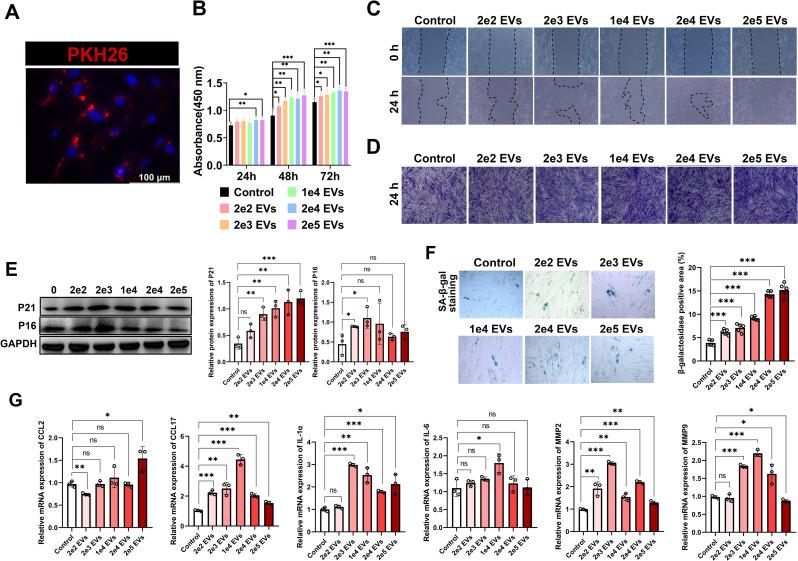
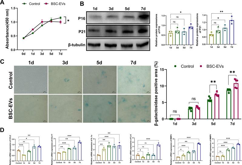
We successfully isolated and identified BSC-EVs, which expressed the nucleus-specific marker TP63, indicative of BSCs, but lacked the BSC marker KRT5. Our findings demonstrated that BSC-EVs enhanced fibroblasts proliferation and migration in a dose-dependent manner. Importantly, BSC-EVs significantly attenuated fibroblasts activation and promoted fibroblasts senescence. Utilizing 4D-DIA quantitative proteomics, we revealed that BSC-EVs modulate extracellular matrix remodeling processes and regulate the expression of key proteins, including collagen I/III and matrix metalloproteinases. Animal models utilizing intratracheal administration of BSC-EVs demonstrate efficient reduction of collagen deposition.

CONCLUSION

This study offers an extensive characterization of BSC-EVs, adhering to the guidelines set forth by MISEV2023. The findings underscore the significant therapeutic potential of BSC-EVs in the management of fibrotic diseases.

摘要

背景

人支气管上皮细胞衍生的细胞外囊泡已显示出减弱成纤维细胞活化的能力。然而,介导这种抑制作用的特定关键效应细胞群体仍未确定。气道基底干细胞(BSCs)作为支气管上皮细胞的祖细胞,在纤维化重塑过程中起关键作用,并具有显著的治疗潜力。本研究旨在表征BSC衍生的细胞外囊泡(BSC-EVs),并研究它们对成纤维细胞行为的调节影响。

方法

通过支气管镜刷检和差速离心收集气道BSCs。随后用不同浓度的BSC-EVs处理成纤维细胞,以评估其在体外的剂量和时间依赖性效应。使用四维数据非依赖采集定量质谱(4D-DIA)分析BSC-EVs的蛋白质组组成。此外,建立博来霉素诱导的肺纤维化模型,以评估BSC-EVs的安全性和初步疗效。

结果

我们成功分离并鉴定了BSC-EVs,其表达指示BSCs的细胞核特异性标志物TP63,但缺乏BSC标志物KRT5。我们的研究结果表明,BSC-EVs以剂量依赖性方式增强成纤维细胞的增殖和迁移。重要的是,BSC-EVs显著减弱成纤维细胞的活化并促进成纤维细胞衰老。利用4D-DIA定量蛋白质组学,我们发现BSC-EVs调节细胞外基质重塑过程并调节关键蛋白的表达,包括I/III型胶原蛋白和基质金属蛋白酶。气管内给予BSC-EVs的动物模型显示胶原蛋白沉积有效减少。

结论

本研究按照MISEV2023制定的指南对BSC-EVs进行了广泛表征。研究结果强调了BSC-EVs在纤维化疾病管理中的显著治疗潜力。

https://cdn.ncbi.nlm.nih.gov/pmc/blobs/c72d/11921531/cf372f671964/13287_2025_4268_Fig1_HTML.jpg

文献AI研究员

20分钟写一篇综述,助力文献阅读效率提升50倍。

立即体验

用中文搜PubMed

大模型驱动的PubMed中文搜索引擎

马上搜索

文档翻译

学术文献翻译模型,支持多种主流文档格式。

立即体验