Suppr超能文献

Notch2信号通过抑制嘌呤核苷酸代谢驱动心脏肥大。

Notch2 Signaling Drives Cardiac Hypertrophy by Suppressing Purine Nucleotide Metabolism.

作者信息

Wang Yuhong, Li Yizhe, Chen Shihong, Yu Tingting, Sun Weiyan, Liu Jiao, Ren Huiwen, Zhou Yao, Wang Lu, Tao Xixi, Du Ronglu, Shang Wenlong, Li Yinxiu, Tian Danyang, Wang Bei, Shen Yujun, Liu Qian, Yu Ying

机构信息

Department of Pharmacology, Tianjin Key Laboratory of Inflammatory Biology, Center for Cardiovascular Diseases, Key Laboratory of Immune Microenvironment and Disease (Ministry of Education), The Province and Ministry Co-sponsored Collaborative Innovation Center for Medical Epigenetics, State Key Laboratory of Experimental Hematology, School of Basic Medical Sciences, Tianjin Medical University, Tianjin, China.

Department of Cardiology, Tianjin Medical University General Hospital, Tianjin Medical University, Tianjin, China.

出版信息

Research (Wash D C). 2025 Mar 18;8:0635. doi: 10.34133/research.0635. eCollection 2025.

Abstract

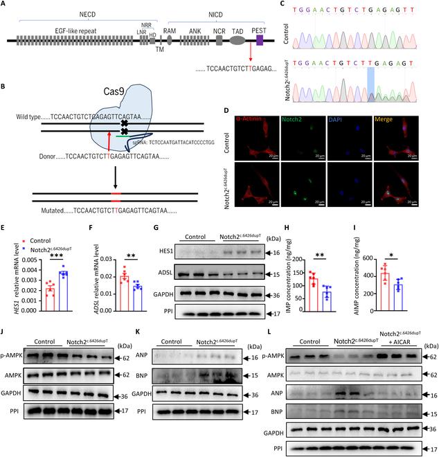
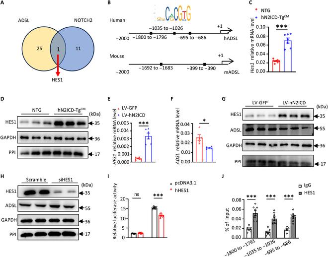
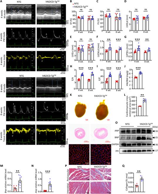
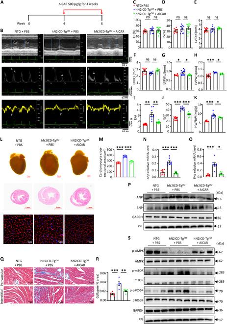
Gain-of-function mutations of Notch2 cause the rare autosomal dominant disorder known as Hajdu-Cheney syndrome (HCS). Most patients with HCS develop congenital heart disease; however, the precise mechanisms remain elusive. Here, a murine model expressing the human Notch2 intracellular domain (hN2ICD) in cardiomyocytes (hN2ICD-Tg) was generated and the mice spontaneously developed ventricular diastolic dysfunction with preserved ejection fraction and cardiac hypertrophy. Ectopic hN2ICD expression promoted cardiomyocyte hypertrophy by suppressing adenylosuccinate lyase (ADSL)-mediated adenosine 5'-monophosphate (AMP) generation, which further enhanced the activation of the mammalian target of rapamycin complex 1 pathway by reducing AMP-activated kinase activity. Hairy and enhancer of split 1 silencing abrogated hN2ICD-induced cardiomyocyte hypertrophy by increasing Adsl transcription. Importantly, pharmacological activation of AMP-activated kinase ameliorated cardiac hypertrophy and dysfunction in hN2ICD-Tg mice. The frameshift mutation in Notch2 exon 34 (c.6426dupT), which causes early-onset HCS, induces AC16 human cardiomyocyte hypertrophy through suppressing ADSL-mediated AMP generation. Thus, targeting Notch2-mediated purine nucleotide metabolism may be an attractive therapeutic approach to heart failure treatment.

摘要

Notch2的功能获得性突变会导致一种罕见的常染色体显性疾病,即哈伊杜-切尼综合征(HCS)。大多数HCS患者会患上先天性心脏病;然而,确切机制仍不清楚。在此,构建了一种在心肌细胞中表达人Notch2细胞内结构域(hN2ICD)的小鼠模型(hN2ICD-Tg),这些小鼠自发出现射血分数保留的心室舒张功能障碍和心脏肥大。异位hN2ICD表达通过抑制腺苷酸琥珀酸裂解酶(ADSL)介导的5'-单磷酸腺苷(AMP)生成来促进心肌细胞肥大,这通过降低AMP激活的蛋白激酶活性进一步增强了雷帕霉素复合物1靶标的激活。毛状分裂增强子1的沉默通过增加Adsl转录消除了hN2ICD诱导的心肌细胞肥大。重要的是,AMP激活的蛋白激酶的药理学激活改善了hN2ICD-Tg小鼠的心脏肥大和功能障碍。Notch2外显子34中的移码突变(c.6426dupT)会导致早发性HCS,它通过抑制ADSL介导的AMP生成诱导AC16人心肌细胞肥大。因此,靶向Notch2介导的嘌呤核苷酸代谢可能是治疗心力衰竭的一种有吸引力的治疗方法。

https://cdn.ncbi.nlm.nih.gov/pmc/blobs/ccd7/11913782/f02d4c876983/research.0635.fig.001.jpg

文献AI研究员

20分钟写一篇综述,助力文献阅读效率提升50倍。

立即体验

用中文搜PubMed

大模型驱动的PubMed中文搜索引擎

马上搜索

文档翻译

学术文献翻译模型,支持多种主流文档格式。

立即体验