Suppr超能文献

Dnmt3a介导的FoxO3高甲基化在破骨细胞生成过程中促进氧化还原失衡。

Dnmt3a-mediated hypermethylation of FoxO3 promotes redox imbalance during osteoclastogenesis.

作者信息

Zhang Wei, Li Wenming, Du Jun, Yang Chen, Yu Lei, Yang Peng, Zhang Haifeng, Wu Zebin, Ge Gaoran, Yang Huilin, Geng Dechun

机构信息

Department of Orthopaedics, The First Affiliated Hospital of Soochow University, Suzhou 215006, Jiangsu, China.

Department of Orthopaedics, Huaian Hospital Affiliated to Yangzhou University, Huaian, Jiangsu 223300, China.

出版信息

Proc Natl Acad Sci U S A. 2025 Mar 25;122(12):e2418023122. doi: 10.1073/pnas.2418023122. Epub 2025 Mar 19.

Abstract

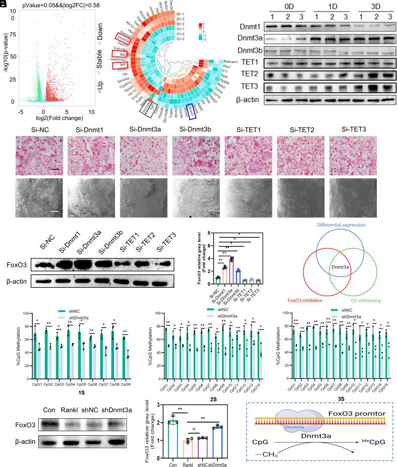
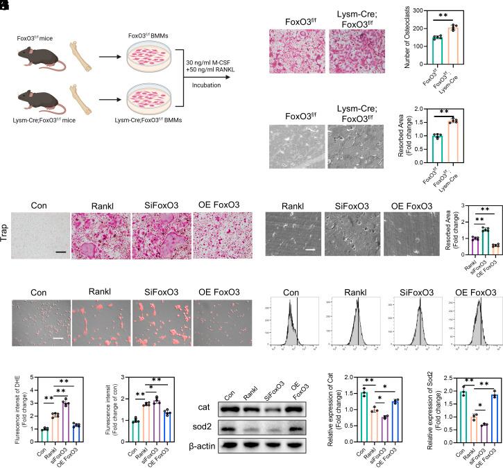
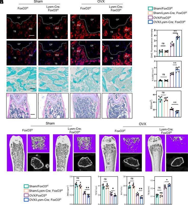
Redox imbalance contributes to aberrant osteoclastogenesis and osteoporotic bone loss. In this study, we observed lower Forkhead box protein O3 (FoxO3), a transcription factor associated with cellular oxidative stress, enhanced osteoclastogenesis in osteoporosis (OP). Single-cell RNA sequencing (scRNA-seq) analysis on the human femoral head indicated that FoxO3 is widely expressed in macrophages. Furthermore, Lysm-Cre;FoxO3 OVX mice showed increased reactive oxygen species (ROS), enhanced osteoclastogenesis, and more bone loss than normal OVX mice. Mechanistically, we identified FoxO3 promoter methylation as a crucial factor contributing to decreased FoxO3, thereby influencing osteoclastogenesis and OC function. Intriguingly, we observed that Dnmt3a, highly expressed during osteoclastogenesis, played a pivotal role in regulating the methylation of the FoxO3 promoter. Knockdown of Dnmt3a promoted FoxO3 expression, inhibiting osteoclastogenesis and mitigating OP. Interestingly, we observed that Dnmt3a alleviated osteoclastogenesis by suppressing ROS via upregulating FoxO3 rather than inducing the dissociation of RANK and TRAF6. Collectively, this study elucidates the role and mechanism of FoxO3 in osteoclastogenesis and OP, providing a epigenetic target for the treatment of OP.

摘要

氧化还原失衡导致破骨细胞生成异常和骨质疏松性骨丢失。在本研究中,我们观察到在骨质疏松症(OP)中,与细胞氧化应激相关的转录因子叉头框蛋白O3(FoxO3)水平降低,破骨细胞生成增强。对人股骨头进行的单细胞RNA测序(scRNA-seq)分析表明,FoxO3在巨噬细胞中广泛表达。此外,Lysm-Cre;FoxO3基因敲除的去卵巢(OVX)小鼠比正常OVX小鼠表现出更多的活性氧(ROS)、更强的破骨细胞生成和更多的骨丢失。机制上,我们确定FoxO3启动子甲基化是导致FoxO3水平降低的关键因素,从而影响破骨细胞生成和破骨细胞功能。有趣的是,我们观察到在破骨细胞生成过程中高表达的Dnmt3a在调节FoxO3启动子甲基化中起关键作用。敲低Dnmt3a可促进FoxO3表达,抑制破骨细胞生成并减轻OP。有趣的是,我们观察到Dnmt3a通过上调FoxO3抑制ROS来减轻破骨细胞生成,而不是诱导RANK与TRAF6解离。总的来说,本研究阐明了FoxO3在破骨细胞生成和OP中的作用及机制,为OP的治疗提供了一个表观遗传靶点。

https://cdn.ncbi.nlm.nih.gov/pmc/blobs/bb26/11962505/4677c41b0e22/pnas.2418023122fig01.jpg

文献AI研究员

20分钟写一篇综述,助力文献阅读效率提升50倍。

立即体验

用中文搜PubMed

大模型驱动的PubMed中文搜索引擎

马上搜索

文档翻译

学术文献翻译模型,支持多种主流文档格式。

立即体验