Suppr超能文献

神经性疼痛会损害睡眠结构、非快速眼动睡眠和丘脑网状神经元活动。

Neuropathic pain impairs sleep architecture, non-rapid eye movement sleep, and reticular thalamic neuronal activity.

作者信息

López-Canul Martha, Oveisi Anahita, He Qianzi, Vigano Maria Luisa, Farina Antonio, Comai Stefano, Gobbi Gabriella

机构信息

Department of Psychiatry, McGill University, Montreal, QC, Canada.

Department of Pharmaceutical and Pharmacological Sciences, University of Padua, Padua, Italy.

出版信息

Int J Neuropsychopharmacol. 2025 May 9;28(5). doi: 10.1093/ijnp/pyaf017.

Abstract

BACKGROUND

Neuropathic pain (NP) is a chronic and debilitating condition frequently comorbid with insomnia. However, the alterations in sleep architecture under NP conditions and the mechanisms underlying both pain and sleep disturbances remain poorly understood. The reticular thalamic nucleus (RTN) plays a crucial role in non-rapid eye movement sleep (NREMS) and pain processing, but its involvement in NP-related sleep disruptions has not been fully elucidated.

METHODS

To investigate sleep-related electrophysiological changes in NP, we performed continuous 24-hour electroencephalogram/electromyogram (EEG/EMG) recordings in rats exhibiting allodynia following L5-L6 spinal nerve lesions. Additionally, we assessed the in vivo neuronal activity of the RTN in both NP and sham-operated control rats. Spectral analyses were conducted to examine alterations in sleep oscillatory dynamics. Reticular thalamic nucleus neuronal responses to nociceptive pinch stimuli were classified as increased, decreased, or unresponsive.

RESULTS

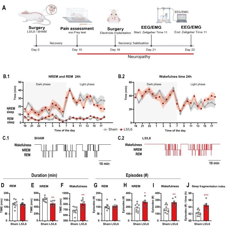
Neuropathic pain rats exhibited a significant reduction in NREMS (-20%, P < .001) and an increase in wakefulness (+ 19.13%, P < .05) compared to controls, whereas rapid eye movement sleep (REMS) remained unchanged. Sleep fragmentation was pronounced in NP animals (P < .0001), with frequent brief awakenings, particularly during the inactive/light phase. Spectral analysis revealed increased delta and theta power during both NREMS and REMS. Reticular thalamic nucleus neurons in NP rats displayed a higher basal tonic firing rate, along with increased phasic activity (number of bursts), although the percentage of spikes in bursts remained unchanged.

CONCLUSIONS

Neuropathic pain is characterized by disrupted sleep architecture, reduced NREMS, and heightened RTN neuronal firing activity with partial compensation of burst activity. Given that RTN burst activity is essential for optimal NREMS, its disruption may contribute to NP-induced sleep impairments. These findings suggest that altered EEG/EMG signals, alongside dysregulated RTN neuronal activity, may serve as potential brain markers for NP-related insomnia.

摘要

背景

神经性疼痛(NP)是一种慢性且使人衰弱的疾病,常与失眠并存。然而,NP状态下睡眠结构的改变以及疼痛和睡眠障碍的潜在机制仍知之甚少。丘脑网状核(RTN)在非快速眼动睡眠(NREMS)和疼痛处理中起关键作用,但其在NP相关睡眠中断中的作用尚未完全阐明。

方法

为了研究NP中与睡眠相关的电生理变化,我们对L5-L6脊神经损伤后出现痛觉过敏的大鼠进行了连续24小时的脑电图/肌电图(EEG/EMG)记录。此外,我们评估了NP大鼠和假手术对照大鼠体内RTN的神经元活动。进行频谱分析以检查睡眠振荡动力学的变化。将RTN神经元对伤害性夹捏刺激的反应分类为增加、减少或无反应。

结果

与对照组相比,神经性疼痛大鼠的NREMS显著减少(-20%,P <.001),清醒时间增加(+19.13%,P <.05),而快速眼动睡眠(REMS)保持不变。NP动物的睡眠碎片化明显(P <.0001),频繁出现短暂觉醒,尤其是在不活动/轻度睡眠阶段。频谱分析显示,NREMS和REMS期间的δ波和θ波功率均增加。NP大鼠的RTN神经元显示出较高的基础紧张性放电率,以及相位活动增加(爆发次数),尽管爆发中的尖峰百分比保持不变。

结论

神经性疼痛的特征是睡眠结构紊乱、NREMS减少以及RTN神经元放电活动增强,同时爆发活动得到部分补偿。鉴于RTN爆发活动对最佳NREMS至关重要,其破坏可能导致NP引起的睡眠障碍。这些发现表明,EEG/EMG信号改变以及RTN神经元活动失调可能是NP相关失眠的潜在脑标志物。

https://cdn.ncbi.nlm.nih.gov/pmc/blobs/cf6e/12084830/e573ce2957ac/pyaf017_fig1.jpg

文献AI研究员

20分钟写一篇综述,助力文献阅读效率提升50倍。

立即体验

用中文搜PubMed

大模型驱动的PubMed中文搜索引擎

马上搜索

文档翻译

学术文献翻译模型,支持多种主流文档格式。

立即体验