Suppr超能文献

在同源重组缺陷细胞的碱基切除修复过程中,HMCES破坏复制叉稳定性。

HMCES corrupts replication fork stability during base excision repair in homologous recombination-deficient cells.

作者信息

Peña-Gómez María José, Rodríguez-Martín Yaiza, Del Rio Oliva Marta, Wijesekara Hanthi Yodhara, Berrada Sara, Freire Raimundo, Masson Jean Yves, Reyes José Carlos, Costanzo Vincenzo, Rosado Iván V

机构信息

Centro Andaluz de Biología Molecular y Medicina Regenerativa (CABIMER) Universidad de Sevilla-CSIC-Universidad Pablo de Olavide, Seville 41092, Spain.

Departamento de Genética, Facultad de Biologia, Universidad de Sevilla, Seville 41012, Spain.

出版信息

Sci Adv. 2025 Mar 28;11(13):eads3227. doi: 10.1126/sciadv.ads3227. Epub 2025 Mar 26.

Abstract

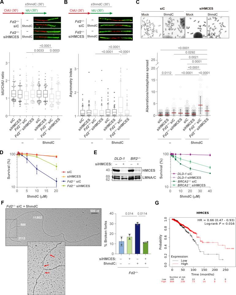
Apurinic/apyrimidinic (AP) sites and single-strand breaks arising from base excision repair (BER) during the misincorporation of damaged nucleobases may hinder replication fork stability in homologous recombination-deficient (HRD) cells. At templated AP sites, cross-links between the DNA and 5-hydroxymethylcytosine binding, embryonic stem cell-specific (HMCES) regulate replication fork speed, avoiding cytotoxic double-strand breaks. While the role of HMCES at the template DNA strand is well studied, its effects on nascent DNA are not. We provide evidence that HMCES-DNA-protein cross-links (DPCs) are detrimental to the BER-mediated removal of 5-hydroxymethyl-2'-deoxycytidine (5hmdC)-derived 5-hydroxymethyl-2'-deoxyuridine from replication forks. HRD cells have heightened HMCES-DPCs, which increase further upon 5hmdC exposure, suggesting that HMCES binds both spontaneous and 5hmdC-induced AP sites. HMCES depletion substantially suppresses 5hmdC-mediated replication fork defects, chromosomal aberrations, and cell death in HRD cells. This reveals that HMCES-DPCs are a source of BER-initiated single-stranded DNA gaps, which indicates that endogenous DPCs contribute to genomic instability in HRD tumors.

摘要

在受损核碱基错掺入过程中,碱基切除修复(BER)产生的无嘌呤/无嘧啶(AP)位点和单链断裂可能会阻碍同源重组缺陷(HRD)细胞中的复制叉稳定性。在模板化的AP位点,DNA与5-羟甲基胞嘧啶结合、胚胎干细胞特异性(HMCES)之间的交联调节复制叉速度,避免细胞毒性双链断裂。虽然HMCES在模板DNA链上的作用已得到充分研究,但其对新生DNA的影响尚未明确。我们提供的证据表明,HMCES-DNA-蛋白质交联(DPCs)不利于BER介导的从复制叉中去除5-羟甲基-2'-脱氧胞苷(5hmdC)衍生的5-羟甲基-2'-脱氧尿苷。HRD细胞中HMCES-DPCs水平升高,在暴露于5hmdC后进一步增加,这表明HMCES既能结合自发产生的AP位点,也能结合5hmdC诱导的AP位点。HMCES的缺失显著抑制了5hmdC介导的HRD细胞中的复制叉缺陷、染色体畸变和细胞死亡。这表明HMCES-DPCs是BER引发的单链DNA缺口的一个来源,这意味着内源性DPCs会导致HRD肿瘤中的基因组不稳定。

https://cdn.ncbi.nlm.nih.gov/pmc/blobs/683a/11939059/a1b9c1977aac/sciadv.ads3227-f1.jpg

文献AI研究员

20分钟写一篇综述,助力文献阅读效率提升50倍。

立即体验

用中文搜PubMed

大模型驱动的PubMed中文搜索引擎

马上搜索

文档翻译

学术文献翻译模型,支持多种主流文档格式。

立即体验