Suppr超能文献

9p21.3冠状动脉疾病风险基因座促使血管平滑肌细胞转变为骨软骨生成状态。

The 9p21.3 Coronary Artery Disease Risk Locus Drives Vascular Smooth Muscle Cells to an Osteochondrogenic State.

作者信息

Salido Elsa, de Medeiros Vieira Carolina, Mosquera Jose Verdezoto, Zade Rohan, Parikh Parth, Suryavanshi Shraddha, Miller Clint L, Lo Sardo Valentina

机构信息

Department of Cell and Regenerative Biology, University of Wisconsin-Madison, Madison (E.S., C.d.M.V., R.Z., P.P., S.S., V.L.S.).

Department of Genome Sciences, and Department of Biochemistry and Molecular Genetics, University of Virginia, Charlottesville (J.V.M., C.L.M.).

出版信息

Arterioscler Thromb Vasc Biol. 2025 May;45(5):702-721. doi: 10.1161/ATVBAHA.124.322045. Epub 2025 Mar 27.

Abstract

BACKGROUND

Genome-wide association studies have identified common genetic variants at ≈300 human genomic loci linked to coronary artery disease susceptibility. Among these genomic regions, the most impactful is the 9p21.3 coronary artery disease risk locus, which spans a 60-kb gene desert and encompasses ≈80 SNPs (single nucleotide polymorphism) in high linkage disequilibrium. Despite ≈2 decades since its discovery, the role of the 9p21.3 locus in cells of the vasculature remains incompletely resolved.

METHODS

We differentiated induced pluripotent stem cells (iPSCs) from risk, nonrisk donors at 9p21.3, and isogenic knockouts into vascular smooth muscle cells (VSMCs). We performed single-cell transcriptomic profiling, including coembedding and comparison with publicly available human arterial data sets. We conducted functional characterization using migration and calcification assays and confirmed our findings on iPSC-VSMCs derived from additional donors. Finally, we used overexpression of followed by gene expression analysis.

RESULTS

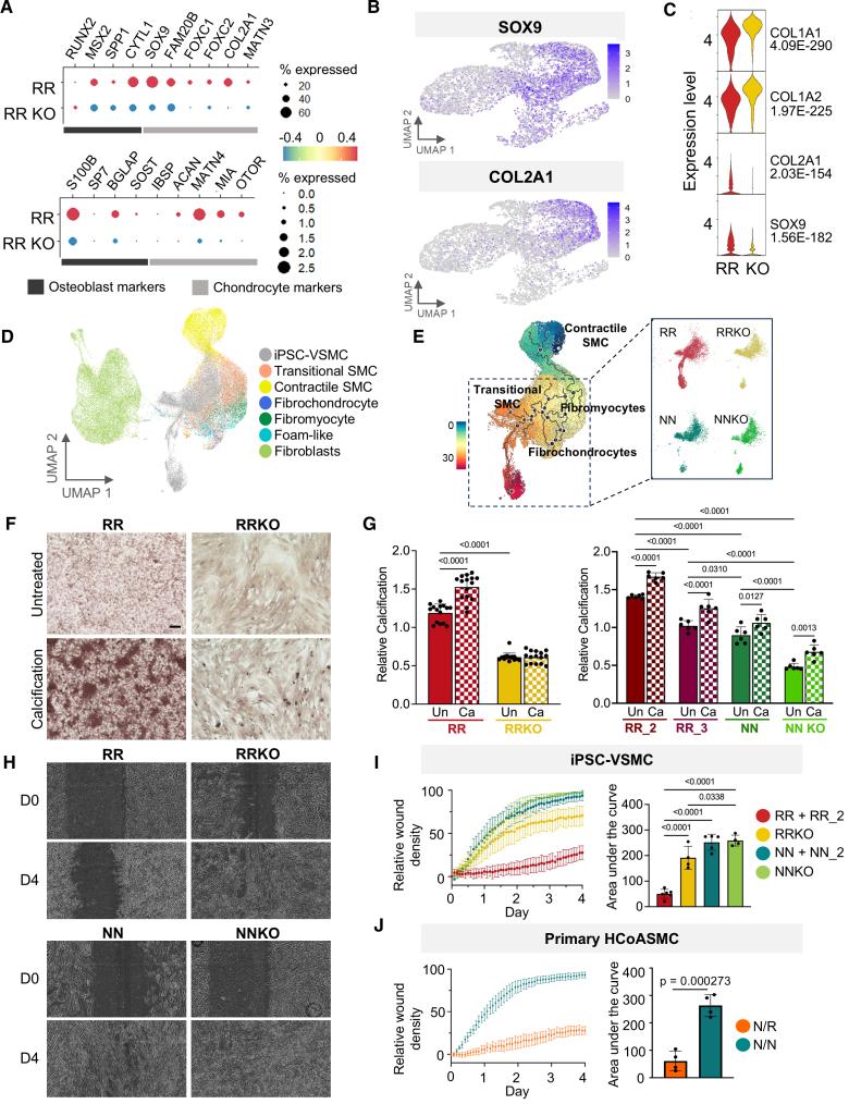
We demonstrated that iPSC-VSMCs harboring the 9p21.3 risk haplotype preferentially adopt an osteochondrogenic state and show remarkable similarity to fibrochondrocytes from human artery tissue. The transcriptional profile and functional assessment of migration and calcification capacity across iPSC-VSMC lines from multiple donors concordantly resemble an osteochondrogenic state. Importantly, we identified numerous transcription factors driving different VSMC state trajectories. Additionally, we prioritized and as signature genes critical for defining the risk transcriptional program. Finally, overexpression of a short isoform of in 9p21.3 knockout cells was sufficient to induce the osteochondrogenic transcriptional signature.

CONCLUSIONS

Our study provides new insights into the mechanism of the 9p21.3 risk locus and defines its previously undescribed role in driving a disease-prone transcriptional and functional state in VSMCs concordant with an osteochondrogenic-like state. Our data suggest that the 9p21.3 risk haplotype likely promotes arterial calcification, through altered expression of , in a cell type-specific and cell-autonomous manner, providing insight into potential risk assessment and treatment for carriers.

摘要

背景

全基因组关联研究已在约300个人类基因组位点鉴定出与冠状动脉疾病易感性相关的常见遗传变异。在这些基因组区域中,影响最大的是9p21.3冠状动脉疾病风险位点,它跨越一个60 kb的基因荒漠,包含约80个处于高度连锁不平衡状态的单核苷酸多态性(SNP)。尽管自其发现以来已有约20年,但9p21.3位点在血管细胞中的作用仍未完全明确。

方法

我们将来自9p21.3风险和非风险供体的诱导多能干细胞(iPSC)以及同基因敲除细胞分化为血管平滑肌细胞(VSMC)。我们进行了单细胞转录组分析,包括与公开可用的人类动脉数据集共嵌入和比较。我们使用迁移和钙化试验进行功能表征,并在来自其他供体的iPSC-VSMC上证实了我们的发现。最后,我们进行了基因过表达并随后进行基因表达分析。

结果

我们证明,携带9p21.3风险单倍型的iPSC-VSMC优先进入骨软骨生成状态,并与来自人类动脉组织的纤维软骨细胞表现出显著相似性。来自多个供体的iPSC-VSMC系的转录谱以及迁移和钙化能力的功能评估一致地类似于骨软骨生成状态。重要的是,我们鉴定出许多驱动不同VSMC状态轨迹的转录因子。此外,我们将 和 列为定义风险转录程序的关键特征基因。最后,在9p21.3敲除细胞中过表达 的短异构体足以诱导骨软骨生成转录特征。

结论

我们的研究为9p21.3风险位点的机制提供了新见解,并定义了其在驱动VSMC中与骨软骨样状态一致的易患疾病转录和功能状态方面以前未描述的作用。我们的数据表明,9p21.3风险单倍型可能通过 表达的改变,以细胞类型特异性和细胞自主性方式促进动脉钙化,为携带者的潜在风险评估和治疗提供了见解。

https://cdn.ncbi.nlm.nih.gov/pmc/blobs/7914/12017600/8cfa4ff3c2a1/atv-45-702-g001.jpg

文献AI研究员

20分钟写一篇综述,助力文献阅读效率提升50倍。

立即体验

用中文搜PubMed

大模型驱动的PubMed中文搜索引擎

马上搜索

文档翻译

学术文献翻译模型,支持多种主流文档格式。

立即体验