Suppr超能文献

阿魏酸脂质纳米胶囊与其天然形式相比,通过转化生长因子-β1/河马通路串扰调节减轻大鼠糖尿病肾病。

Ferulic acid lipid nano capsules versus its native form in alleviating diabetic nephropathy induced in rats through TGF-β1/Hippo pathway crosstalk modulation.

作者信息

Zohny Mona H, El-Far Yousra M, Kabil Mohamed Fawzi, El-Swefy Sahar E, El-Sherbiny Ibrahim M, El-Shishtawy Mamdouh M

机构信息

Department of Pharmacology and Biochemistry, Faculty of Pharmacy, Delta University for Science and Technology, Gamasa, 11152, Egypt.

Department of Biochemistry, Faculty of Pharmacy, Mansoura University, Mansoura, 35516, Egypt.

出版信息

Sci Rep. 2025 Mar 31;15(1):10979. doi: 10.1038/s41598-024-81175-7.

Abstract

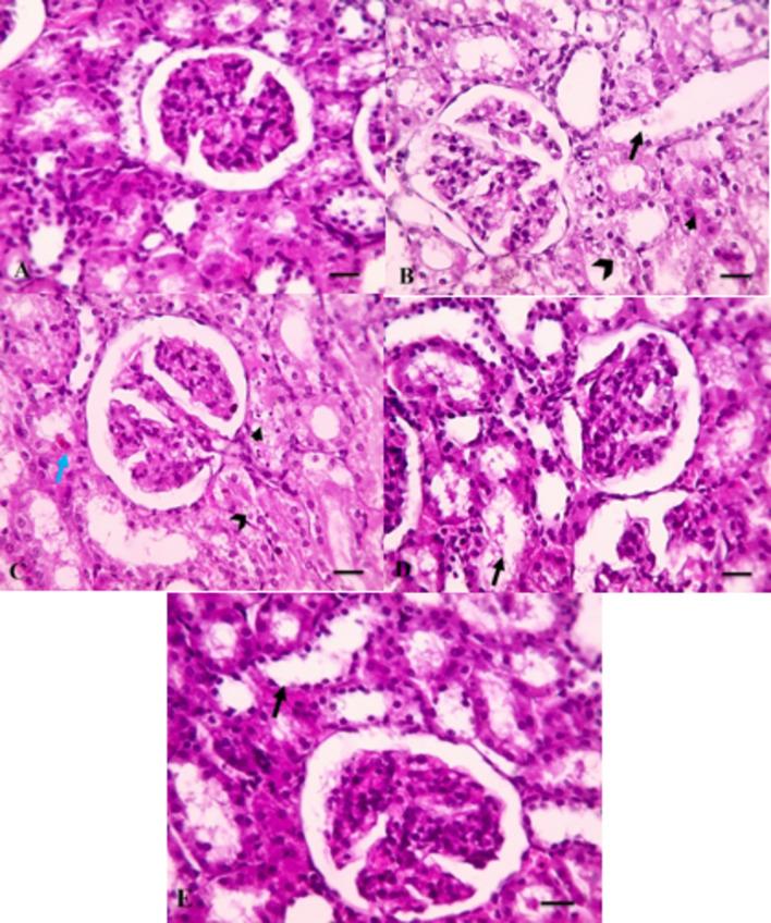
Diabetic nephropathy is one of the most common leading causes of end-stage renal disease with multifactorial pathophysiological mechanisms. TGF-β1 and Hippo pathway have been reported to have significant role in different kidney diseases. In addition, ferulic acid (FA) has been proposed to have pharmacological actions in different disorders such as Alzheimer, diabetes mellitus, kidney, and cardiovascular diseases but with limited oral use due to poor absorbance and bioavailability. So, recent trends aim to include FA in nano-formulations to improve its absorbance and bioavailability and to make best use of its pharmacological actions when administered orally. Thirty Sprague Dawley male rats were divided into five groups (n = 6). After 28 days, rats were sacrificed, serum and kidney tissue were isolated, histopathological examination, serum creatinine level and oxidative status biomarkers in kidney tissue were estimated, besides ELISA measurements of TGF-β1, PTEN, COX2, and GLUT3 and the relative gene expressions of MST1 and TEAD4 by qRT-PCR. Treated groups show improvement of the investigated parameters in variable degrees. Noteworthy, FA nano-formulation shows superior action over double of the native form.

摘要

糖尿病肾病是终末期肾病最常见的主要病因之一,其病理生理机制具有多因素性。据报道,转化生长因子-β1(TGF-β1)和Hippo信号通路在不同肾脏疾病中发挥重要作用。此外,阿魏酸(FA)已被证明在不同疾病如阿尔茨海默病、糖尿病、肾脏疾病和心血管疾病中具有药理作用,但由于吸收和生物利用度差,口服应用有限。因此,最近的趋势是将FA制成纳米制剂,以提高其吸收和生物利用度,并在口服给药时充分发挥其药理作用。将30只雄性Sprague Dawley大鼠分为五组(n = 6)。28天后,处死大鼠,分离血清和肾脏组织,进行组织病理学检查,评估血清肌酐水平和肾脏组织中的氧化状态生物标志物,此外通过酶联免疫吸附测定(ELISA)检测TGF-β1、磷酸酶和张力蛋白同源物(PTEN)、环氧化酶2(COX2)和葡萄糖转运蛋白3(GLUT3),并通过实时定量聚合酶链反应(qRT-PCR)检测大肿瘤抑制因子1(MST1)和含TEA结构域蛋白4(TEAD4)的相对基因表达。治疗组在不同程度上显示出所研究参数的改善。值得注意的是,FA纳米制剂的作用优于天然形式的两倍。

https://cdn.ncbi.nlm.nih.gov/pmc/blobs/de36/11958811/7d2292fb2e07/41598_2024_81175_Fig1_HTML.jpg

文献AI研究员

20分钟写一篇综述,助力文献阅读效率提升50倍。

立即体验

用中文搜PubMed

大模型驱动的PubMed中文搜索引擎

马上搜索

文档翻译

学术文献翻译模型,支持多种主流文档格式。

立即体验